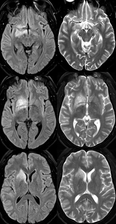
What is the most likely diagnosis in this 30 y/o M presenting with seizures, fever & headache?
🔷CSF x2:
Worsening neutrophilic pleocytosis despite Abx
Negative infectious studies
No malignancy on cyto/flow
OCBs +
🔷CT CAP: normal
#neurology #medicine #radres @AlbanyMedRadRes x.com
🔷CSF x2:
Worsening neutrophilic pleocytosis despite Abx
Negative infectious studies
No malignancy on cyto/flow
OCBs +
🔷CT CAP: normal
#neurology #medicine #radres @AlbanyMedRadRes x.com
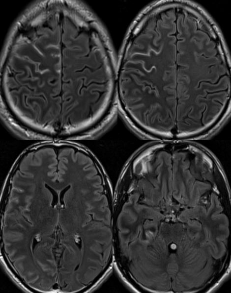
Answer: FUEL “FLAIR-variable unilateral enhancement of the leptomeninges” in MOGAD
🔷MOG antibody-associated disease (MOG-AAD)
Path: MOG-AAD is an autoimmune inflammatory demyelinating disease targeting oligodendrocytes
🔷MOG antibody-associated disease (MOG-AAD)
Path: MOG-AAD is an autoimmune inflammatory demyelinating disease targeting oligodendrocytes
🔷Epidemiology:
▶️No significant gender predilection
▶️Typically affects children and young adults
▶️No significant gender predilection
▶️Typically affects children and young adults
🔷Clinical:
▶️Most common symptoms are impaired or double vision 👀
▶️An infectious prodrome frequently precedes initial symptom onset in MOG-AAD (~60% of cases vs <10% in NMO)
▶️MOG-AAD is more likely monophasic with fewer relapses compared to NMO
▶️Most common symptoms are impaired or double vision 👀
▶️An infectious prodrome frequently precedes initial symptom onset in MOG-AAD (~60% of cases vs <10% in NMO)
▶️MOG-AAD is more likely monophasic with fewer relapses compared to NMO
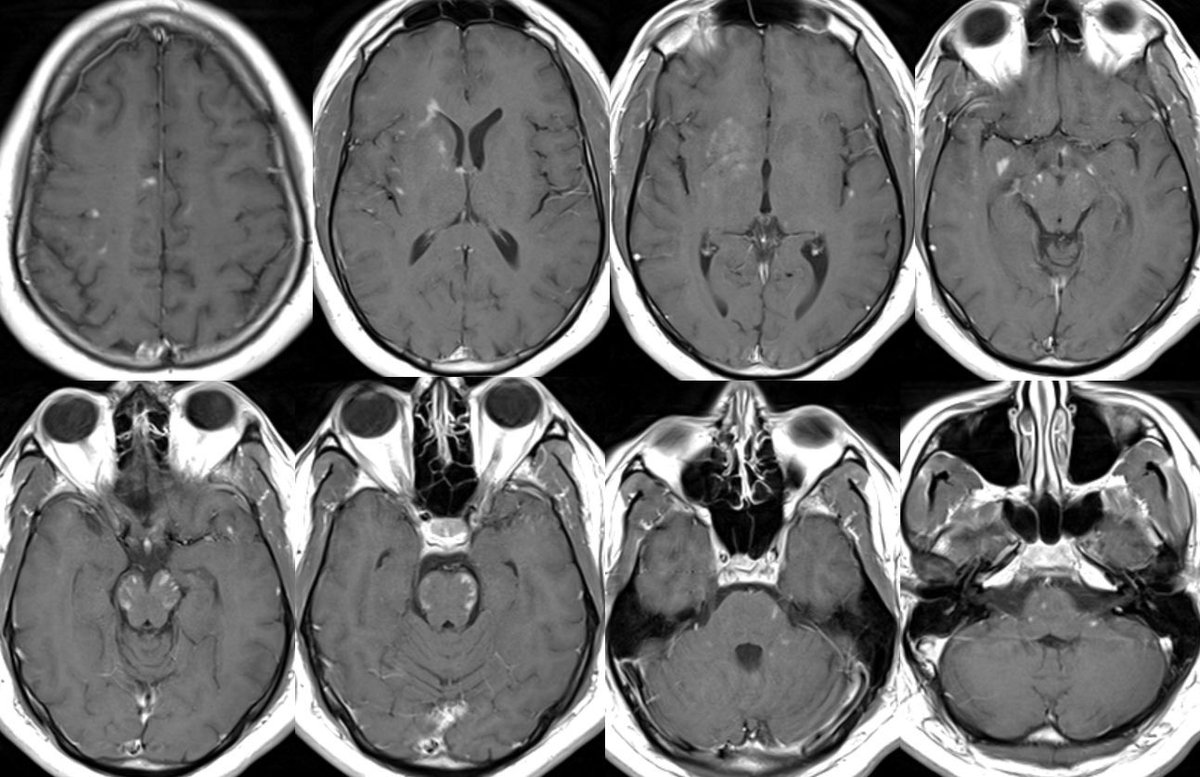
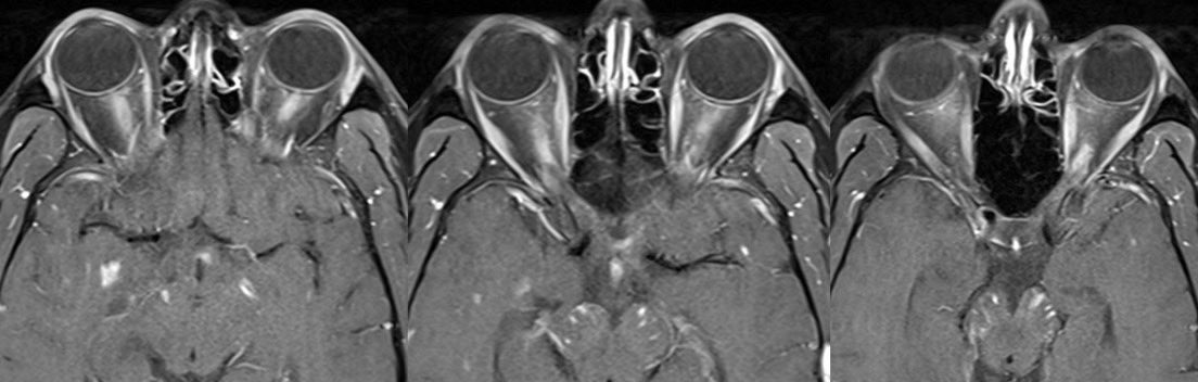
🔷Typical Imaging of MOG-AAD:
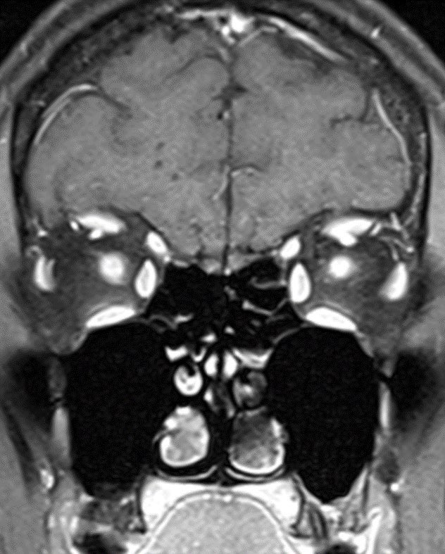
▶️OPTIC NERVES: Long segment BILATERAL edematous & tortuous optic nerves predominantly involving the ANTERIOR nerves x.com
▶️OPTIC NERVES: Long segment BILATERAL edematous & tortuous optic nerves predominantly involving the ANTERIOR nerves x.com
▶️BRAIN findings: Occur in <50% of patients though tend to involve the deep gray matter and infratentorium (particularly in children)
▶️Patterns include ADEM-like or CLIPPERS-like imaging features
▶️Leptomeningeal enhancement can also be seen in association with FUEL & FLAMES x.com
▶️Patterns include ADEM-like or CLIPPERS-like imaging features
▶️Leptomeningeal enhancement can also be seen in association with FUEL & FLAMES x.com
▶️SPINE findings: preferentially affects the lower cord, particularly the conus
▶️Patterns may be longitudinally extensive or short segment
▶️Spinal gray matter involvement can appear as thin linear T2 signal abnormality on sagittal or appear as on H on axial “H sign”
▶️Patterns may be longitudinally extensive or short segment
▶️Spinal gray matter involvement can appear as thin linear T2 signal abnormality on sagittal or appear as on H on axial “H sign”
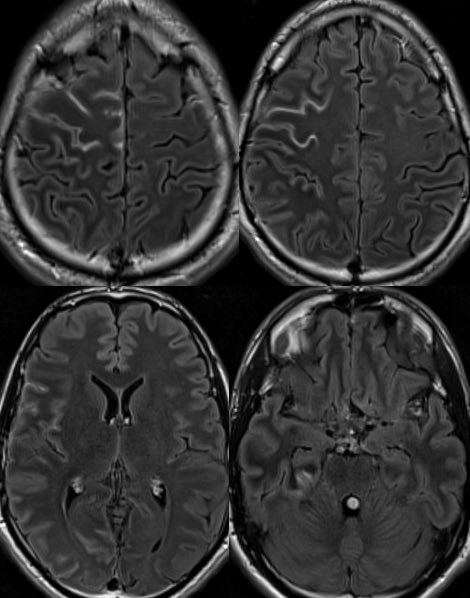
🔷A distinct subtype/clinicoradiographic syndrome of MOGAD is a cortical encephalitis presenting with headache, fever and seizures known as FLAMES of MOGAD🔥
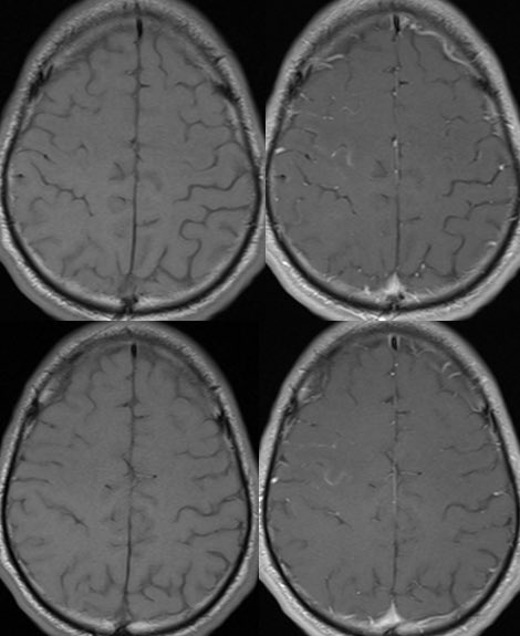
🔷When the predominant imaging features are leptomeningeal enhancement with little to no cortical involvement, this is considered FUEL of MOGAD ⛽️ x.com
🔷FUEL ⛽️& FLAMES 🔥
▶️Male predominant
▶️Seizure, HA, fever
▶️CSF: Pleocytosis, +MOGAD, +/- OCBs
▶️Imaging: Unilateral (more common) or b/l cortical swelling (🔥) or isolated leptomeningeal enhancement (⛽️) +/- other features of MOGAD
💡 Rule out infection/malignancy first! 🙏 x.com
▶️Male predominant
▶️Seizure, HA, fever
▶️CSF: Pleocytosis, +MOGAD, +/- OCBs
▶️Imaging: Unilateral (more common) or b/l cortical swelling (🔥) or isolated leptomeningeal enhancement (⛽️) +/- other features of MOGAD
💡 Rule out infection/malignancy first! 🙏 x.com
radiopaedia.org/articles/flair…
neurology.org/doi/10.1212/WN…
Adding FUEL to the FLAMES: FLAIR-variable Unilateral Enhancement of the Leptomeninges (FUEL) in MOG-IgG-Associated Disease (862) | Neurology
Objective:To highlight FLAIR-variable Unilateral Enhancement of the Leptomeninges (FUEL) in patients...
pubmed.ncbi.nlm.nih.gov/33508569/
"FLAMES: A novel burning entity in MOG IgG associated disease" - PubMed
FLAMES is a new clinico-radiological sub entity of myelin oligodendrocyte glycoprotein (MOG) antibod...
جاري تحميل الاقتراحات...