@TumorBoardTues 1/20 #TumorBoardTuesday #ColonCancer #OncTwitter
58yo 👩🏽 with weight loss &🩸anemia
❌Comorbidities
🔦Scope: descending colon
❌obstruction
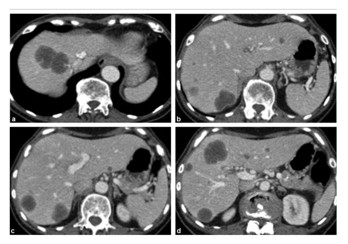
🩻CTAP: multiple liver, peritoneal mets
🔬BX: colon adenoCA
🔬pMMR/MSS, KRASwt, NRASwt, BRAFwt, HER2-
📚#fig0005" target="_blank" rel="noopener" onclick="event.stopPropagation()">sciencedirect.com
58yo 👩🏽 with weight loss &🩸anemia
❌Comorbidities
🔦Scope: descending colon
❌obstruction
🩻CTAP: multiple liver, peritoneal mets
🔬BX: colon adenoCA
🔬pMMR/MSS, KRASwt, NRASwt, BRAFwt, HER2-
📚#fig0005" target="_blank" rel="noopener" onclick="event.stopPropagation()">sciencedirect.com
@TumorBoardTues 2/20 #TumorBoardTuesday @AnwaarSaeed3 @MPishvaian @JohnEbbenMDPhD @FightCRC #ColonCancer
💉1L: FOLFOX + Cetux ➡️ PD after 5mo (⬆️size), neuropathy
💉2L: FOLFIRI + Bev ➡️ PD after 5mo (⬆️size)
❌Trial options
💉1L: FOLFOX + Cetux ➡️ PD after 5mo (⬆️size), neuropathy
💉2L: FOLFIRI + Bev ➡️ PD after 5mo (⬆️size)
❌Trial options
@TumorBoardTues @AnwaarSaeed3 @MPishvaian @JohnEbbenMDPhD @FightCRC @Dr_Ivanoncologo @CathyEngMD @jonathanloree @OncoThor @GIcancerDoc @skopetz @erikamartin3lli @adasarimd @DrPipDunne @JamesClearyMD @manjuggm @ronanhsieh @DrKatePedersen @FASinicropeMD @smitha42 @KevinCalsina @HosseinTaghiz11 @benweinbergmd @KimmieNgMD @WuGiOnc @samirguptaGI
@TumorBoardTues @AnwaarSaeed3 @MPishvaian @JohnEbbenMDPhD @FightCRC @Dr_Ivanoncologo @CathyEngMD @jonathanloree @OncoThor @GIcancerDoc @skopetz @erikamartin3lli @adasarimd @DrPipDunne @JamesClearyMD @manjuggm @ronanhsieh @DrKatePedersen @FASinicropeMD @smitha42 @KevinCalsina @HosseinTaghiz11 @benweinbergmd @KimmieNgMD @WuGiOnc @samirguptaGI 3/20 #TumorBoardTuesday
👩🏽🏫Mini tweetorial 1👨🏻🏫
📌Metastatic refractory CRC
Progression on 1L & 2L chemo
🙅🏻♂️No actionable mutations (HER-2, BRAF+RAS)
🤝#SharedDecision!
✅FDA approved tx
🔹TAS-102 +/- Bevacizumab
🔹Regorafenib
✅Other Tx strategies - rechallenge
↪️Chemo
↪️EGFR
👩🏽🏫Mini tweetorial 1👨🏻🏫
📌Metastatic refractory CRC
Progression on 1L & 2L chemo
🙅🏻♂️No actionable mutations (HER-2, BRAF+RAS)
🤝#SharedDecision!
✅FDA approved tx
🔹TAS-102 +/- Bevacizumab
🔹Regorafenib
✅Other Tx strategies - rechallenge
↪️Chemo
↪️EGFR
@TumorBoardTues @AnwaarSaeed3 @MPishvaian @JohnEbbenMDPhD @FightCRC @Dr_Ivanoncologo @CathyEngMD @jonathanloree @OncoThor @GIcancerDoc @skopetz @erikamartin3lli @adasarimd @DrPipDunne @JamesClearyMD @manjuggm @ronanhsieh @DrKatePedersen @FASinicropeMD @smitha42 @KevinCalsina @HosseinTaghiz11 @benweinbergmd @KimmieNgMD @WuGiOnc @samirguptaGI 4/20 #TumorBoardTuesday
👩🏽🏫Mini tweetorial 2👨🏻🏫
✨RECOURSE
💊TAS-102 (trifluridine/tipiracil)
📌MoA-thymid analog+phosphorylase 🚫
🆚Placebo
📉OS 7.1 v 5.3 mo
📈PFS 2.0 v 1.7 mo
🔹ORR 1.6% v 0.4%
🔸G3/4 AE 69% v 52%
📍AE
Cytopenias
N/V/D
📚#EricVanCutsem nejm.org
👩🏽🏫Mini tweetorial 2👨🏻🏫
✨RECOURSE
💊TAS-102 (trifluridine/tipiracil)
📌MoA-thymid analog+phosphorylase 🚫
🆚Placebo
📉OS 7.1 v 5.3 mo
📈PFS 2.0 v 1.7 mo
🔹ORR 1.6% v 0.4%
🔸G3/4 AE 69% v 52%
📍AE
Cytopenias
N/V/D
📚#EricVanCutsem nejm.org
@TumorBoardTues @AnwaarSaeed3 @MPishvaian @JohnEbbenMDPhD @FightCRC @Dr_Ivanoncologo @CathyEngMD @jonathanloree @OncoThor @GIcancerDoc @skopetz @erikamartin3lli @adasarimd @DrPipDunne @JamesClearyMD @manjuggm @ronanhsieh @DrKatePedersen @FASinicropeMD @smitha42 @KevinCalsina @HosseinTaghiz11 @benweinbergmd @KimmieNgMD @WuGiOnc @samirguptaGI @FogacciJoao @JoaquinCubiella @LumirKunovsky @JasenMackie @ShimaghavimiMD @SavanShahMD @RashidLui @Sarbaji85064063 @TiroshAmit @abbassmohd @pashtoonkasi @maur_jmp @KristenCiombor @CamilaBragancaX @HMAbushukair @sofiedemeulder @bowelcanceruk @OAranha_MDPHD @fireflyann
@TumorBoardTues @AnwaarSaeed3 @MPishvaian @JohnEbbenMDPhD @FightCRC @Dr_Ivanoncologo @CathyEngMD @jonathanloree @OncoThor @GIcancerDoc @skopetz @erikamartin3lli @adasarimd @DrPipDunne @JamesClearyMD @manjuggm @ronanhsieh @DrKatePedersen @FASinicropeMD @smitha42 @KevinCalsina @HosseinTaghiz11 @benweinbergmd @KimmieNgMD @WuGiOnc @samirguptaGI @FogacciJoao @JoaquinCubiella @LumirKunovsky @JasenMackie @ShimaghavimiMD @SavanShahMD @RashidLui @Sarbaji85064063 @TiroshAmit @abbassmohd @pashtoonkasi @maur_jmp @KristenCiombor @CamilaBragancaX @HMAbushukair @sofiedemeulder @bowelcanceruk @OAranha_MDPHD @fireflyann 5/20 #TumorBoardTuesday @doctorC369 @peterneary7 @md_anusha #ColonCancer
👩🏽🏫Mini tweetorial 3👨🏻🏫
📌Benefit of adding anti-VEGF
👍🏽Continuing 2L anti-VEGF after 1L anti-VEGF has clinical benefit
📍phase 3
📚@BennounaJaafar #StefanKubicka thelancet.com
🤨How about 3L?
👩🏽🏫Mini tweetorial 3👨🏻🏫
📌Benefit of adding anti-VEGF
👍🏽Continuing 2L anti-VEGF after 1L anti-VEGF has clinical benefit
📍phase 3
📚@BennounaJaafar #StefanKubicka thelancet.com
🤨How about 3L?
@TumorBoardTues @AnwaarSaeed3 @MPishvaian @JohnEbbenMDPhD @FightCRC @Dr_Ivanoncologo @CathyEngMD @jonathanloree @OncoThor @GIcancerDoc @skopetz @erikamartin3lli @adasarimd @DrPipDunne @JamesClearyMD @manjuggm @ronanhsieh @DrKatePedersen @FASinicropeMD @smitha42 @KevinCalsina @HosseinTaghiz11 @benweinbergmd @KimmieNgMD @WuGiOnc @samirguptaGI @FogacciJoao @JoaquinCubiella @LumirKunovsky @JasenMackie @ShimaghavimiMD @SavanShahMD @RashidLui @Sarbaji85064063 @TiroshAmit @abbassmohd @pashtoonkasi @maur_jmp @KristenCiombor @CamilaBragancaX @HMAbushukair @sofiedemeulder @bowelcanceruk @OAranha_MDPHD @fireflyann @doctorC369 @peterneary7 @md_anusha 6/20 #TumorBoardTuesday #ColonCancer
👩🏽🏫Mini tweetorial 4👨🏻🏫
✨SUNLIGHT
💉Addition of Bev to TAS-102
🆚TAS-102
📉OS 10.8 v 7.5 mo
📈PFS 5.6 v 2.4 mo
🔹ORR 6.1% v 1.2%
🔸G3/4 AE 72.4% v. 69.%
📍AE
Cytopenias
N/V/D
HTN
📚@TaberneroJosep @mgfakih nejm.org
👩🏽🏫Mini tweetorial 4👨🏻🏫
✨SUNLIGHT
💉Addition of Bev to TAS-102
🆚TAS-102
📉OS 10.8 v 7.5 mo
📈PFS 5.6 v 2.4 mo
🔹ORR 6.1% v 1.2%
🔸G3/4 AE 72.4% v. 69.%
📍AE
Cytopenias
N/V/D
HTN
📚@TaberneroJosep @mgfakih nejm.org
@TumorBoardTues @AnwaarSaeed3 @MPishvaian @JohnEbbenMDPhD @FightCRC @Dr_Ivanoncologo @CathyEngMD @jonathanloree @OncoThor @GIcancerDoc @skopetz @erikamartin3lli @adasarimd @DrPipDunne @JamesClearyMD @manjuggm @ronanhsieh @DrKatePedersen @FASinicropeMD @smitha42 @KevinCalsina @HosseinTaghiz11 @benweinbergmd @KimmieNgMD @WuGiOnc @samirguptaGI @FogacciJoao @JoaquinCubiella @LumirKunovsky @JasenMackie @ShimaghavimiMD @SavanShahMD @RashidLui @Sarbaji85064063 @TiroshAmit @abbassmohd @pashtoonkasi @maur_jmp @KristenCiombor @CamilaBragancaX @HMAbushukair @sofiedemeulder @bowelcanceruk @OAranha_MDPHD @fireflyann @doctorC369 @peterneary7 @md_anusha 7/20 #TumorBoardTuesday @AnselmoBertetti @jaypsv #ColonCancer
Back to our case🔎
👩🏽Starts Trifluridine/Tipiracil + Bev
👍🏽Stable disease
🗓️PD after 3.5mo
⬆️pelvic LAD, liver mets
👍🏽Good PS
👩🏽 PT preference to cont TX
🤨What do you offer next?
Back to our case🔎
👩🏽Starts Trifluridine/Tipiracil + Bev
👍🏽Stable disease
🗓️PD after 3.5mo
⬆️pelvic LAD, liver mets
👍🏽Good PS
👩🏽 PT preference to cont TX
🤨What do you offer next?
@TumorBoardTues @AnwaarSaeed3 @MPishvaian @JohnEbbenMDPhD @FightCRC @Dr_Ivanoncologo @CathyEngMD @jonathanloree @OncoThor @GIcancerDoc @skopetz @erikamartin3lli @adasarimd @DrPipDunne @JamesClearyMD @manjuggm @ronanhsieh @DrKatePedersen @FASinicropeMD @smitha42 @KevinCalsina @HosseinTaghiz11 @benweinbergmd @KimmieNgMD @WuGiOnc @samirguptaGI @FogacciJoao @JoaquinCubiella @LumirKunovsky @JasenMackie @ShimaghavimiMD @SavanShahMD @RashidLui @Sarbaji85064063 @TiroshAmit @abbassmohd @pashtoonkasi @maur_jmp @KristenCiombor @CamilaBragancaX @HMAbushukair @sofiedemeulder @bowelcanceruk @OAranha_MDPHD @fireflyann @doctorC369 @peterneary7 @md_anusha @AnselmoBertetti @jaypsv 8/20 #TumorBoardTuesday
👩🏽🏫Mini tweetorial 5👨🏻🏫
✨CORRECT
💊Regorafenib
📍Multi-kinase inh w/ VEGF🚫
💉160mg 3wk on/1wk off
🆚Placebo
📉OS 6.4 v 5.0 mo
📈PFS 1.9 v 1.7 mo
🔹ORR 1.0% v 0.4%
🔸G3/4 AE 54% v 14%
📍AE
✋
🥱fatigue
🚽diarrhea
🫀HTN
📚thelancet.com
👩🏽🏫Mini tweetorial 5👨🏻🏫
✨CORRECT
💊Regorafenib
📍Multi-kinase inh w/ VEGF🚫
💉160mg 3wk on/1wk off
🆚Placebo
📉OS 6.4 v 5.0 mo
📈PFS 1.9 v 1.7 mo
🔹ORR 1.0% v 0.4%
🔸G3/4 AE 54% v 14%
📍AE
✋
🥱fatigue
🚽diarrhea
🫀HTN
📚thelancet.com
@TumorBoardTues @AnwaarSaeed3 @MPishvaian @JohnEbbenMDPhD @FightCRC @Dr_Ivanoncologo @CathyEngMD @jonathanloree @OncoThor @GIcancerDoc @skopetz @erikamartin3lli @adasarimd @DrPipDunne @JamesClearyMD @manjuggm @ronanhsieh @DrKatePedersen @FASinicropeMD @smitha42 @KevinCalsina @HosseinTaghiz11 @benweinbergmd @KimmieNgMD @WuGiOnc @samirguptaGI @FogacciJoao @JoaquinCubiella @LumirKunovsky @JasenMackie @ShimaghavimiMD @SavanShahMD @RashidLui @Sarbaji85064063 @TiroshAmit @abbassmohd @pashtoonkasi @maur_jmp @KristenCiombor @CamilaBragancaX @HMAbushukair @sofiedemeulder @bowelcanceruk @OAranha_MDPHD @fireflyann @doctorC369 @peterneary7 @md_anusha @AnselmoBertetti 9/20 #TumorBoardTuesday
👩🏽🏫Mini tweetorial 6👨🏻🏫
✨ReDOS
📌Regorafenib
📆tox starts early, improves over time
📍Alternate dosing
💉Start 80mg ⬆️40mg/wk up to 160mg
⬆️ Pts completing C3 🆚STD 160mg
📚@GIcancerDoc thelancet.com
📚#JuanManuelOConnor theoncologist.onlinelibrary.wiley.com
👩🏽🏫Mini tweetorial 6👨🏻🏫
✨ReDOS
📌Regorafenib
📆tox starts early, improves over time
📍Alternate dosing
💉Start 80mg ⬆️40mg/wk up to 160mg
⬆️ Pts completing C3 🆚STD 160mg
📚@GIcancerDoc thelancet.com
📚#JuanManuelOConnor theoncologist.onlinelibrary.wiley.com
theoncologist.onlinelibrary.wiley.com/doi/10.1002/on…
Optimizing Regorafenib Dosing and Patient Management in Colorectal Cancer in Latin America: Perspectives from Argentina
The Oncologist is committed to helping physicians excel in the constantly changing fields of oncolog...
thelancet.com/journals/lanon…
Regorafenib dose-optimisation in patients with refractory metastatic colorectal cancer (ReDOS): a randomised, multicentre, open-label, phase 2 study
The dose-escalation dosing strategy represents an alternative approach for optimising regorafenib do...
@TumorBoardTues @AnwaarSaeed3 @MPishvaian @JohnEbbenMDPhD @FightCRC @Dr_Ivanoncologo @CathyEngMD @jonathanloree @OncoThor @GIcancerDoc @skopetz @erikamartin3lli @adasarimd @DrPipDunne @JamesClearyMD @manjuggm @ronanhsieh @DrKatePedersen @FASinicropeMD @smitha42 @KevinCalsina @HosseinTaghiz11 @benweinbergmd @KimmieNgMD @WuGiOnc @samirguptaGI @FogacciJoao @JoaquinCubiella @LumirKunovsky @JasenMackie @ShimaghavimiMD @SavanShahMD @RashidLui @Sarbaji85064063 @TiroshAmit @abbassmohd @pashtoonkasi @maur_jmp @KristenCiombor @CamilaBragancaX @HMAbushukair @sofiedemeulder @bowelcanceruk @OAranha_MDPHD @fireflyann @doctorC369 @peterneary7 @md_anusha @AnselmoBertetti 10a/20 #TumorBoardTuesday #ColonCancer
👩🏽🏫Mini tweetorial 7👨🏻🏫
📌Additional strategies for refractory mCRC
🤼Chemo rechallenge (ex oxaliplatin/irinotecan)
🔙Based on clinical experience, retrospective data
☣️Tox limiting
📈PFS >6 mo on prior Tx
🔹Heterogeneous outcomes (RR 6-31%)
👩🏽🏫Mini tweetorial 7👨🏻🏫
📌Additional strategies for refractory mCRC
🤼Chemo rechallenge (ex oxaliplatin/irinotecan)
🔙Based on clinical experience, retrospective data
☣️Tox limiting
📈PFS >6 mo on prior Tx
🔹Heterogeneous outcomes (RR 6-31%)
@TumorBoardTues @AnwaarSaeed3 @MPishvaian @JohnEbbenMDPhD @FightCRC @Dr_Ivanoncologo @CathyEngMD @jonathanloree @OncoThor @GIcancerDoc @skopetz @erikamartin3lli @adasarimd @DrPipDunne @JamesClearyMD @manjuggm @ronanhsieh @DrKatePedersen @FASinicropeMD @smitha42 @KevinCalsina @HosseinTaghiz11 @benweinbergmd @KimmieNgMD @WuGiOnc @samirguptaGI @FogacciJoao @JoaquinCubiella @LumirKunovsky @JasenMackie @ShimaghavimiMD @SavanShahMD @RashidLui @Sarbaji85064063 @TiroshAmit @abbassmohd @pashtoonkasi @maur_jmp @KristenCiombor @CamilaBragancaX @HMAbushukair @sofiedemeulder @bowelcanceruk @OAranha_MDPHD @fireflyann @doctorC369 @peterneary7 @md_anusha 10b/20 #TumorBoardTuesday #ColonCancer
📌 Additional strategies for refractory mCRC resources
📚#TalitaCosta linkinghub.elsevier.com
📚@Alessio_Amatu mdpi.com
📚@GianlucaMauri1 linkinghub.elsevier.com
📌 Additional strategies for refractory mCRC resources
📚#TalitaCosta linkinghub.elsevier.com
📚@Alessio_Amatu mdpi.com
📚@GianlucaMauri1 linkinghub.elsevier.com
mdpi.com/2072-6694/14/5…
Efficacy of Retreatment with Oxaliplatin-Based Regimens in Metastatic Colorectal Cancer Patients: The RETROX-CRC Retrospective Study
Background: oxaliplatin with fluoropyrimidine is a “mainstay” regarding the upfront treatment of met...
linkinghub.elsevier.com/retrieve/pii/S…
Oxaliplatin retreatment in metastatic colorectal cancer: Systematic review and future research opportunities
Oxaliplatin represents a main component of cytotoxic treatment regimens in colorectal cancer (CRC)....
linkinghub.elsevier.com/retrieve/pii/S…
REOX: Evaluation of the Efficacy of Retreatment With an Oxaliplatin-containing Regimen in Metastatic Colorectal Cancer: A Retrospective Single-center Study
Treatment of metastatic colorectal adenocarcinoma (mCRC) has evolved, and survival is over 30 months...
@TumorBoardTues @AnwaarSaeed3 @MPishvaian @JohnEbbenMDPhD @FightCRC @Dr_Ivanoncologo @CathyEngMD @jonathanloree @OncoThor @GIcancerDoc @skopetz @erikamartin3lli @adasarimd @DrPipDunne @JamesClearyMD @manjuggm @ronanhsieh @DrKatePedersen @FASinicropeMD @smitha42 @KevinCalsina @HosseinTaghiz11 @benweinbergmd @KimmieNgMD @WuGiOnc @samirguptaGI @FogacciJoao @JoaquinCubiella @LumirKunovsky @JasenMackie @ShimaghavimiMD @SavanShahMD @RashidLui @Sarbaji85064063 @TiroshAmit @abbassmohd @pashtoonkasi @maur_jmp @KristenCiombor @CamilaBragancaX @HMAbushukair @sofiedemeulder @bowelcanceruk @OAranha_MDPHD @fireflyann @doctorC369 @peterneary7 @md_anusha 11/20 #TumorBoardTuesday #CRCSM
👩🏽🏫Mini tweetorial 8👨🏻🏫
📌EGFR rechallenge
📍Acquired resistance mechanisms limit EGFR efficacy
🛑After stopping EGFRi
🫧RAS muts clones ⬇️ ½ life 4 mo
🫧RAS WT clones ⬆️
📈PFS >6 mo on prior EGFR
📚@michael_overman @skopetz annalsofoncology.org
👩🏽🏫Mini tweetorial 8👨🏻🏫
📌EGFR rechallenge
📍Acquired resistance mechanisms limit EGFR efficacy
🛑After stopping EGFRi
🫧RAS muts clones ⬇️ ½ life 4 mo
🫧RAS WT clones ⬆️
📈PFS >6 mo on prior EGFR
📚@michael_overman @skopetz annalsofoncology.org
@TumorBoardTues @AnwaarSaeed3 @MPishvaian @JohnEbbenMDPhD @FightCRC @Dr_Ivanoncologo @CathyEngMD @jonathanloree @OncoThor @GIcancerDoc @skopetz @erikamartin3lli @adasarimd @DrPipDunne @JamesClearyMD @manjuggm @ronanhsieh @DrKatePedersen @FASinicropeMD @smitha42 @KevinCalsina @HosseinTaghiz11 @benweinbergmd @KimmieNgMD @WuGiOnc @samirguptaGI @FogacciJoao @JoaquinCubiella @LumirKunovsky @JasenMackie @ShimaghavimiMD @SavanShahMD @RashidLui @Sarbaji85064063 @TiroshAmit @abbassmohd @pashtoonkasi @maur_jmp @KristenCiombor @CamilaBragancaX @HMAbushukair @sofiedemeulder @bowelcanceruk @OAranha_MDPHD @fireflyann @doctorC369 @peterneary7 @md_anusha @michael_overman 12/20 #TumorBoardTuesday #CRCSM #ColonCancer
👩🏽🏫Mini tweetorial 9👨🏻🏫
✨CRICKET
📍Phase 2
💉Cetuximab + Irinotecan
🔹RR 21%
🔹DCR 54%
📚@ChiaraCrem1 jamanetwork.com
👩🏽🏫Mini tweetorial 9👨🏻🏫
✨CRICKET
📍Phase 2
💉Cetuximab + Irinotecan
🔹RR 21%
🔹DCR 54%
📚@ChiaraCrem1 jamanetwork.com
@TumorBoardTues @AnwaarSaeed3 @MPishvaian @JohnEbbenMDPhD @FightCRC @Dr_Ivanoncologo @CathyEngMD @jonathanloree @OncoThor @GIcancerDoc @skopetz @erikamartin3lli @adasarimd @DrPipDunne @JamesClearyMD @manjuggm @ronanhsieh @DrKatePedersen @FASinicropeMD @smitha42 @KevinCalsina @HosseinTaghiz11 @benweinbergmd @KimmieNgMD @WuGiOnc @samirguptaGI @FogacciJoao @JoaquinCubiella @LumirKunovsky @JasenMackie @ShimaghavimiMD @SavanShahMD @RashidLui @Sarbaji85064063 @TiroshAmit @abbassmohd @pashtoonkasi @maur_jmp @KristenCiombor @CamilaBragancaX @HMAbushukair @sofiedemeulder @bowelcanceruk @OAranha_MDPHD @fireflyann @doctorC369 @peterneary7 @md_anusha @michael_overman 13/20 #TumorBoardTuesday #CRCSM #ColonCancer
👩🏽🏫Mini tweetorial 10👨🏻🏫
✨CHRONOS
📍Phase 2
💉Panitumumab
🧍Patient selection based on no resistance mutations on ctDNA
🔹RR 30%
🔹DCR 63%
📚@andrea_sart nature.com
👩🏽🏫Mini tweetorial 10👨🏻🏫
✨CHRONOS
📍Phase 2
💉Panitumumab
🧍Patient selection based on no resistance mutations on ctDNA
🔹RR 30%
🔹DCR 63%
📚@andrea_sart nature.com
@TumorBoardTues @AnwaarSaeed3 @MPishvaian @JohnEbbenMDPhD @FightCRC @Dr_Ivanoncologo @CathyEngMD @jonathanloree @OncoThor @GIcancerDoc @skopetz @erikamartin3lli @adasarimd @DrPipDunne @JamesClearyMD @manjuggm @ronanhsieh @DrKatePedersen @FASinicropeMD @smitha42 @KevinCalsina @HosseinTaghiz11 @benweinbergmd @KimmieNgMD @WuGiOnc @samirguptaGI @FogacciJoao @JoaquinCubiella @LumirKunovsky @JasenMackie @ShimaghavimiMD @SavanShahMD @RashidLui @Sarbaji85064063 @TiroshAmit @abbassmohd @pashtoonkasi @maur_jmp @KristenCiombor @CamilaBragancaX @HMAbushukair @sofiedemeulder @bowelcanceruk @OAranha_MDPHD @fireflyann @doctorC369 @peterneary7 @md_anusha @michael_overman 14/20 #TumorBoardTuesday #CRCSM #ColonCancer
👩🏽🏫Mini tweetorial 11👨🏻🏫
✨CAVE
📍Phase 2
💉Cetuximab + Avelumab
🔹RR 7.8%
🔹DCR 65%
📚@erikamartin3lli jamanetwork.com
👩🏽🏫Mini tweetorial 11👨🏻🏫
✨CAVE
📍Phase 2
💉Cetuximab + Avelumab
🔹RR 7.8%
🔹DCR 65%
📚@erikamartin3lli jamanetwork.com
@TumorBoardTues @AnwaarSaeed3 @MPishvaian @JohnEbbenMDPhD @FightCRC @Dr_Ivanoncologo @CathyEngMD @jonathanloree @OncoThor @GIcancerDoc @skopetz @erikamartin3lli @adasarimd @DrPipDunne @JamesClearyMD @manjuggm @ronanhsieh @DrKatePedersen @FASinicropeMD @smitha42 @KevinCalsina @HosseinTaghiz11 @benweinbergmd @KimmieNgMD @WuGiOnc @samirguptaGI @FogacciJoao @JoaquinCubiella @LumirKunovsky @JasenMackie @ShimaghavimiMD @SavanShahMD @RashidLui @Sarbaji85064063 @TiroshAmit @abbassmohd @pashtoonkasi @maur_jmp @KristenCiombor @CamilaBragancaX @HMAbushukair @sofiedemeulder @bowelcanceruk @OAranha_MDPHD @fireflyann @doctorC369 @peterneary7 @md_anusha @michael_overman 15/20 #TumorBoardTuesday #CRCSM #ColonCancer
👩🏽🏫Mini tweetorial 12👨🏻🏫
✨VELO
🎲Randomized
📍Phase 2
💉Panitumumab + TAS-102 vs TAS-102
📈mPFS 4.0 vs 2.5 months (HR 0.48, 95% CI 0.28-0.82)
📈6 mon PFS 38.5% vs 13%
🔹G3/4 AE 51.6% vs 29%
📚@napolitano_ste jamanetwork.com
👩🏽🏫Mini tweetorial 12👨🏻🏫
✨VELO
🎲Randomized
📍Phase 2
💉Panitumumab + TAS-102 vs TAS-102
📈mPFS 4.0 vs 2.5 months (HR 0.48, 95% CI 0.28-0.82)
📈6 mon PFS 38.5% vs 13%
🔹G3/4 AE 51.6% vs 29%
📚@napolitano_ste jamanetwork.com
@TumorBoardTues @AnwaarSaeed3 @MPishvaian @JohnEbbenMDPhD @FightCRC @Dr_Ivanoncologo @CathyEngMD @jonathanloree @OncoThor @GIcancerDoc @skopetz @erikamartin3lli @adasarimd @DrPipDunne @JamesClearyMD @manjuggm @ronanhsieh @DrKatePedersen @FASinicropeMD @smitha42 @KevinCalsina @HosseinTaghiz11 @benweinbergmd @KimmieNgMD @WuGiOnc @samirguptaGI @FogacciJoao @JoaquinCubiella @LumirKunovsky @JasenMackie @ShimaghavimiMD @SavanShahMD @RashidLui @Sarbaji85064063 @TiroshAmit @abbassmohd @pashtoonkasi @maur_jmp @KristenCiombor @CamilaBragancaX @HMAbushukair @sofiedemeulder @bowelcanceruk @OAranha_MDPHD @fireflyann @doctorC369 @peterneary7 @md_anusha @michael_overman @napolitano_ste 16/20 #TumorBoardTuesday
👩🏽🏫Mini tweetorial 13👨🏻🏫
✨FRESCO-2
💊Fruquintinib
📍VEGFR-TKI
🆚Placebo
✅Prev regoraf/TAS-102
📉OS 7.4 v 4.8 mo
🔹ORR 2 v 0%
🔸G3/4 AE 63 v 50%
📍AE
🫀HTN
✋
😮💨
📚thelancet.com
👩🏽🏫Mini tweetorial 13👨🏻🏫
✨FRESCO-2
💊Fruquintinib
📍VEGFR-TKI
🆚Placebo
✅Prev regoraf/TAS-102
📉OS 7.4 v 4.8 mo
🔹ORR 2 v 0%
🔸G3/4 AE 63 v 50%
📍AE
🫀HTN
✋
😮💨
📚thelancet.com
@TumorBoardTues @AnwaarSaeed3 @MPishvaian @JohnEbbenMDPhD @FightCRC @Dr_Ivanoncologo @CathyEngMD @jonathanloree @OncoThor @GIcancerDoc @skopetz @erikamartin3lli @adasarimd @DrPipDunne @JamesClearyMD @manjuggm @ronanhsieh @DrKatePedersen @FASinicropeMD @smitha42 @KevinCalsina @HosseinTaghiz11 @benweinbergmd @KimmieNgMD @WuGiOnc @samirguptaGI @FogacciJoao @JoaquinCubiella @LumirKunovsky @JasenMackie @ShimaghavimiMD @SavanShahMD @RashidLui @Sarbaji85064063 @TiroshAmit @abbassmohd @pashtoonkasi @maur_jmp @KristenCiombor @CamilaBragancaX @HMAbushukair @sofiedemeulder @bowelcanceruk @OAranha_MDPHD @fireflyann @doctorC369 @peterneary7 @md_anusha @michael_overman @napolitano_ste 17/20 #TumorBoardTuesday #CRCSM #ColonCancer
💊 Fruquintinib
📌 Priority review granted by FDA 2023
📌 Potential new option in the near future
📰 takeda.com
💊 Fruquintinib
📌 Priority review granted by FDA 2023
📌 Potential new option in the near future
📰 takeda.com
@TumorBoardTues @AnwaarSaeed3 @MPishvaian @JohnEbbenMDPhD @FightCRC @Dr_Ivanoncologo @CathyEngMD @jonathanloree @OncoThor @GIcancerDoc @skopetz @erikamartin3lli @adasarimd @DrPipDunne @JamesClearyMD @manjuggm @ronanhsieh @DrKatePedersen @FASinicropeMD @smitha42 @KevinCalsina @HosseinTaghiz11 @benweinbergmd @KimmieNgMD @WuGiOnc @samirguptaGI @FogacciJoao @JoaquinCubiella @LumirKunovsky @JasenMackie @ShimaghavimiMD @SavanShahMD @RashidLui @Sarbaji85064063 @TiroshAmit @abbassmohd @pashtoonkasi @maur_jmp @KristenCiombor @CamilaBragancaX @HMAbushukair @sofiedemeulder @bowelcanceruk @OAranha_MDPHD @fireflyann @doctorC369 @peterneary7 @md_anusha @michael_overman @napolitano_ste 18/20 #TumorBoardTuesday #CRCSM #ColonCancer
👩🏽🏫Mini tweetorial 14👨🏻🏫
📌Choose & sequence
❌No prospective head to head or sequencing
☣️Toxicity profiles
☣️Residual prior toxicity
👩🏽Patient preference
💉Prior response to chemo/EGFR
👩🏽🏫Mini tweetorial 14👨🏻🏫
📌Choose & sequence
❌No prospective head to head or sequencing
☣️Toxicity profiles
☣️Residual prior toxicity
👩🏽Patient preference
💉Prior response to chemo/EGFR
@TumorBoardTues @AnwaarSaeed3 @MPishvaian @JohnEbbenMDPhD @FightCRC @Dr_Ivanoncologo @CathyEngMD @jonathanloree @OncoThor @GIcancerDoc @skopetz @erikamartin3lli @adasarimd @DrPipDunne @JamesClearyMD @manjuggm @ronanhsieh @DrKatePedersen @FASinicropeMD @smitha42 @KevinCalsina @HosseinTaghiz11 @benweinbergmd @KimmieNgMD @WuGiOnc @samirguptaGI @FogacciJoao @JoaquinCubiella @LumirKunovsky @JasenMackie @ShimaghavimiMD @SavanShahMD @RashidLui @Sarbaji85064063 @TiroshAmit @abbassmohd @pashtoonkasi @maur_jmp @KristenCiombor @CamilaBragancaX @HMAbushukair @sofiedemeulder @bowelcanceruk @OAranha_MDPHD @fireflyann @doctorC369 @peterneary7 @md_anusha @michael_overman @napolitano_ste 19/20 #TumorBoardTuesday #ColonCancer
👩🏽🏫Mini tweetorial 15👨🏻🏫
📌Immune Checkpoint Inhibitor
❌Response to ICI alone in pMMR/MSS mCRC
🧊Immune-cold TME
🧑🔬Ongoing studies to make 🥶 🔀🔥TME ➡️ Combination ICI
⚡️Unmet need & active area of research⚡️
📚nature.com
👩🏽🏫Mini tweetorial 15👨🏻🏫
📌Immune Checkpoint Inhibitor
❌Response to ICI alone in pMMR/MSS mCRC
🧊Immune-cold TME
🧑🔬Ongoing studies to make 🥶 🔀🔥TME ➡️ Combination ICI
⚡️Unmet need & active area of research⚡️
📚nature.com
@TumorBoardTues @AnwaarSaeed3 @MPishvaian @JohnEbbenMDPhD @FightCRC @Dr_Ivanoncologo @CathyEngMD @jonathanloree @OncoThor @GIcancerDoc @skopetz @erikamartin3lli @adasarimd @DrPipDunne @JamesClearyMD @manjuggm @ronanhsieh @DrKatePedersen @FASinicropeMD @smitha42 @KevinCalsina @HosseinTaghiz11 @benweinbergmd @KimmieNgMD @WuGiOnc @samirguptaGI @FogacciJoao @JoaquinCubiella @LumirKunovsky @JasenMackie @ShimaghavimiMD @SavanShahMD @RashidLui @Sarbaji85064063 @TiroshAmit @abbassmohd @pashtoonkasi @maur_jmp @KristenCiombor @CamilaBragancaX @HMAbushukair @sofiedemeulder @bowelcanceruk @OAranha_MDPHD @fireflyann @doctorC369 @peterneary7 @md_anusha @michael_overman 20/20 #TumorBoardTuesday
Back to our case 🔎
👩🏽 Starts regorafenib 80mg
✋ Clobetasol 0.05% for HFS
✋ Pre-emptive > Reactive
🙏🏼 Achieved stable disease
📚@GIcancerDoc theoncologist.onlinelibrary.wiley.com
Back to our case 🔎
👩🏽 Starts regorafenib 80mg
✋ Clobetasol 0.05% for HFS
✋ Pre-emptive > Reactive
🙏🏼 Achieved stable disease
📚@GIcancerDoc theoncologist.onlinelibrary.wiley.com
@TumorBoardTues @AnwaarSaeed3 @MPishvaian @JohnEbbenMDPhD @FightCRC @Dr_Ivanoncologo @CathyEngMD @jonathanloree @OncoThor @GIcancerDoc @skopetz @erikamartin3lli @adasarimd @DrPipDunne @JamesClearyMD @manjuggm @ronanhsieh @DrKatePedersen @FASinicropeMD @smitha42 @KevinCalsina @HosseinTaghiz11 @benweinbergmd @KimmieNgMD @WuGiOnc @samirguptaGI @FogacciJoao @JoaquinCubiella @LumirKunovsky @JasenMackie @ShimaghavimiMD @SavanShahMD @RashidLui @Sarbaji85064063 @TiroshAmit @abbassmohd @pashtoonkasi @maur_jmp @KristenCiombor @CamilaBragancaX @HMAbushukair @sofiedemeulder @bowelcanceruk @OAranha_MDPHD @fireflyann @doctorC369 @peterneary7 @md_anusha 👉🏽#CME Eval 🔗 integrityce.com
🤔@AnwaarSaeed3 @rprobinpark taught us therapies beyond 3L for #ColonCancer, test yourself
🤔What 3L?
58yo👩🏿🦱
met colon adenocarcinoma
no actionable mut
🗓️<6mo
🩻PD after FOLFOX + cetux (neuropathy) & FOLFIRI + BEV
🤔@AnwaarSaeed3 @rprobinpark taught us therapies beyond 3L for #ColonCancer, test yourself
🤔What 3L?
58yo👩🏿🦱
met colon adenocarcinoma
no actionable mut
🗓️<6mo
🩻PD after FOLFOX + cetux (neuropathy) & FOLFIRI + BEV
@TumorBoardTues @AnwaarSaeed3 @MPishvaian @JohnEbbenMDPhD @FightCRC @Dr_Ivanoncologo @CathyEngMD @jonathanloree @OncoThor @GIcancerDoc @skopetz @erikamartin3lli @adasarimd @DrPipDunne @JamesClearyMD @manjuggm @ronanhsieh @DrKatePedersen @FASinicropeMD @smitha42 @KevinCalsina @HosseinTaghiz11 @benweinbergmd @KimmieNgMD @WuGiOnc @samirguptaGI @FogacciJoao @JoaquinCubiella @LumirKunovsky @JasenMackie @ShimaghavimiMD @SavanShahMD @RashidLui @Sarbaji85064063 @TiroshAmit @abbassmohd @pashtoonkasi @maur_jmp @KristenCiombor @CamilaBragancaX @HMAbushukair @sofiedemeulder @bowelcanceruk @OAranha_MDPHD @fireflyann @doctorC369 @peterneary7 @md_anusha #PostTest Q2️⃣ #TumorBoardTuesday
👉🏽 Free CME 🔗 integrityce.com
🧐For the above 👆🏽 58yo 👩🏿🦱
Which investigational treatment may be appropriate 4L & has shown an OS benefit against placebo
👩🏿🦱 met colon adenoCA
🩻 now PD, after SD briefly on 3L regorafenib
👉🏽 Free CME 🔗 integrityce.com
🧐For the above 👆🏽 58yo 👩🏿🦱
Which investigational treatment may be appropriate 4L & has shown an OS benefit against placebo
👩🏿🦱 met colon adenoCA
🩻 now PD, after SD briefly on 3L regorafenib
جاري تحميل الاقتراحات...