Daniel Gewolb, MD
Daniel Gewolb, MD

@daniel_gewolb

3 تغريدة 2 قراءة May 03, 2024
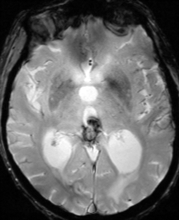
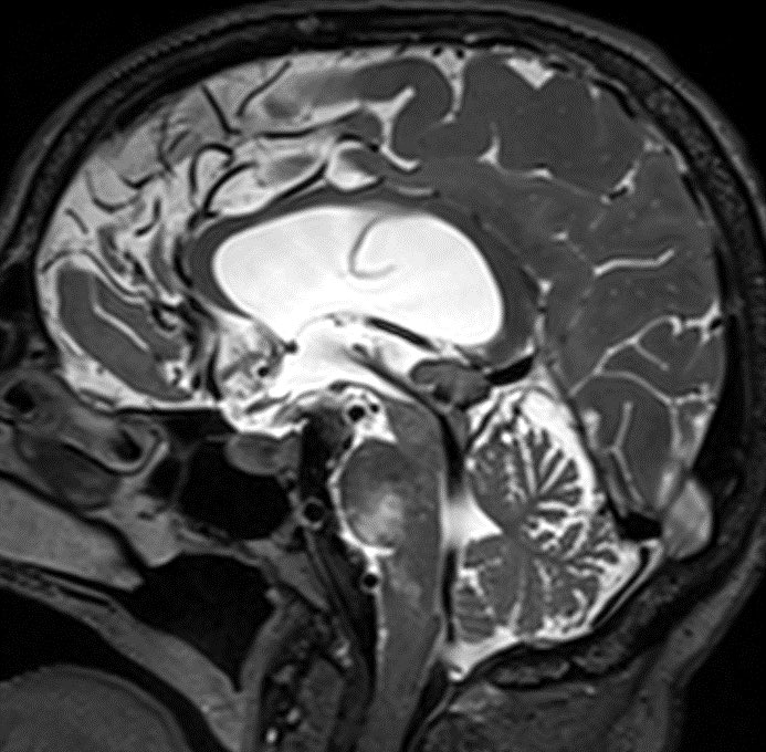
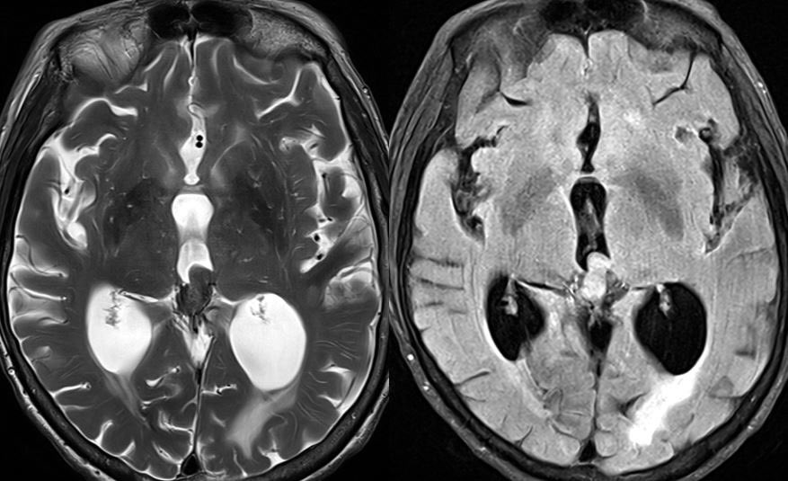
80 y/o patient presenting w/ headache is found to have a pineal mass and hydrocephalus. What is the most likely diagnosis and cause of the hydrocephalus?
More images in 🧵
#MedEd #Neurosurgery #neurology #MedX #futureradres #radres #medicine #ent #Radiology
More images 👇
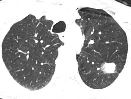
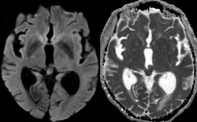
More images 👇

جاري تحميل الاقتراحات...