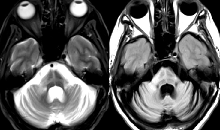
What is the most likely diagnosis in this 55 y/o F presenting w/ 2 years of progressive gait instability, mild dysarthria, bilateral dysmetria, & mild left bradykinesia? 🧠
#MedEd #neurology #radres #futureradres #medicine #Neurosurgery #FOAMed @AlbanyMedRadRes @PennRadiology
#MedEd #neurology #radres #futureradres #medicine #Neurosurgery #FOAMed @AlbanyMedRadRes @PennRadiology
Answer: Multiple System Atrophy Cerebellar Type (MSA-C)
🔷MSA is an adult onset sporadic neurodegenerative disease presenting w/ motor and autonomic symptoms
🔷MSA is an adult onset sporadic neurodegenerative disease presenting w/ motor and autonomic symptoms
🔷2 clinical forms based on predominant motor syndrome:
1️⃣MSA Cerebellar type
2️⃣MSA Parkinsonian type
🔷CLINICAL:
▶️Parkinsonism
▶️ Cerebellar ataxia
▶️Autonomic failure
▶️Pyramidal signs
1️⃣MSA Cerebellar type
2️⃣MSA Parkinsonian type
🔷CLINICAL:
▶️Parkinsonism
▶️ Cerebellar ataxia
▶️Autonomic failure
▶️Pyramidal signs
💡 Hot cross bun sign is specific but NOT pathognomonic (seen in MSA, Spinocerebellar ataxia & others)
2️⃣MSA-P
Atrophy of the putamen w/ T2 dark signal (markedly dark on GRE/SWI) dorsolaterally and T2 bright rim of the lateral putamen
2️⃣MSA-P
Atrophy of the putamen w/ T2 dark signal (markedly dark on GRE/SWI) dorsolaterally and T2 bright rim of the lateral putamen
🔷DIFFERENTIAL:
▶️Spinocerebellar ataxia
▶️Cerebellar degeneration (numerous causes)
▶️Hereditary olivopontocerebellar atrophy
▶️Parkinson’s disease & Parkinson’s-plus syndromes
▶️Friedrich’s ataxia (children)
For more reading 📖
radiopaedia.org
ncbi.nlm.nih.gov
▶️Spinocerebellar ataxia
▶️Cerebellar degeneration (numerous causes)
▶️Hereditary olivopontocerebellar atrophy
▶️Parkinson’s disease & Parkinson’s-plus syndromes
▶️Friedrich’s ataxia (children)
For more reading 📖
radiopaedia.org
ncbi.nlm.nih.gov
جاري تحميل الاقتراحات...