Fadi Alawaji
Fadi Alawaji

@fadi_ibrahim2

16 تغريدة 37 قراءة Oct 16, 2023
#Hematology
#مختبرات_طبية
موضوع اليوم راح يتكلم عن استخدام بعض خصائص الجهاز الجبار Sysmex XN
والي راح يساعدنا بشكل كبير على تفسير النتائج ، والهدف انه راح يعطيني نتائج اكثر دقة وموثوقية 👌
منشنوا الي شغالين على الجهاز 🙏🏻
قبل نبدا نتكلم عن الخصائص ،
حنا كاخصائيين من واجبنا ان مهامنا تكون اكثر من انه فقط امرر العينه على الجهاز وارسل النتيجة
فيه تنبيهات(Flags) قد تظهر، وهنا لابد ان اتخذ فيها اجراءات وابلغ الدكتور قبل اعتماد النتيجة (لانها بتفرق كثير على قرار الطبيب المعالج) > رجاء لا تتهاونوا فيها.
طبعا المزايا (لتفسير النتائج) كثيرة ومن ضمنها
1-Interpretive program messages (IP Messages)
2- Graphs (Scattergram Patterns)
3- Q- Flag
IP Messages
بعد ماتمشي العينه على الجهاز ، فيه رسائل راح تظهر لي على صفحة النتيجة ، فيه نوعين من الرسائل
الاول : Positive باللون الاحمر < وتعني ان العينه غير طبيعية بشكل اكيد
الثانية: Suspect < فيه احتمالية ان العينة قد تحتوي على شي غير طبيعي
لما تطلع لي ان العينة Positive or Suspect
راح يبين لي الجهار ايش الغير طبيعي بالضبط
Diff< يعني المشكله بعدد الخلايا التفريقية اما انها تكون اعلى او اقل من المعدل الطبيعي
Count< فيه مشكله بعدد خلايا الدم الحمراء او البيضاء او الصفائح
Morph< المشكله باشكال الخلايا
هنا ايضا راح يوضح لي البرنامج اشياء مهمه
ومنها
Marks > رقم ١
ومن اشهر العلامات هي
علامه الستار * < تظهر جنب النتيجة وهنا يعني الجهاز يقول لك ( انا ما اثق بالنتيجة الي طلعتها لك ، لابد انك تعمل اجراءات ثانية تأكيديه) Low reliability
Flags < رقم ٣
بالصورة موضح انه فيه زيادة بعد كريات الدم البيضاء والنتيروفيل
Action < رقم 5
قد يقترح البرنامج اجراءات لازم تسويها عشان تتاكد من النتيجة
Graph (scatterplot)
الخاصيه هذي موجودة باغلب الاجهزة، ومن المهم اني اخذ فكرة على طريقة توزيع الخلايا واماكنهم بالقراف ( الخلايا الطبيعية ) ، والانماط الاخرى للخلايا الغير طبيعية .
طبعا يبغى لها ثريد لحالها
Q - Flag
هذي من افضل خصائص الجهاز 👌 ليش؟
لان تفسير النتيجة سهل ومافيها اي تعقيد وماتاخذ وقت كثير . مجرد نظره سريعه بتعرف اذا فيه اي مشكله بالعينة
طبعا البار قراف له رينج من ٠ الي ٣٠٠
من ٠ الي ١٠٠ بيكون طبيعي ( اللون اخضر )
من ١٠٠ الي ٣٠٠ غير طبيعي ( اللون احمر )
طبعا وش سالفة البار قراف وايش راح يبين لي ؟
فيه اشياء كثيره راح توضح لي ولازم اتخذ فيها اجراءات تاكيدية ولكن بتكلم عن اكثر ٥ انواع شيوعا
الي هي
RBC Agglutination
Turbidity HGB
PLT Clamp
iRBC
Blast
RBC Agglutination
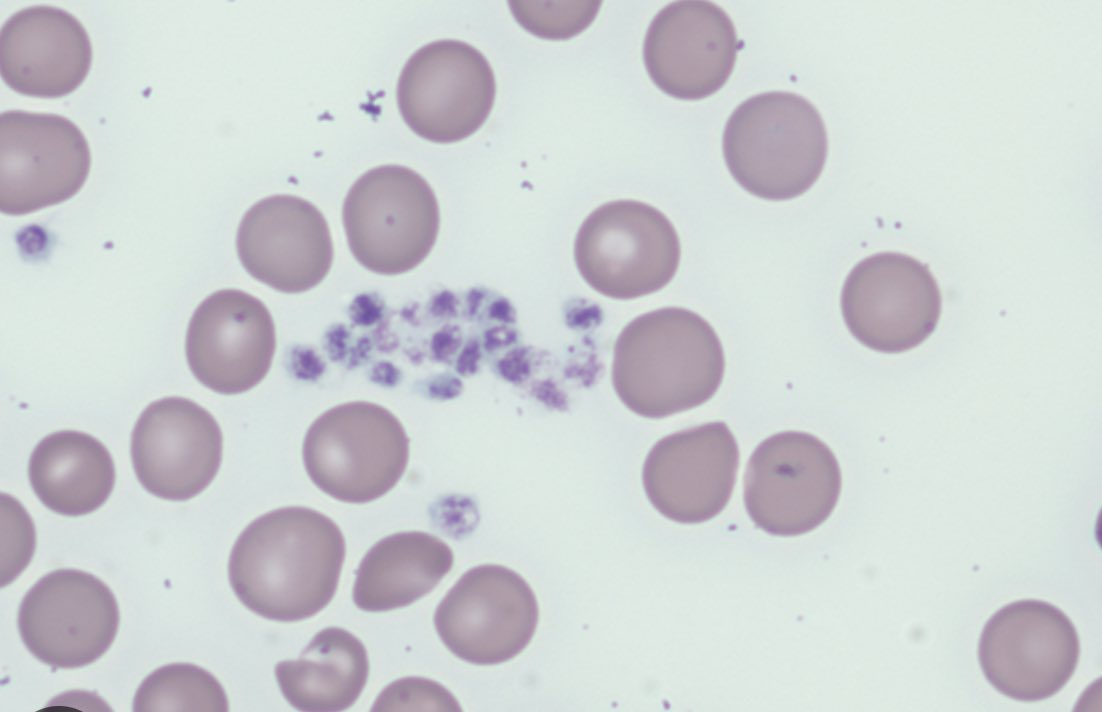
بتظهر لي باللون الاحمر اذا كان الجهاز شاك ان فيه تراص لكريات الدم الحمراء ( لاسباب كثيره) ومن ضمنها ان المريض قد يكون عنده Cold Agglutination
الاجراء التصحيحي : نحضن العينه بالانكيوبيتر ( درجه ٣٧) لمدة ساعه وبعدها نطلعها ونمشيها على طول بالجهاز
Turbidity HGB
بسبب ان الجهاز يقيسHGB عن طريق الفوتوميتر فراح يكون فيه قراءات خاطئة اذا كانت العينه Lipemic
الاجراء : نفصل العينه بالسينترفيوج ، نسحب كمية البلازما الي فيها الدهون ونضيف بدالها نورمل سلاين ( نفس الكميه )
بعدها نرجع نقراها بالجهاز ونصحح قيم HGB ، MCH, MCHC
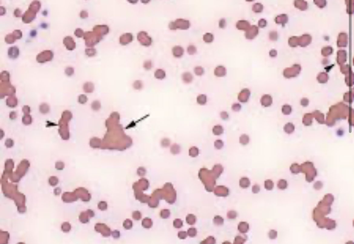
PLT Clump
اذا عطاني الجهاز اللون الاحمر ، فهذا دليل ان العينه فيها Clot سواء يكون التجلط مرئي او غير مرئي .
الاجراء : نرجع نشيك على العنيه باستخدام wood stick ~ ايضا نشوف حاله المريض والنتائج السابقة
بعدها تقرر يا ترفض العينه او تسوي لها سلايد وتشوفها تحت المايكروسكوب
iRBC < ميزة جبارة 👌
هنا المؤشر بيكون احمر لو الجهاز شاك ان العينه قد تحتوي على parasite < وغالبا تكون الملاريا
الاجراء : نسوي اختبار السكرين للملاريا مع عمل شرائح للتاكد 👌
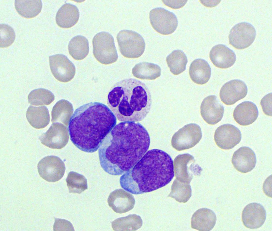
Blast
دليل على وجود خلايا غير ناضجة اما بسبب ان الجهاز ماقدر يفرق بين انواع الخلايا او ان العينه فعلا فيه خلايا غير ناضجة ( لوكيميا وغيرها )
الاجراء التصحيحي : عمل سلايد
وبنهاية الثريد اتمنى انكم استفدتوا وقدرنا نضيف لكم شي جديد
والي حاب معلومات اكثر انا تحت خدمتكم وايضا موظفي سيسمكس ماراح يقصروا معكم👌

جاري تحميل الاقتراحات...