OMAR N. ALESSA عمر العيسى
OMAR N. ALESSA عمر العيسى

@DrOmarNaje

10 تغريدة 33 قراءة Feb 21, 2023
حضرت سارة العيادة شاكية ألمًا- أقلقها جدًا-في أعلى الفخذ جانب الورك وخاصة عند بذل المجهود، والمشي الطويل، وعند النوم على جانبها ولكن مع الوقت ازداد الألم بالرغم من أخذها للمسكنات... قد يكون هذا الألم؛ بسبب التهاب الجراب المدوري trochantric bursitis
تابع التسلسل...
يسمى البروز العظمي في أعلى الفخذ جانبًا بالمدور الكبير، فالله خلق هناك كيس كالوسادة(جراب) يحتوي سائلًا يشبه الزيت؛ يمنع احتكاك الوتر بالعظم وأنسجة العضلة عند الحركة .
وعند حدوث حركات بأوضاع متكررة قد يلتهب هذا الكيس مسببًا ألمًا حادًا، وصعوبة عند الحركة.
يكون التحسن والعلاج عادة بأخذ المسكنات غير ستيرودية، وتمارين الاستطالة، والعلاج الطبيعي وأحيانًا بحقنة الكورتيزون الموضعية.
ملامح عامة:
-يكون أكثر لدى النساء العداءات.
-يكون أكثر شيوعًا عند التقدم في العمر.
-ممارسة الهوايات والمهن التي تحتاج إلى حركات متكررة، ويزيد معها الألم.
-حدوث ضربات متكررة على مكان الألم (البروز العظمي).
أعراضها:
١-ألم في الجزء الخارجي من الورك وأعلى الفخذ جانبًا.
٢-ألم عند الاستلقاء على الجانب المصاب.
٣-ألم عند الحركات المتكررة مثل: القيام من الكرسي، واستخدام السلالم أو الدرج، والخروج من السيارة والجري.
قد يكون من أسبابها:
-النوم جانبًا لمدة طويلة على سطح قاس.
-الرياضة بشكل عنيف مثل: المشي والجري.
-ضربة قوية سابقة على مكان الألم(الجراب).
يتم تشخيصها عادة بأخذ التاريخ المرضي والفحص السريري حيث أن وجود الألم في موضع الجراب المدوري يدل عادة على وجود هذا الالتهاب غير البكتيري.
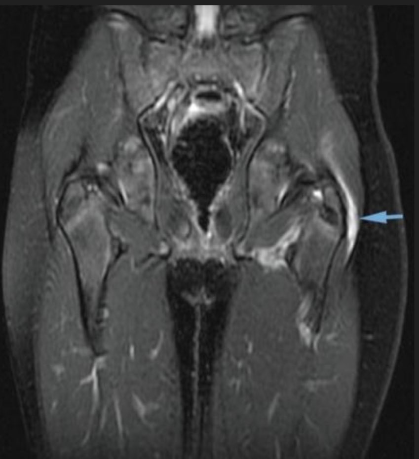
عادة ما تكون الأشعة السينية x ray سليمة، ولكن قد تظهر علامات هذا الالتهاب بالرنين المغناطيسي-السهم الأزرق-، والأشعة الصوتية.
العلاج غير الجراحي:
١-الراحة وتجنب أسباب الألم.
٢-كمادات ثلج.
٣-تمارين تمدد وزيادة ليونة العضلة بعد هدوء حدة الألم، وجلسات العلاج الطبيعي.
٤-مضادات الالتهاب غير الستيرودية.
اذا لم يحصل تحسن خلال فترة قد تكون إبرة الكورتيزون خيار جيد.
العلاج الجراحي: سواءً بالفتح الجراحي، أو بالمنظار.
نادرًا ما يلجأ الجراح؛ لإزالة الجراب المدوري الملتهب عند فشل العلاجات السابقة.

جاري تحميل الاقتراحات...