د. هيثم عسيري
د. هيثم عسيري

@_DrHaitham

7 تغريدة 6 قراءة Dec 25, 2022
السلام عليكم ورحمة الله وبركاته ومساء الخير باشرح لكم بطريقة مبسطة عن
STAMP TECHNIQUE
بطريقة الثريد والمعلومات اللي باكتبها من قوقل ومن اخواني واعزائي الدكاترة
@iMaghrabi94
@Ibrashehri
@Raed_dentist
اول شيء اعرف ان الـ
STAMP TECHNIQUE
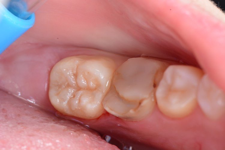
مو لكل الحالات الحالات واللي اللي تشتغل عليها هي فقط التسوس ع سطح واحد (CLASS I) مثل الصورة
الخطوة الثانية تاخذ
FLOWABLE COMPOSITE
وتحطه ع السن من فوق وبعدين
LIGHT CURE
وخذ الـ
MICROBRUSH
مثل الصورة وحط حولها مرا ثانية الـ
FLOWABLE COMPOSITE
و CURE
بعد الخطوات ذي كلها تأكد انه صار
SETTING
وبعدها حط علامة بطريقتك الخاصة عشان تعرف الـ BUCCAL من الـ LINGUAL
طيب كذا خلاص ابدأ وشيل التسوسات وبالطريقة المعروفة
ETCHING & BONDING
LIGHT CURE
تبدأ الان بوضع الحشوة واعملها بطريقتك ولكن انا افضل
FLOWABLE AND PACKABLE COMPOSITE
DUE TO REDUSE THE GAP
اهم شيء وتذكر تكون الحشوات ع مستوى معقول مو زايد او ناقص واعمل
CONDENSE AND ADAPTATIONS
الآن خلاص بطريقة حلوة وخفيفة خذ التيفلون تايب وحطها ع الحشوة وفوقها الستامب وضغط خفيف وانتبه للعلامة اللي وضعتها لا تعكس الاناتومي واعمل
LIGHT CURE
وبكذا انتهينا
FINISHING , POLISHING AND TAKE PIC.
وانتهينا ويارب استفدتوا واي اسئلة في خدمتكم سواء انا او باقي الدكاترة
@Raed_dentist
@iMaghrabi94
@Ibrashehri
هنا الخطوات ع هيئة صور باختصار ✨

جاري تحميل الاقتراحات...