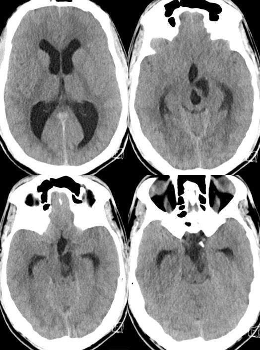
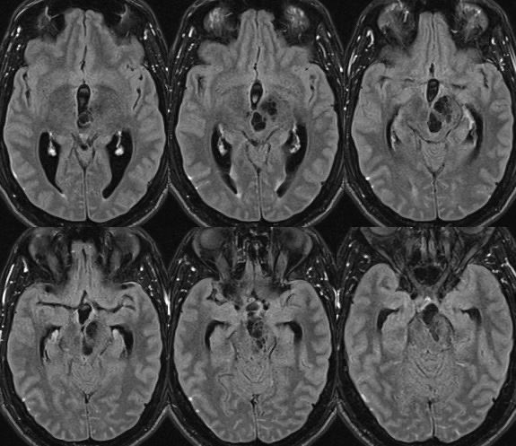
What is the most likely diagnosis in this 30 y/o M presenting with headaches? 🧠
🔷More images in 🧵
#meded #medicine #neurosurgery #Neurology #radres #futureradres #ENT
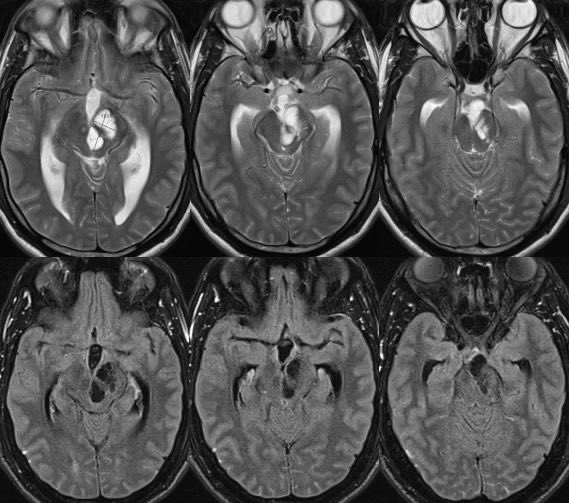
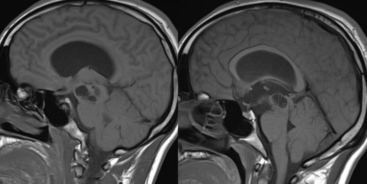
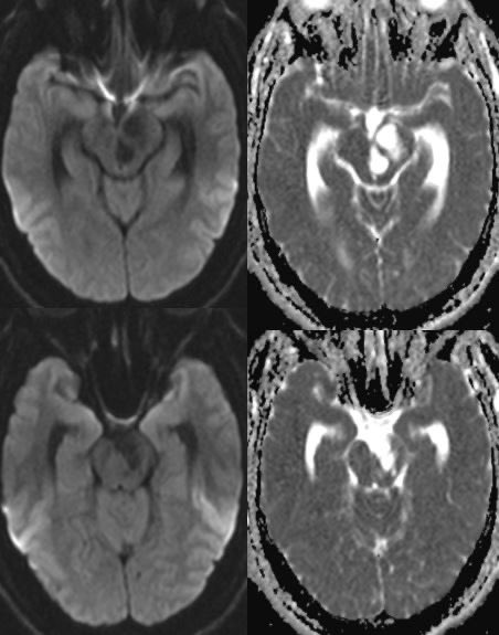
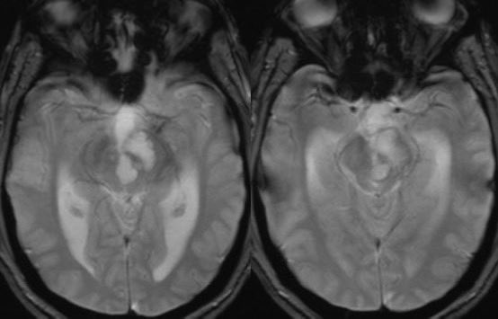
🔷More images in 🧵
#meded #medicine #neurosurgery #Neurology #radres #futureradres #ENT
جاري تحميل الاقتراحات...