يوميات الأشعة ☢
يوميات الأشعة ☢

@DiaryOfRad

92 تغريدة 369 قراءة Dec 16, 2019
تحت هذه التغريدة سيكون هناك سلسلة تغريدات كمراجعة لأهم الأوضاع الإشعاعية التي يتكرر طلبها في وحدة الأشعة الروتينية.
سيتم التعريج على النقاط التالية:
▪سبب طلب الفحص
▪وضعية المريض/العضو
▪مركز/زاوية الشعاع.
▪تعليمات.
▪أوضاع بديلة إذا وجدت.
☆(Skull)
تقسم إلى :
▪8 cranial bones + 14 facial bones.
▪عظام cranium يفصل بينها مفاصل ثابتة تسمى:
Sutures
من الطبيعي رؤيتها في صور الأشعة وقد يعتقد البعض أنها كسور في الجمجمة.
١-١
الأخطاء الخمسة في تصوير skull:
١.الإلتفاف rotation.
٢.الميلان tilt.
٣.انحناء الرقبة بشكل كبير excessive flexion.
٤.مد الرقبة بشكل كبير excessive extension.
٥.زاوية الشعاع الخاطئة Incorrect CR angle.
٢-١
لابد من معرفة الخطوط الوهمية ل
Skull
التي تساعدنا في ضبط وضعها حتى نتلافى الأخطاء الخمسة السابقة.
القِ نظرة على الصور المرفقة في:
الوضع الأول:
PA skull 0° {0 angle}
معلومات:
•تفضل أوضاعPA
عنAP
لتوفير الحماية للعينين و الغدة الدرقية و الثديين من الإشعاع المباشر الذي لم يتم توهينه.
▪الوضع:
•يتم إلصاق الجبهة و الأنف بالطاولة/البكي.
•يكون OML و Midsagittal plane عموديان على الطاولة/البكي.
٤-١
▪السنتر CR/
مدخل الشعاع: من عظمة occipital.
مخرج الشعاع: من glabella.
زاوية الشعاع/
0° .
◇يجب رفع صدر المريض على وسادة أو ان يضع يديه تحت صدره حتى نستطيع ضبط زاوية OML بسهولة.
◇يجب تنبيه المريض أن يقوم بحبس النفس حتى لا تتأثر الصورة بسبب ارتفاع وانخفاض الصدر أثناء التنفس.
أوضاع بديلة:
PA axial (Caldwell)
نفس الطريقة السابقة ولكن تختلف في
١.زاوية الشعاع/
15° or 20° or 25° or 30°
٢.اتجاه ميلان الشعاع/
زاوية نحو القدمين (caudad)
أوضاع بديلة٢:
في حالات الإصابات والحوادث ووجود دعامة الرقبة أو وعدم مقدرة المريض أن يكون في وضع Prone .
وضع المريض/
مستلقي supine
وضع الرأس/
نتأكد أن OML يشكل زاوية 15° بالنسبة للطاولة.
السنتر CR/
يكون الشعاع بدون زاوية (0°)
مباشرة على nasion.
كل الأوضاع السابقة ستظهر لنا نفس التفاصيل العامة للجمجمة ولكن في حال تغيير زوايا الشعاع فستتغير موقع بعض التفاصيل حول محجر العين.
لاحظ أنه لافرق يذكر بين وضع
PA 15° caudad
AP 0° (OML =15°)
فالفكرة هي أن تعمل زاوية بالشعاع أو بالعضو.
نقد الصورة والتأكد من تنفيذ الفحص بشكل صحيح:
١.لا بد أن تكون المسافة بين الحافتين الخارجية لمحجر العينين و الجدار الجانبي للجمجمة متساوية في اليمين و اليسار.(بالبرتقالي).
٢.تواجد
superior orbital fissures
بشكل متساوي داخل المحجرين(بالأزرق)
٣.لايوجد ميلان في MSP.
الوضع المثالي:
¤الوضع الجانبي للجمجمة Lateral Skull:
الوضع/
•وضع الجانب المراد فحصه أقرب للكاسيت.
•MSP: parallel.
•IPL: perpendicular .
السنترCR/
-في منتصف المسافة بين
Inion(EOP) & glabella.
-أو بطريقة أخرى فوق EAM ب ٥سم.
الزاوية/
عمودية على الكاسيت.
@0MrFHD7 لا أعلم هل يهمكم كفيزياء إشعاع أم أوضاع تصوير أم قراءة صور ؟
@0MrFHD7 سلسلة كتب
Made easy
جميلة ولكن لا تتوفر إلكترونياً باعتقادي ولكن يوجد في مكتبات جرير.
هناك مواقع إشعاعية تغنيك موجودة في هذا الرابط
benwhite.com
وأهم موقع وأبسطه في المعلومات
Radiopeadia.org
التأكد من تنفيذ الفحص بشكل صحيح:
يجب أن لا يكون هناك أي rotation أو tilt
ونعرف ذلك من خلال تقييمنا لتطابق التشريح ك:
الفكين،الأذنين،حدود عظام الجمجمة.
كمثال:
¤في حال وجود rotation فإن الفكين سيظهر أحدهما متقدماً على الآخر.
¤وفي tilt فسنرى الأذنين مثلاً أحدهما أعلى من الأخرى
بهذا انتهينا من أشهر الوضعيات المستخدمة بكثرة لفحص عظام الجمجمة بشكل خاص.
وهنا جدول يوضح أشهر الأسباب التي تستدعي عمل فحص إشعاعي للجمجمة وعلاقة بعض الأمراض بإجراء تعديلات على عوامل التصوير
☆٢.فحص الجيوب الأنفية
Open mouth Waters view(PNS)
معلومات/
•يطلب لتقييم وجود أي حالات إلتهابية فيها.
•الجيوب الأنفية تقسم إلى أربع مجموعات:
Maxillary (2)
Frontal (~2)
Ethmoid (many)
Spheniod (1or2)
جميعها تتواجد في عظام الجمجمة ماعدا
Maxillary
توجد في عظام الوجه.
تابع معلومات:
الجيوب الأنفية تتطور مع الجنين ولكن عند الولادة الأكثر تمييزاً هي الmaxillary.
أما sphenoid و frontal فتبدأ بالظهور في صور الأشعة عند عمر ٦-٧سنوات.
آخر الجيوب تكوناً هي ethmoid.
يكتمل تكونها جميعاً في أواخر سن المراهقة.
صورة توضح تطورها:
لفحصها وضع waters view
▪الوضع/
يفضل أن يكون المريض في وضعية الوقوف لإظهار مستوى السوائل بشكل أفضل.
فتح الفم لرؤية sphenoid
▪وضع العضو/
يمد رقبته للخلف.
يفتح فمه.
يلصق الذقن و الأنف بالكاسيت.
نتأكد من عدم وجود ميلان او التفاف.
▪مركز الشعاع CR/
EOP
▪زاوية الشعاع/
عمودي.
☆٣ فحص العنق(البلعوم-الحنجرة)
Nasopharynx
معلومات:
•{من أسهل الفحوصات وأكثرها أخطاء}.
•يطلب هذا الفحص من قبل أطباء الأنف والأذن و الحنجرة ENT،
وذلك لتقييم وجود أي تضخم في الزائدة/لحمية الأنف (adenoid) أو
اللوزتان (tonsils) تتسبب في تضيق مجرى الهواء عند الأطفال.
تابع معلومات:
Adenoid
•هي عبارة عن نسيج لمفاوي.
•توجد عند الولادة ولكن لاتظهر حتى عمر ٣-٦ أشهر.
•تنمو إلى عمر ٦سنوات.
•مشاكلها لاتحدث إلا بعدعمر ١-٢سنة.
•تبدأ بالإنكماش في عمرالمراهقة.
•البالغون في العادة غير مرئيةلديهم.
•من أعراض تضخمها تنفس الطفل من الفم.
مثال لتضخمها
الوضع/
•وضع التصوير جانبي lateral.
•مسافة الأنبوب 150cm.
•تنبيه الطفل(٦سنوات غالباً) بعدم البلع.
•¤رفع الفك قليلاً حتى لا يحجب التشريح الذي نريدرؤيته¤.
•يبقي الطفل فمه مغلقاً ولاداع لفتحه(البحث المرفق)
عوامل التصوير:
نحن نصور أنسجة رخوة soft tissue
لذلك لابد من تقليل kV
¤يعد تقليل kVP من أهم النقاط بعد رفع الذقن قليلاً،
لأننا نريد رؤية جميع تفاصيل الأنسجة الرخوة في تلك المنطقة.¤
حيث يقوم الطبيب بالقيام بأحد طرق قياس مجرى الهواء ومعرفة مدى تضيقة
وهي نسبة
nasopharyngeal airway/soft palate (NA/SP)
نسبة عرض الخط الأسود إلى الخط الأبيض.
انتهى..
☆٣الفقرات العنقية
cervical spine
معلومات:
•هناك العديد من الاوضاع يهمنا منها ٣وضعيات.
•عددها ٧فقرات عنقية.
•لها تشريحها الخاص المميز.
•الفقرة الأولى تسمى C1 أو atlas
《الاسم مشتق من الخرافة اليونانية لشخص يحمل الكرة الأرضية على كتفه وشبهوها به لأنها تحمل الجمجمة》
•الفقرةالثانيةتسمى C2 أو axis
وهي تتميزبوجود
odontoid process(dense).
ووظيفتها السماح بالإلتفاف المحوري للرأس.
•تتميزالفقرات العنقيةبوجود فتحات تسمى
Transverse foramen=foramen transversarium
تمر فيها شرايين و أوردة و بعض الأعصاب.
•C7
لها أبرز spinous process في العمود الفقري
Cervical spine AP open mouth
وهو خاص بإظهار C1 & C2.
الوضع/
•يفتح المريض فمه أقصى مايمكن بتحريك الفك السفلي للأسفل دون تحريك رأسه.
•يبقي اللسان منخفضاً حتى لا يتداخل مع التشريح خلفه.
مركز الشعاع/
في وسط الفم المفتوح عمودياً.
AP axial cervical spine:
•هو الوضع الذي يهمل الكثير منا عمل زاوية فيه فيجعل الشعاع دون زاوية.
•axial
لأن هناك زاوية ١٥°أو٢٠° نحو الرأس بناء على مقدار انحناء الرقبة ووضعية المريض.
(15° supine or less lordotic)
(20° erect or more lordatic)
الهدف هو التغلب على overlapping للفقرات
الوضع/
•نضبط الرأس بحيث لايكون هناك إلتفاف أو ميلان.
•نرفع الذقن حتى يكون الفك السفلي عمودي على الطاولة او موازي لزاوية الشعاع.
مركز الشعاع/
C4 =Thyroid cartilage=above sternal notch by 5cm
الزاوية/
كما قلنا سابقاً ١٥-٢٠درجة نحو الرأس بناء على مدى انحناء الرقبة و وضعية المريض
في هذا الوضع الروتيني لن نشاهد الفقرتين C1 and C2
فقط سنشاهد من C3 إلى T2
وذلك بسبب حجب الفك لهما.
ولكن القاعدة الإشعاعية تقول:
(الأشياء المتحركة لاتظهر بوضوح)
لذلك هناك وضع بديل يسمى
AP wagging jaw
أو
Ottonello method
وهو تحريك مستمر للفك أثناء التصوير بشرط عدم تلامس الأسنان
الوضع الجانبي
Lateral Cervical spine
الوضع/
•يكون المريض في زاوية صحيحة من البكي العمودي أو الطاولة.
•لايوجد التفاف.
•يباعد بين القدمين للثبات.
•يفضل وقف التنفس بعد اخراج النفس و حمل ثقل متساوي في كل يد لخفض الكتفين للأسفل.
•رفع الذقن لكي لايحجب c1-c2.
المسافة/١٥٠سم
سنتر/C4
☆٤فحص الجانبي للفقرات الصدرية
Lateral view of thoracic spine
معلومات/
•الفقرات الصدرية عددها ١٢ فقرة.
•أهم فقرة هي الصدرية رقم ٧ ،لأنه يتم استخدامها كمركز للشعاع.
•يتم الاستدلال على موقعها بأنها تقع في منتصف المسافة التي تقسم عظمة القص (sternum) لجزأين متساويين.
من الأخطاء الشائعة في تصوير الفقرات الصدرية/
إهمال مسألة Anode heel effect
ألقِ نظرة على تغريدة
ومن الأخطاء كذلك في الوضع الجانبي:
•عدم الطلب من المريض أخذ نفس عميق وطويل وبهدوء أثناء التصوير حتى نخفي تأثير الأضلاع.
•ونسيان زيادةs وتقليلmA.
الوضع:
على الطاولة ينام على جنب ويقوم بثني الركبتين و الورك ومد ذراعيه للأمام لمزيد من الثبات.
يكون الرأس باتجاه الأنود والقدمين باتجاه الكاثود (للتغلب على اختلاف الكثافة في الجسم بالاستفادة من Anode heel)
السنتر/
T7
¤ يتم وضع شريحة رصاص خلفه لامتصاص الأشعة المتشتتة¤
انتهى
☆٥الفحص الأمامي للفقرات القطنية
AP view of Lumbar spine
معلومات/
•الفقرات القطنية عددها ٥ فقرات.
•أهم فقرة هي القطنية رقم ٣ ،لأنه يتم استخدامها كمركز للشعاع.
•يتم الاستدلال على موقعها بأنها تقع على مستوى حافة الأضلاع السفلى.
Lower costal margin
عدد الفقرات القطنية قد يختلف (مجازاً) عند بعض الأشخاص.
زيادتها إلى ٦ نتيجة عدم إلتحام العجزية الأولى بالثانية (s1-s2) فتظهر كأنها
٦فقرات قطنية
تسمى :
1.Lumbarisation
نقصانها إلى ٤ نتيجة إلتحام القطنية الخامسة بالعجزية الأولى فتظهر كأنه
٤فقرات قطنية
تسمى:
2.Sacralisation
الوضع:
المريض مستلقي على ظهره.
¤وضع prone أفضل للنساء لأنه يوفر حمايةإشعاعيةللمبايض بنسبة 25%-30%¤
•نتأكد أن الحوض غير ملتف أو مائل عن طريق ضبطه بالطلب من المريض أن يسترخي ثم نقوم بالإمساك بمنطقة أعلى الوركين ونرفعه عن الطاولة ثم إفلاته.
•ثني الركبتين وملامسة القدمين للطاولة.
الفائدة من ثني الركبتين وجعل القدمين تلامس الطاولة تقليل (الإنحناء) في الفقرات القطنية
(lordosis)
و حتى يصبح الدسك بين الفقرات موازي للشعاع.
التنفس/
يقوم بإخراج الهواء وايقاف التنفس.
السنتر CR/
L3
●تقييم الفلم/
نعرف عدم وجود إلتفاف
أنspinous process
في منتصف الفقرات✔
الوضع الجانبي للفقرات القطنية
Lateral view of Lumbar spine
تنبيهات/
•المسافة ١٢٠سم.
•يفضل أن يكون في وضعية الوقوف.
•لا تقلق من ظهور مساحة ضوء collimator
بشكل صغير على جسم المريض فقط تأكد أنه مفتوح بمقاس 43سم طولياً وهذا كاف.
•في الديجيتال غالباً ماتكون الصور سيئة بسبب خطأAEC.
سبب ظهور صورة lateral
بشكل باهت وسيء نابع من ٣أشياء:
١.السنتر الخاطئ للعضو على AEC cell
٢.تفعيل AEC الخاطئة.
٣.اختيار البروتوكول الخاطئ AP
بدل Lat.
•AEC
تقوم بقياس كمية الإشعاع الواصل للكاشف وتقوم بإيقافه عند وصول الكمية المناسبة.
فمالذي يحدث
اقرأ الملاحظات والصور المرفقة
لذلك إذا لم تضمن أن العمود الفقري يقع بداخل chamber الأوسط
بعد تفعيله اوتوماتيكياً عن طريق البروتوكول أو يدوياً.
فننصح بايقاف AEC و ادخال العوامل يدوياً.
•يجب ايقاف التنفس بعد إخراج الهواء.
مركز الشعاع/L3
انتهى Lumbar
فحص عظام الحوض
AP Pelvis x-ray
معلومات/
الحوض وظيفته الربط بين العمود الفقري و الأطراف السفلية.
يتكون من ٤ عظمات:
2 hip bones
Sacrum
Coccyx
2+3 أيضاً ينتميان للعمود الفقري.
__________
عظمة hip تقسم إلى ثلاث أجزاء:
1.Ilium
2.ischium
3.pubic
أكبر جزء هو رقم ١.
معلومة:
في السابق كان هناك فحص أشعة يجرى للمرأة الحامل قبل الولادة يسمى
Cephalo-pelvi-metry
حيث يتم إجراء قياسات بأداة خاصة لمعرفة مقاسات الحوض ومدى امكانية الولادة الطبيعية أو القيصرية.
فالحوض "للنساء" يصنف بناء على شكله ومقاساته إلى ٤أشكال تتحكم في مسار خروج الجنين
الفرق بين حوض النساء و الرجال:
هناك فروقات واضحة من حيث/
المنظر العام
ومدخل الحوض inlet
و زاوية pubic arch
وتم شرحها في تغريدات سابقة
ألقِ نظرة على تغريدة @DiaryOfRad:
الوضع AP pelvis
يستلقي على ظهره.
يتم مد الساقين مع ثني الركبتين قليلاً لتقليل بعد الحوض عن الطاولة.
يتم مباعدة كعبي القدمين شيء بسيط وملامسة الأصبعين الكبيرتين ببعضهما.
لف الساقين للداخل medial rotation.
مركز الشعاع:
Above symphysis by 5 cm
انتهى
☆اليد Hand
▪تتكون اليد الواحدة من ١٩ عظمة
14 phalanges
5 metacarpals
▪يبدأ التعداد من الإبهام (١).
▪تسمى الأصابع:
1.Thumb. ابهام
2.Index. سبابة
3.Middle. وسطى
4.Ring. بنصر
5.little or pinkie or pinky. خنصر
Phalanges
تتكون من ٣ عُظيمات ماعدا الإبهام من عُظَيمتين فقط.
▪يسمى كل مفصل بين العُظيمات الصغيرة المكونة للphalanges :
Interphalangeal (IP) Joint.
▪والمفصل بين تلك phalanges و meta arpals يسمى:
Metacarpophalangeal (MCP) joint.
¤AP fingers
معلومة:
الأصابع من ٢ إلى ٥ نفس الوضع في AP
الإبهام له وضعه الخاص لأنه سيظهر oblique في هذا الوضع.
▪الوضع:
يضع المريض يده على الكاسيت بحيث تكون راحة اليد ملاصقة تماما، يراعى عدم مد الأصابع وعدم تفريقها عن بعضها بشكل كبير بل تكون مرتخية.
▪السنتر:
3rd MCP joint.
نقد الصورة١:
•يجب أن تظهر عظيمات الرسغ wrist.
•يجب أن يظهر distal forearm.
•مفاصل IP و MCP مفتوحة وواضحة وهذا دليل على أن السنتر في موقعه الصحيح.
•يجب أن يكون الرسغ على امتداد اليد (اليد غير مزاحة لليمين او اليسار بل كلاها على خط واحد).
•تكون الأصابع متباعدة قليلاً.
تابع نقد الصورة٢:
(دليل أن اليد ملتصقة تماماً)
•يجب أن تظهر الأنسجة الرخوة على جانبي عظام الأصابع بشكل متساوي.
•يجب أن تظهر عظام الأصابع منحنية من كلا الجانبين.
•وجود الماركر R or L.
•أن تكون الأنسجة الرخوة ظاهرة بشكل بسيط.
•أن تكون حدود العظام واضحة.
•لايوجد قطع.
ملخص👇
عفواً *******
PA hand
للتصوير بالعوامل اليدوية
Manual exposure
العوامل المقترحة
85-95 kvp
~66mAs =
~35-40 mA
~1.9s - 2s
(زيادة زمن التعريض لكي نقلل من تغطية غازات الأمعاء و الأضلاع و الحجاب الحاجز للفقرات)
Large focus
120 cm
grid
☆PA oblique :Hand
الوضع:
•يضع المريض ذراعه forearm على الطاولة للتثبيت.
•يفضل أن يثني المريض مرفقه.
•يتم إمالة اليد ٤٥ درجة بالاستعانة بدعامة اسفنجية حتى تكون الأصابع موازية للكاسيت.
[في حال لم نهتم بالأصابع phalanges
وكان اهتمامنا بال metacarpals فقط
فلا حاجة للدعامة]
فائدة الدعامة هي جعل الأصابع موازية للكاسيت فلا يظهر لدينا عيب foreshortening.
أما في حال عدم استخدامها فإن الوضع يكون بجعل اصبعي الإبهام والسبابة وكأنهما سيتلامسان وبهذا يرتفع الكف عن الطاولة.
(ولكن بسبب عدم موازاة الأصابع للكاسيت سيظهر العيب المذكور سابقاً).
▪السنتر:
3'rd MCP
☆ الرسغ
☆PA wrist
يتكون من ٨ عظيمات : ٤في الصف الأمامي و ٤ في الصف الخلفي.
أكثرها تعرضاً للكسر :
Scaphoid
معلومة عن هذه العُظيمة:
في بعض الأحيان تسمى navicular
نفس اسم العظيمة الموجودة في القدم.
::للإطلاع على المزيد عن الرسغ::
@DiaryOfRad:
▪الوضع:
•يجب أن يكون الكتف و العضد و الذراع و اليد على مستوى واحد برفع الكاسيت او خفض المريض(حتى يكون التصاق الرسغ كامل)
•يقوم بثني المرفق ٩٠°.
•يقوم بجعل الذراع و اليد على استقامة واحدة.
•من المهم أن يقبض الأصابع ليزيد من التصاق الرسغ.
السنتر: على الرسغ مباشرة.
لابد أن تشمل الصورة
Mid/Proximal metacarpals
Distal radius and ulna
كيف نعرف أن الوضع تم تطبيقه باحترافيه ولا يوجد ميلان؟
•وجود التقوس concavity shapes
على جانبي metacarpals.
•تباعد نهاية عظمتي radius&ulna
ويسمح بوجود تراكب بسيط في المفصل بينهما.
الوضع الجانبي للرسغ
☆Lateral wrist
يتم عمله لتقييم وجود:
Fractures or Dislocations of the distal radius or ulna.
وخصوصاً هذه الكسور الثلاثة:
Barton's , Colles' , Smith's fractures.
لذا لابد من عمله بدقة لأن زاوية انزياح الكسر مهمة
الوضع:
•يجب أن يكون الكتف والعضد والذراع و اليد على مستوى واحد.
•يثني المرفق ٩٠°.
•لا يشد المريض أصابعه.
•يجب أن تكون اليد والرسغ في الوضع الجانبي الصحيح،يفضل الاستعانة بقطعة اسفنج تشكل حافتها زاوية •
•لف اليد ٥° للخلف يجعل ulnar&radial styloid متطابقة
السنتر:منتصف الرسغ
¤لف اليد ٥° للخلف ليست مذكورة في بعض المراجع.
التأكد من الوضع:
•Ulnar head superimposed over distal radius.
• 2'nd,3'rd,4'th,5'th proximal metacarpals appear aligned and superimposed.
الوضع الأمامي الخلفي للساعد
☆AP forearm
•يتكون من عظمتين:
1.Radius:
تقع باتجاه الإبهام وهي التي تلتف علىulnaفي وضع prone.
وتعتبر الأقصر.
2.Ulna:
تقع باتجاه الخنصر وحركتها محدودة عند التفاف اليد وتعتبر أطول.
•يوجد مفصل قريب وبعيد يربط العظمتين مهم لحركةاليد و الرسغ.
•Radius
هي العظمة الوحيدة التي يتضمنها مفصل الرسغ بشكل مباشر.
•Ulna
رأسها و styloid process
يقع عند نهايتها البعيدة(distal end)
وهو البروز الذي نشعر به ونراه باتجاه الأصبع الصغيرة (الخنصر)
عندما تكون اليد في وضع prone.
(جربها وتحسس البروز)
واسمه الكرسوع بالعربي.
الوضع AP forearm
•في تصوير العظام الطويلة لا بد أن نشمل مفصلين وإذا لم يمكن فنشمل المفصل الأقرب للإصابة.
•يكون الكتف و المرفق على مستوى وامتداد واحد.
•يجب أن يكون الساعد ممدود وفي وضع supine.
•وينبغي عدم تصويرها في وضع prone
حتى لاتتقاطع العظمتين.
السنتر:
في المنتصف.
الوضع الجانبي Lateral forearm☆
يكون الكتف على مستوى الطاولة.
ثني المرفق ليشكل زاوية ٩٠°.
وضع الساعد في true lateral.
•عدم مد الأصابع بشكل زائد.
•عدم رفع الإبهام.
•نشمل مفصلين قدر الإمكان أو نكتفي بالمفصل القريب للإصابة.
●السنتر:
منتصف المسافة.
نقد الصورة:
في الوضع الجانبي:
•لابد أن نشاهد مفصل المرفق يشكل زاوية ٩٠°.
•لايوجد إلتفاف عن طريق مشاهدة:
رأس ulna(البروز العظمي الذي ذكرناه سابقاً)
متراكب مع نهاية عظمة Radius.
•عظمتي humeral epicondyles متراكبة.
•رأس Radius متراكب معcoronoid process
وظهور radial tuberosity
@A2009Mi Bontrager's-Textbook-of-Radiographic-Positioning and-Related Anatomy
drive.google.com
☆وضع AP elbow
•يعتبر من أنواع المفاصل الزلالية synovial joint.
للمفاصل الزلالية تركيب خاص من ضمنها
Articular capsule
والذي يحوي بداخله ثلاث سطوح اتصال لتشكل مفصل المرفق:
1.humero-ulnar .( باللون البنفسجي)
2.humero-radial.(باللون البرتقالي)
3.proximal radio-unar.(باللون الأخضر)
الوضع AP elbow:
•الكتف على مستوى الطاولة ويمد المريض يده بشكل تام مالم يكن هناك إصابة تعيق الحركة او وجود جبيرة.(يستخدم وضع بديل).
•تكون الذراع و الساعد على امتداد واحد.
السنتر:
2.5cm distal to line between epicondyles.
أسفل الخط الظاهر عند ثني المرفق.
الوضع البديل في حال عدم القدرة على مد المفصل بشكل كامل:
١. إما أن تكون الذراع هي الموازية للطاولة و الساعد مرفوع
Humerus parallel.
٢.أو أن يكون الساعد موازي للطاولة و الذراع مرفوعة
Forearm parallel.
السنتر هو نفس الوضع العادي.
وضع بديل
٣.في حال وجود جبيرة أو أن المفصل متصلب لايمكن مده وعلى شكل زاوية (قريبة من ٩٠°):
أ. نعمل كلا الوضعين البديلة في التغريدة السابقة ولكن زاوية الشعاع من ١٠°إلى١٥° على المفصل.
أو
ب.نجعل الذراع و الساعد يشكلان زاوية ٤٥°من الطاولة ونجعل السنتر في منتصف المفصل.(أحد المراجع)
وضع بديل
في حال كان المفصل مثني بزاوية كبيرة (أكبر من ٩٠°):
Acute flexion projection(jones method)
حيث يتم عمل صورتين بزاويتين مختلفة
لأن كل زاوية ستظهر تشريح محدد(في الصورة)
١.الزاوية الأولى عمودية على محور humerus
٢.الزاوية الثانية عمودية على forearm.
نقد الصورة AP elbow
•تكون الذراع و الساعد على استقامة واحدة.
لايوجد إلتفاف ويتم تقييم ذلك من خلال:
•radial head+neck+tubercles
متراكبة مع عظمة ulna بشكل بسيط.(أخضر)
•ظهور كلا epicondyles.(بنفسجي)
•olecranon process in its fossa.(أحمر)
•خط المفصل مفتوح وظاهر.(أزرق)
الوضع الجانبي Lat. Elbow
•يعد أهم وضع لتقييم المفصل،لماذا؟
•بسبب ظهور تراكيب تشريحية لا ترى إلا في هذا الوضع.
•هذه التراكيب يتم الاستعانة بها في تقييم حدوث إصابة للمفصل أم لا.
•تسمى fat pads/stripes :
1.supinator fat stripe.
2.Anterior fat pad.
3.posterior fat pad.
Posterior fat pad
لاترى في الوضع الصحيح إلا إذا كان هناك مرض أو إصابة أظت لانزياحها.
لرؤية هذه pads لابد من شروط:
١.أن يكون المفصل مثني ٩٠°.
٢.أن يكون الوضع مطبق بشكل مثالي.
True lateral position.
٣.استخدام عوامل صحيحة (ليست قوية بشكل كبير حتى لانفقد تفاصيل الأنسجة الرخوة).
الوضع Lat. Elbow
•يكون الكتف و الذراع على مستوى الطاولة.
•ثني المرفق بزاوية ٩٠°تماماً.
•وضع الساعد و اليد في true lateral.
السنتر :في منتصف المفصل.
نقد الصورة lat.elbow
•المفصل مثني ٩٠°.
•نصف radial head
مغطاه بواسطة coronoid process.
•يجب أن يظهر olecranon process كاملاً.
•تراكب epicondyles.
•ظهور ٣ أقواس(concentric arcs):
ظهور الثلاثة أقواس يدل على أن الوضع تم بزاوية ٩٠° للمفصل.
هذه الأقواس هي:
1.trochlear sulcus(first and smallest)
2.outer ridges of :capitulum(small arc)and trochlea(large arc).
3.Trochlear notch of Ulna.
●عندما يكون المفصل في وضع غير صحيح فإن هذه الخطوط سيختل ترتيبها.
انتهى
اوضاع Humerus
₩يعتمد على التفاف الطرف العلوي₩
☆true AP:
يجب أن تكون الذراع في وضع
Anatomical position
حيث يتم لف كامل الطرف العلوي للخارج
External rotation
مالم يكن هناك كسر أو خلع.
**وضع AP الصحيح سيظهر لنا
A)Greater tubercle & B)Lesser tubercle.
السنتر :
منتصف الذراع
عندما يتم لف الذراع للداخل
Internal rotation
فإن الوضع سيكون :
☆true Lateral position for humerus.
أما جعل الذراع في وضعها الطبيعي دون التفاف فسيجعلها في:
☆oblique position for humerus.
وهذا سيؤثر على رؤية
Greater and Lesser tubercles.
الوضع الجانبي
Lateral projection
يتم بإحدى الطرق التالية اعتماداً على مدى مقدرة المريض تحريك ذراعه فنختار الأسهل له والأقل ألماً.
١.استخدام الكاسيت وجعله تحت الإبط واستخدام شعاع مستعرض.(المشكلة في هذا الوضع لن يظهر الجزء العلوي للذراع فقط
Mid and distal humerus.)
الطريقة البديلة للlateral projection
٢.ثني المرفق وجعل اليد أمام البطن
وتصوير الذراع من الخلف.
*يعتمد على مقدرة المريض تحريك ذراعه.
الطريقة البديلة للlateral projection
٣.وهي طريقة بديلة في حال لم يكن قادر على تحريك ذراعه نهائياً.
•ارفع الذراع السليمة فوق الرأس(اذا لم يستطع استخدم زاوية ١٥ نحو الرأس).
•اجعل المصابة ملاصقة للكاسيت.
•يتم زيادة زمن التعريض 2sec
•يستمر المريض أخذ نفس عميق وطويل أثناء التصوير
☆فحص الكتف
☆Shoulder x ray
يعد فحص مفصل الكتف من أكثر الأوضاع التي يتم الإختلاف حولها لتعدد وضعياته وعدم إلمام الأطباء بما يجب طلبه.
وضعية الذراع و زاوية جسم المريض ومقدرته على تحريك ذراعه و تشخيصه كل ذلك يتحكم باختيار الوضع المناسب.
shoulder girdle
حزام الكتف
•يتكون من عظمتين :
1.scapula
2.clavicle.
•ووظيفتها هي ربط الطرف العلوي بالجذع و الهيكل المحوري.
to connect each upper limb to the trunk or axial skeleton.
•تمتد عظمة scapula
من الضلع الخلفي الثاني إلى الضلع الخلفي السابع(تقابل T7).
سيتم تقسيم الأوضاع لكثرتها بحسب حالة المريض ونوع التشخيص الذي نود رؤيته:
١.فحوصات للغير مصابين.
٢.فحوصات للمصابين.
وكلاها يندرج تحتها:
فحوصات روتينية وفحوصات خاصة تطلب لرؤية تشريح معين.
ملخص لأوضاع الكتف(المحدد بالأصفر هو الأكثر شيوعاً وطلباً)
■الروتينية العامة:
يتم عمل وضعين المرة الأولى و الذراع ملتفة للخارج:
1.AP shoulder external rotation.
يعد هذا الوضع الوضع الأساسي الذي يظهر الكتف كما هو دون زوايا أو ميلان.
المرة الثانية والذراع ملتفة للداخل:
2. AP shoulder Internal rotation.
يعتبر بمثابة الوضع lateral للكتف.
•يتم إمالة جسم المريض قليلاً فقط نحو الجزء المصاب في حال كان الكتف بعيداً عن الكاسيت.
•السنتر:
2.5cm below coracoid process.
•يعمل الفحصين السابقين كإجراء روتيني لكل حالة ليست trauma:
كالإلتهابات و التكلسات و الكسور..
■الوضع الخاص لغير truma■
يتم طلبه لتقييم مفصل الكتف بشكل خاص ويسمى :
Posterior oblique (Grashy Method) for Glenoid cavity
•يتم إمالة جسم المريض بزاوية ٣٥° إلى ٤٥°
نحو الجهة المصابة.
وهذا يسمح ل head of humerus
بالإبتعاد عن تجويف المفصل قليلاً لكي نستطيع تقييم تجوبف المفصل
بعد الإنتهاء من الأوضاع الرئيسية لتصوير الكتف للحالات الباردة(آلام الكتف ، الخشونة ،التهابات الأوتار وتكلسها)
نأتي لأوضاع التصوير لحالات الحوادث والإصابات التي يكون الهدف من التصوير البحث عن الكسور والخلع في المقام الأول وهي حالات الطوارئ.
وهي ٣وضعيات
سيتم ذكرها:
☆الوضع الأول للحالات الطارئة:
☆AP shoulder NEUTRAL ROTATION (Trauma):
•في أي اشتباه لوجود كسر أو خلع يمنع تحريك الجزءالمصاب أو لفه ويتم التصوير وحال الذراع كما هي دون تحريك حتى لا يتم التسبب بمضاعفات.
•يفضل تواجد طبيب العظام خصوصاً في حالات الخلع لأنه سيطلب صورة بعد المعالجة
فإما أن يقرر أن يعود المريض لمنزله أو التنويم لإعادة الكتف بالتدخل الجراحي.
¤الوضع:
•يتم عمل الوضع والمريض قائم ويمكن عمله وهو مستلقي ولكن الأول أقل ألماً.
•يميل المريض نحو الجهة المصابة لجعلها أكثر إلتصاقاً للكاسيت
•تترك الذراع كما هي بدون إجبار على الإلتفاف للداخل أو الخارج
السنتر:
•عمودي على مفصل الكتف.
midscapulohumeral joint,
•يجب إيقاف التنفس.
○يتم معرفة أن الذراع كانت في وضعها الطبيعي دون التفاف من خلال موقع
Greater and Lesser tubercle
○يجب أن تشمل الصورة:
•1/3 of humerus
•Whole scapula
•2/3 clavicle
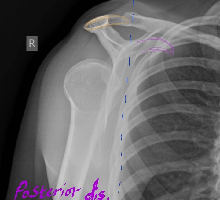
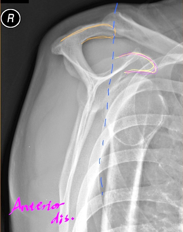
الوضع الثاني للحالات الطارئة ومهم جداً خصوصاً في حالات الخلع:
Scapular Y view lateral (Anterior Oblique position of shoulder)
•الخلع:هو خروج عظمة الذراع من مكانها الطبيعي لتتحرك نحو الأمام(وهو الأكثر حدوثاً)أو الخلف(أقل حدوثاً).
ويتم تقييم النوع من خلال موقع
Head of humerus
في حالات الخلع(الأمامي):
(Anterior dislocation)
Humeral head will be inferior to coracoid process.
الخلع الخلفي:
(Posterior dislocation)
Humeral head will be inferior to acromion process.
لاحظ موقع humeral head
بالنسبة لل
Acromion(orange) and Coracoid(violet)
●الوضع:
يكون المريض في وضع
Anterior Oblique
بحيث يكون وجهه ناحية الكاسيت.
•يشكل المريض زاوية بكتفه المصاب مع الكاسيت حوالي ٤٥°إلى٦٠° بحسب حجم جسمه والهدف جعل scapula
بشكل true lateral.
•إذا أمكن إبعاد الذراع للخارج قليلاً وليس لفها بهدف إبعادhumeral head عن الأضلاع.
CR:منتصف
الوضع الأخير للحالات الطارئة
☆AP Apical oblique axial shoulder (trauma):
•يعد من أفضل الأوضاع لكشف وتحديد نوع الخلع، خصوصاً الخلع الخلفي
(Posterior dislocation).
•كسور glenoid.
•Hill-Sachs lesions=posterolateral humeral head compression fracture
التي تحدث مع الخلع الأمامي
اسم آخر للوضع:
Garth method
الوضع:
•يكون ظهر المريض للكاسيت ويتم إمالة الجسم نحو الجزء المصاب حتى يشكل زاوية ٤٥°.
•يتم وضع الساعد على الصدر أو جعلها بجانب الجسم إذا لم يستطع تحريكها.
▪السنتر:
منتصف المفصل.
▪زاوية الشعاع:
٤٥° ناحية القدمين caudad.
هنا يظهر لنا أهمية ودقة هذا الوضع في تقييم وجود كسور أو خلع وتحديد نوعه
☆فحص عظمة الترقوة
☆clavicle " collar bone"
•تأخذ شكل الحرف S.
•هي أول العظام تكلساً (تبدأو الجنين بعمر ٥-٦أسابيع)*
•وآخر مراكز التكلس اكتمالاًوذلك في عمر (٢٢-٢٥سنة)*
•تعد العظمة الطويلة الوحيدة التي تأتي بشكل أفقي.
•تستخدم كمرجع في كثير من الفحوصات الإشعاعية:
radiopaedia
تستخدم كمرجع لتقييم الوضع أو لتقييم سلامةالأعضاء:
•يستخدم medial end
لمعرفةهل فحص أشعة الصدر تم بطريقة مثالية دون إلتفاف.
•الخط من منتصف الترقوة لأسف الجسم يسمى
midclavicular line(MCL)
ويستخدم لتقييم حجم الكبد خصوصاً في فحوصات الموجات الصوتية...الخ.*
يتم تصويرها في حالات عديدة:
كالكسور أو الأورام أو عدم تكونها كلياً أو جزئياً أثناء نمو الجنين.
اوضاعها:
وضعان رئيسيان:
AP(0 angle) and AP axial ( 15 ° to 30 ° cephalad ).
وعادة يعملان سوياً في بعض الأقسام.
▪وضع المريض:
واقف أو مستلقي.
▪مركز الشعاع:
منتصف عظمة الترقوة.
▪تعليمات:
أخذ نفس عميق ثم حبس النفس، وهذا يساعد في رفع العظمة لأعلى.
فائدة وضع AP axial
انه يرفع الترقوة بعيداً عن scapula.
تعتمد الزاوية على حجم جسم المريض كلما كان نحيفاً احتجنا لعمل زاوية أكبر.
لذا دليل أن الزاوية عملت بشكل مناسب
(نقد الوضع):
تكون الترقوة فوق scapula
وفوق الضلع الثاني و الثالث.
فقط جزء من medial متراكب مع الضلع الأول و الثاني
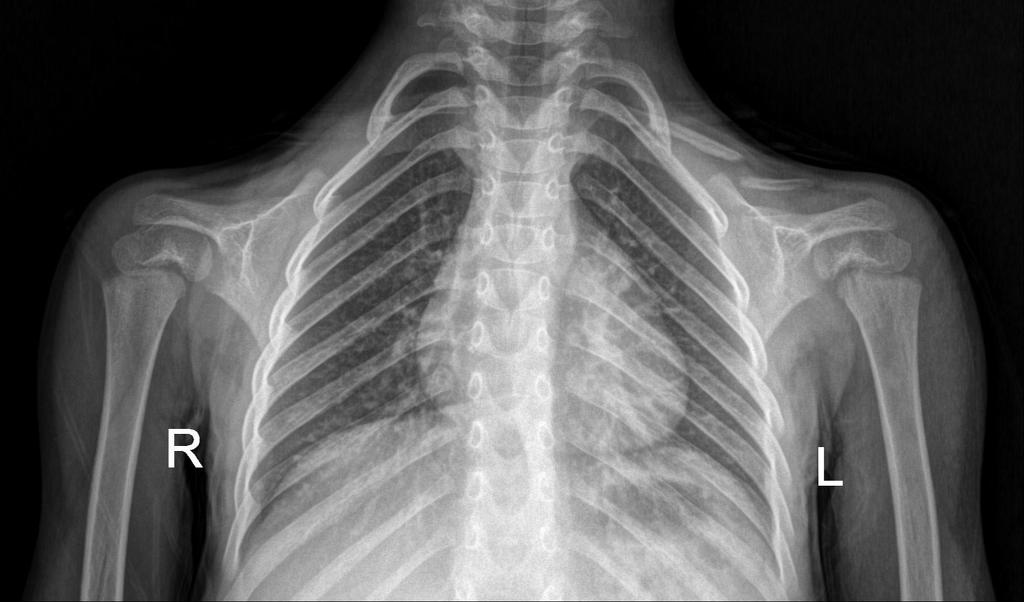
فحص الصدر
Chest x-ray
سلسلة تغريدات متكاملة عن الصدر وكل مايتعلق به خطوة خطوة و بالتفصيل:
ألقِ نظرة على تغريدة :

جاري تحميل الاقتراحات...