Dr Ihab Suliman
Dr Ihab Suliman

@IhabFathiSulima

5 تغريدة 3 قراءة Dec 27, 2022
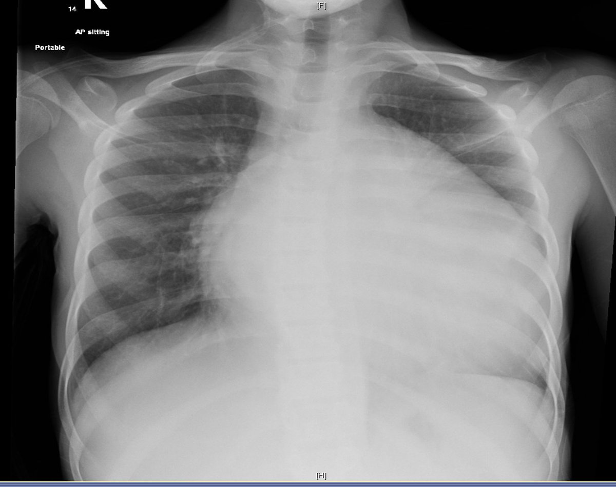
14 male with severe SOB.
THE ECHO didnot reveal any pericardial effusion.
What did the ECHO show ?
14 male with severe SOB.
THE ECHO didnot reveal any pericardial effusion.
What did the ECHO show ?
ECHO
BNP 3395, Normal Below 29.
Severe dilated cardiomyopathy.

جاري تحميل الاقتراحات...