Emad Aljahdaly M.D|🇸🇦د عماد سليمان الجحدلي
Emad Aljahdaly M.D|🇸🇦د عماد سليمان الجحدلي

@ealjahdli

12 تغريدة 59 قراءة Feb 26, 2020
في التغريدات التالية اتمنى ان تجدوا ما يجيب على استفسارات البعض فيما يخص اكياس البنكرياس و ما ينبغي فعله عند اكتشافها و دواعي الحاجة الى ازالتها
في البداية يجب التعريف بالبنكرياس كونه احد اهم الأعضاء في الجسم. ينقسم في تشريحه الى أربعة مناطق و هي الرأس (ملتصق بالأنثى عشر)، و من ثم الرقبة، جسم البنكرياس، و ينتهي بالذيل (مجاور للطحال).
لدى البنكرياس القدرة على فرز عصارة داخل الأمعاء (قنوات تصب في الاثنى عشر) و هي مسؤولة عن المساعدة في هضم الدهون و السكريات و البروتين. الوظيفة الأخرى هي تنظيم نسب السكر في الدم عن طريق إفراز الانسولين.
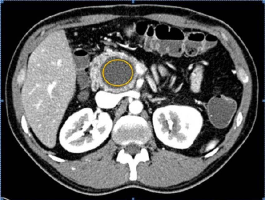
اكياس البنكرياس قد تتكون نتيجة لتمدد و اتساع القنوات الداخلية في العضو، حدوث التهاب في الغدة مما يسبب تجمع السوائل داخل او خارج العضو، او بسبب تكون أورام ذات قابلية لتشكيل حجرات داخلية تشبه الأكياس
في معضم الأحيان يتم اكتشاف هذه الأكياس عن طريق الصدفة اثناء اجراء أشعة مقطعية، موجات صوتية، او رنين مغناطيسي لأي عرض اخر غير متعلق بالبنكرياس. و غالبا ما تكون بدون اعراض. فيما يكتشف البعض بسبب وجود اعراض غير واضحة مثل الألم. ينتج الجزء الآخر من الأكياس بعد التهاب الغدة.
أيًا كان سبب و كيفية اكتشاف اكياس البنكرياس يجب عند اكتشافها عرض الحالة على طبيب جهاز هضمي مختص في مثل هذه الحالات لكي يساعد على التأكد من طبيعتها و التعرف على اسبابها و من ثم الحاجة الى متابعتها فقط او ازالتها. يعتمد الطبيب المختص في فحوصاته على عدة معطيات منها -
١. عمر المريض و جنسه
٢. شكل الأكياس و حجمها
٣. مكونات الأكياس و نوع السائل و كثافته
٤. سبب تكون الأكياس و وجود اتصال بالقناة الرئيسة في الغدة
معظم اكياس البنكرياس هي حميدة بطبعها و غالبا لا تحتاج الى الإزالة. في حالات قليلة نوعا ما يتم ازالتها جراحيًا منعًا لاحتمالية تطورها الى أورام خبيثة مستقبلًا لا سمح الله. و تتم دراستها عادة باستخدام المنظار الصوتي و في خلال ١٥ الى ٣٠ دقيقة و بدون الحاجة الى تنويم بالمستشفى.
يمكن الان علاج بعض هذه الاكياس في حالات معينة بواسطة المنظار دون الحاجة الى ازالتها جراحيا بواسطة حقنها بمادة تساعد على قتل الخلايا النشطة في جدار الكيس. تعرف هذه العملية ب pancreatic cyst ablation
للتلخيص: في حال اكتشاف اكياس داخل البنكرياس:
١. احرص على عرض الحالة على طبيب مختص و لا بأس باستشارة اكثر من طبيب.
٢. يتم ازالة اكياس البنكرياس جراحيا في حالات معينة مع إمكانية متابعتها في حالات أخرى.
٣. تتوفر تقنيات جديدة مثل حقن الاكياس في بعض الحالات و مراكز مختصة.
هذا و صلى الله على الهادي الأمين. اللهم علمنا ما جهلنا و بارك لنا فيما علمتنا و ارزقنا زكاته و اجره. ارجو المساهمة في النشر للفائدة.
فضلًا رتبها @Rattibha

جاري تحميل الاقتراحات...