ما هي الحالات التي يراها طبيب الباطني خلال مناوبة ليلية؟
في هذا الثريد سأروي بعض تفاصيل طبيعة عملي خلال مناوبة ليلية وبعض الحالات التي رأيتها
(هذه حالات حقيقية لكن الصور من جوجل للتوضيح)
👇
في هذا الثريد سأروي بعض تفاصيل طبيعة عملي خلال مناوبة ليلية وبعض الحالات التي رأيتها
(هذه حالات حقيقية لكن الصور من جوجل للتوضيح)
👇
فريقي في هذه الليلة يتكون من ٦ اطباء من ضمنهم انا كsenior نقوم بتغطية مستشفى كامل من ٧٦٠ سرير
وظيفتي:
- رؤية الحالات الجديدة الداخلة عن طريق الطوارئ (بعد رؤيتهم من طبيب الطوارئ)
- استقبال المكالمات من الاقسام الاخرى والاجابة عن اسئلة تتعلق بالمرضى
وظيفتي:
- رؤية الحالات الجديدة الداخلة عن طريق الطوارئ (بعد رؤيتهم من طبيب الطوارئ)
- استقبال المكالمات من الاقسام الاخرى والاجابة عن اسئلة تتعلق بالمرضى
اول شيء قمت به هو تركيب انبوب في بطنه لسحب السوائل وتخفيف الضغط على الحاجز الرئوي لتتحسن قدرته على التنفس
بالاضافة الى علاجات اخرى وفحوصات لمعرفة سبب فشل الكبد
بالاضافة الى علاجات اخرى وفحوصات لمعرفة سبب فشل الكبد
الحالة الثانية كانت امرأة مسنة دخلت الى المستشفى قبل ٥ ايام بالتهاب حاد بالمسالك البولية اتصل الممرض يقول ان حالتها تتدهور
رغم اعطائها العلاجات المناسبة حالتها كانت من أسوأ الى اسوأ
شو عملنا بهيك حالة؟
رغم اعطائها العلاجات المناسبة حالتها كانت من أسوأ الى اسوأ
شو عملنا بهيك حالة؟
بعد اخذ رأي عائلتها قررنا سحب العلاجات و فقط التركيز على راحتها حتى نتركها ترقد بسلام بدون الم الابر والاجهزة... الخ
قرار صعب لكن احيانا نصل الى سقف العلاج والتركيز على راحة المريض خلال اخر ايام حياته ارحم من محاولة علاجات غير مريحة ستفشل في النهاية
قرار صعب لكن احيانا نصل الى سقف العلاج والتركيز على راحة المريض خلال اخر ايام حياته ارحم من محاولة علاجات غير مريحة ستفشل في النهاية
الحالة الثالثة لامرأة مسنة ايضا اتت الى الطوارئ بعد ما وقعت الى الارض مش قادرة تقوم
الناس غير المسنين بس يوقعوا بقوموا بسرعة بدون اي مشكلة، بس للمسنسن الي عندهم هرم frailty السقوط من اكثر اسباب الدخول الى المستشفى
عشان هيك المحافظة على الكتلة العضلية مهمة
الناس غير المسنين بس يوقعوا بقوموا بسرعة بدون اي مشكلة، بس للمسنسن الي عندهم هرم frailty السقوط من اكثر اسباب الدخول الى المستشفى
عشان هيك المحافظة على الكتلة العضلية مهمة
بالعادة يكون سبب السقوط هو عدة عوامل من ضمنها الهرم والضمور في العضلات ومشاكل المفاصل ومشاكل التوازن او انخفاض ضغط الدم من انخفاض سوائل الجسم او التهاب في مكان ما في الجسم
منسميها multi-factorial fall
منسميها multi-factorial fall
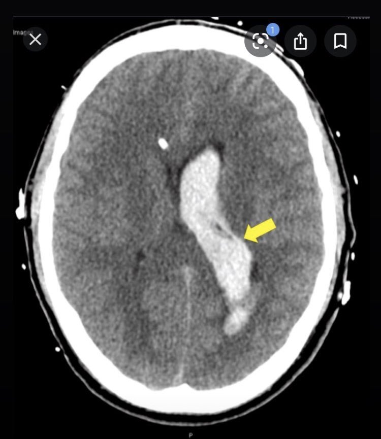
اخر حالة: رجل دخل بنوبة قلبية قبل يومين فجأة توقف عن الرد لما الممرضة حاولت تتحدث معه. ما بيرد بس بيتنفس عادي وبؤبؤ عينه اليسار متوسع على الفحص بس عينه اليمين لأ
شو صار معه؟
شو صار معه؟
جاري تحميل الاقتراحات...