خالد العويمري
خالد العويمري

@xraykh_

6 تغريدة 14 قراءة Oct 28, 2023
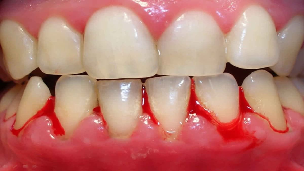
نزيف اللثة
احد المشاكل اليوميه التي تواجه الكثير عن غسيل أسنانهم او حتى بدون غسيل ، لكن في الحقيقة هناك أسباب وراء هذا النزيف
تابعوا معي……
نزيف اللثة أثناء تنظيف الأسنان بالفرشاة أو الخيط يمكن أن يسبب القلق. غالبًا ما يكون سبب نزيف اللثة بسيطًا مثل تنظيف الأسنان بالفرشاة بقوة، ولكن في بعض الحالات يمكن أن يكون أحد أعراض شيء أكثر خطورة.
أسباب نزيف اللثة
أحد أكبر أسباب نزيف اللثة هو تراكم البلاك على الأسنان. إذا تركت دون معالجة، سيؤدي ذلك إلى التهاب اللثة، وهي مرحلة مبكرة من مرض اللثة.
يحدث التهاب اللثة عندما تتراكم الترسبات التي تحتوي على البكتيريا على الأسنان وتنتج سمومًا تهيج اللثة.
معالجة التهاب اللثة أمرًا مهمًا حتى لا يتطور إلى شكل أكثر خطورة من أمراض اللثة.
العوامل الأخرى التي قد تزيد من خطر الإصابة بالتهاب اللثة التدخين والتوتر والتغيرات الهرمونية وسوء التغذية والأدوية والأمراض المزمنة.
من اهم أسباب نزيف اللثة هي وجود ترسبات جيرية تحت اللثة مما يؤدي لنزيف اللثة فوراً حتى بمجرد لمسها باليد
بجانب رائحة الفم الكريهة
وهذه الترسبات تكونها طبيعي وتختلف من شخص لاخر ولابد من زيارة الطبيب لازالتها بشكل دوري
درجة متانة شعيرات الفرشاة
تنقسم فرش الأسنان الي 3 درجات في مدي متانتها : لينة – متوسطة – قاسية.
قد تلحق تلك الفرشاة القاسية الأذي بطبقة المينا بأسنانك أواللَثة متسببة ف نزيفها, في حين أن ما يلائمها هي اللينة او المتوسطة. لذلك تاكد من درجة الفرشاة التي تلائمك أثناء شرائها من الغلاف
قوة استخدامك
لرغبتك في الحصول علي أسنان نظيفة وناصعة البياض , قد تستخدم كل ما أُوتيت من قوة ضد تلك الَلثة التي تتكون من أنسجة رقيقة محتوية علي كمية كبيرة من الشعيرات الدموية ! وهو اعتقاد خاطئ بأنه كلما زادت قوتك , زادت كفاءة تلك الغسلة! لان ذلك فقط سيلحق الأذي باللثة مؤديًا الي جرحها
ودمتم بخير وعافية

جاري تحميل الاقتراحات...