Dr.Albatool Shinawi
Dr.Albatool Shinawi

@Albatoolsh

7 تغريدة 139 قراءة Sep 16, 2020
يا مساء الخير..
حابة أوضح معلومة خاطئة تتكرر دائماً وأبداً في الخاص وفي العيادة وهي:
"دكتورة طفلي أسنانه تسوس بسرعة بسبب قلة الكالسيوم"
"دكتورة بنتي ما تحب الحليب فأسنانها تتفتت بسرعة"
هل حقيقي نقص الكالسيوم يعمل تسوس في الأسنان؟
عشان أجاوبكم لازم نفهم فين مكان الكالسيوم؟
السن متكون من الكالسيوم والفوسفات "هيدروكسي ابيتاتيت" ويعطي صلابة وحماية للسن. ينقص مستوى الكالسيوم والفوسفات بسبب أحماض الفم اللي تتكون بسبب السكريات. وممكن ترجع على السن مصاحبة مع مادة الفلورايد في حال تم تنظيفها بالمعجون.
نقص الكالسيوم عند الأطفال يبان بشكل كبير مع تحاليل الدم وكمان طبيب الأطفال يقدر يشخص بعمل فحوصات والكشف على كتلة العظم وهشاشة العظام. الصورة توضح أعراض نقص الكالسيوم وتم ترجمتها للتوضيح.
طيب وبالنسبة للأسنان؟
ماراح يبان نقص الكالسيوم على الأسنان الا اذا كان هنالك نقص حاد في مستواه في الجسم. ويكون على شكل تغير في تكوين السن ونقص مينا الأسنان وكمان ممكن تتأخر الأسنان الدائمة في البزوغ أو جذور الأسنان ما تتكون بطريقة سليمة. وغالباً تأثيرها أكبر على الأسنان الدائمة
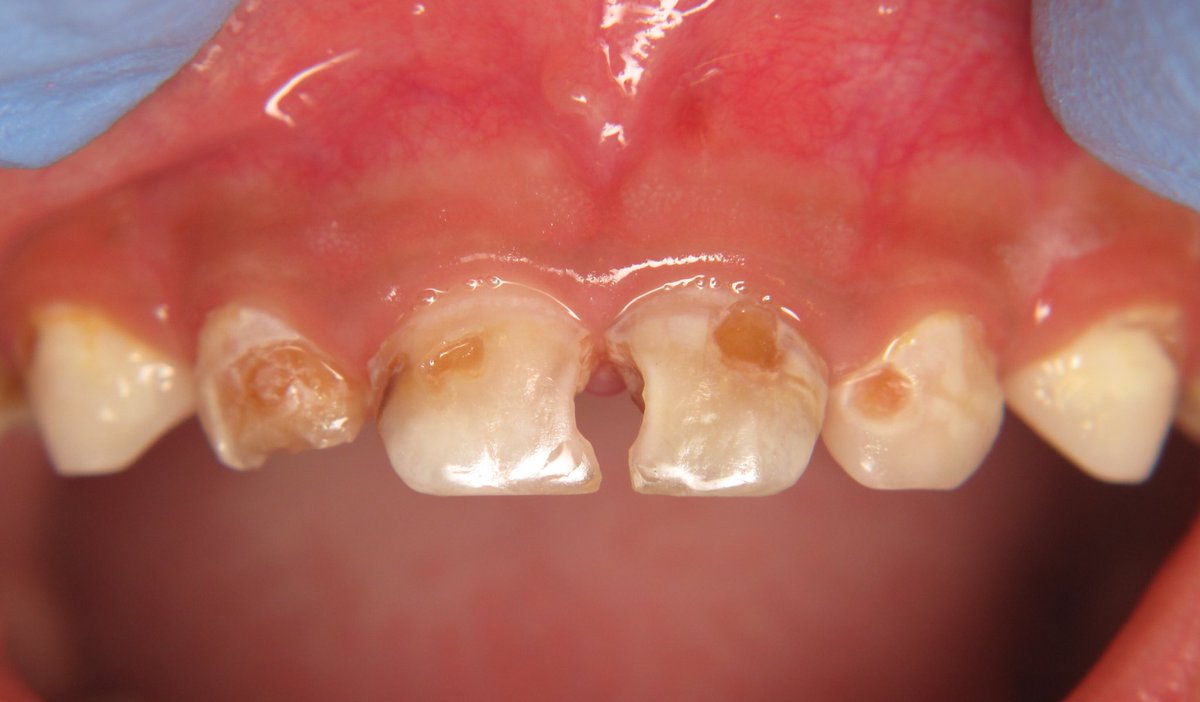
أما اللي بنشوفه غالباً عند الأطفال الصغار اللي من عمر ٢-٣ سنوات هو تسوس الأسنان المبكر. وهذه بسبب عوامل كثير ومن أخطر العوامل هي ابقاء الرضاعة في فم الطفل أثناء النوم. وراح اتكلم عنه لاحقاً
النصيحة المهمة:
بغض النظر عن الكالسيوم المتهم بجريمة تسوس الأسنان وتفتتها، أنصح كل الأباء والأمهات بالوقاية والاهتمام بأسنان الأطفال. والبدء بتفريش الأسنان منذ ظهور أول سن للطفل بفرشاة ناعمة ومعجون أسنان يتناسب مع عمر الطفل.
واتمنى انه يكون الموضوع أجاب على أسئلة الكثيرين.
وممكن تتابعوا حسابنا #سن_و_ضرس على تويتر وانستقرام فيه معلومات كثيرة تخص أسنان الأطفال والكبار 🦷
Twitter: @sen_ders
Instagram: sen.w.ders

جاري تحميل الاقتراحات...