You are a young #medicine resident !!
A patient walks into your OPD and says he is absolutely fine but his CBC shows an ⤴️⤴️ platelet count
He's done multiple CBC and it howers between 600-800k 😮
He is worried about it 😕
What do you do ??
Read on 👇🏻👇🏻
#MedTwitter
1/13
A patient walks into your OPD and says he is absolutely fine but his CBC shows an ⤴️⤴️ platelet count
He's done multiple CBC and it howers between 600-800k 😮
He is worried about it 😕
What do you do ??
Read on 👇🏻👇🏻
#MedTwitter
1/13
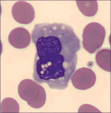
As always, review the smear 👇🏻
It can give you a lot of clues !!
You may see anything from ⤴️platelet numbers to blasts to features of iron deficiency to post-splenectomy findings on that 🙏🏻
#MedTwitter
2/13
It can give you a lot of clues !!
You may see anything from ⤴️platelet numbers to blasts to features of iron deficiency to post-splenectomy findings on that 🙏🏻
#MedTwitter
2/13
Let's list out the common causes of ⤴️⤴️platelets !!
1. Iron deficiency
2. Inflammation
3. Trauma
4. Infections
5. Myocardial infarction
6. Acute blood loss
And obviously MPN !
But don't jump to MPN and start sending out JAK, CALR, MPL !
Hold your horses🏇
#MedTwitter
5/13
1. Iron deficiency
2. Inflammation
3. Trauma
4. Infections
5. Myocardial infarction
6. Acute blood loss
And obviously MPN !
But don't jump to MPN and start sending out JAK, CALR, MPL !
Hold your horses🏇
#MedTwitter
5/13
The first thing I do !!
Rule out IRON DEFICIENCY. There may not always be anemia.
The first test you send when evaluating for ⤴️platelet is ferritin 🙏🏻
But why does iron deficiency l/t ⤴️ platelets?
#MedTwitter
6/13
Rule out IRON DEFICIENCY. There may not always be anemia.
The first test you send when evaluating for ⤴️platelet is ferritin 🙏🏻
But why does iron deficiency l/t ⤴️ platelets?
#MedTwitter
6/13
The answer lies in the image 👇🏻
⤵️Iron=⤴️ commitment of the MEP towards the megakaryocyte progen=⤴️Megakaryocyte progen=⤴️platelets.
Do read this paper to know more, it's awesome 👍🏻
ashpublications.org
#MedTwitter
7/13
⤵️Iron=⤴️ commitment of the MEP towards the megakaryocyte progen=⤴️Megakaryocyte progen=⤴️platelets.
Do read this paper to know more, it's awesome 👍🏻
ashpublications.org
#MedTwitter
7/13
This patient might just have an iron deficiency that's causing ⤴️platelets.
IDA might be the cause in 1/3 patients, it resolves within a couple of months of treatment of IDA.
Don't do this👇🏻
This guy doesn't need aspirin, he needs some iron !!
#MedTwitter
8/13
IDA might be the cause in 1/3 patients, it resolves within a couple of months of treatment of IDA.
Don't do this👇🏻
This guy doesn't need aspirin, he needs some iron !!
#MedTwitter
8/13
You are embarassed, the abdominal ultrasound that you ordered is back and the SPLEEN IS MISSING😂😂
You never asked him about the trauma he had 20yrs back, you missed the scar on examination aswell 😮
#MedTwitter
9/13
You never asked him about the trauma he had 20yrs back, you missed the scar on examination aswell 😮
#MedTwitter
9/13
Another day, another patient !!
This guy has a spleen, he isn't iron deficient, he has lost some weight over the last 6months and he says his hands BURN 🔥
His spleen is 3cm below costal margin.
You are sure it's an MPN 😭
What do you do next??
#MedTwitter
10/13
This guy has a spleen, he isn't iron deficient, he has lost some weight over the last 6months and he says his hands BURN 🔥
His spleen is 3cm below costal margin.
You are sure it's an MPN 😭
What do you do next??
#MedTwitter
10/13
Now you call a Hematologist 📞
They advise you to send an MPN reflex panel
What's that??
That's mutation analysis of JAK2, CALR, MPL !!
The patient has a CALR mutation !
This is essential thrombocythemia (ET) and is best managed by a #hematologist !
#MedTwitter
11/13
They advise you to send an MPN reflex panel
What's that??
That's mutation analysis of JAK2, CALR, MPL !!
The patient has a CALR mutation !
This is essential thrombocythemia (ET) and is best managed by a #hematologist !
#MedTwitter
11/13
Treatment of ET isn't all about ⤵️platelet counts.
Some need cytoreduction, some need just aspirin, some need nothing !!
Maybe another thread to explain all of that !!
#MedTwitter
12/13
Some need cytoreduction, some need just aspirin, some need nothing !!
Maybe another thread to explain all of that !!
#MedTwitter
12/13
Let's summarise:
Don't be scared by ⤴️platelet counts
Get a good history
Get a very good blood smear
Check if the spleen is present
Rule out iron deficiency
Lastly think of an MPN, this is when you involve your friendly hematologist🙏🏻
Thanks for reading this far!
#MedTwitter
Don't be scared by ⤴️platelet counts
Get a good history
Get a very good blood smear
Check if the spleen is present
Rule out iron deficiency
Lastly think of an MPN, this is when you involve your friendly hematologist🙏🏻
Thanks for reading this far!
#MedTwitter
جاري تحميل الاقتراحات...