كيف نركب rubber dam
#Dental_by_Hadeel
#Dental_by_Hadeel
✅ADVANTAGES✅
A two-
handed procedure so it doesn’t need any
assistance. Its biggest benefit is the
excellent operative field visibility during
placement. It can be implemented only
with single-bracket (premolars-molars)
and preferably wingless clamps.
A two-
handed procedure so it doesn’t need any
assistance. Its biggest benefit is the
excellent operative field visibility during
placement. It can be implemented only
with single-bracket (premolars-molars)
and preferably wingless clamps.
❌ DISADVANTAGES❌
Should the clamp unfasten during
placement, the risk of swallowing and/or
inhaling it is surely higher than with
other techniques.
Should the clamp unfasten during
placement, the risk of swallowing and/or
inhaling it is surely higher than with
other techniques.
Furthermore, to avoid
any kind of displacement the practitioner
should choose a stable clamp since it is
meant to undergo a severe strain during
sheet placement.
For these reasons the clamp should be fastened with a ligature.
any kind of displacement the practitioner
should choose a stable clamp since it is
meant to undergo a severe strain during
sheet placement.
For these reasons the clamp should be fastened with a ligature.
This technique cannot be implemented
with double-bracket clamps (for anterior
teeth) and the risk of sheet tearing is
higher when using winged clamps since
they are bigger and require a wider hole
stretching compared to wingless clamps.
with double-bracket clamps (for anterior
teeth) and the risk of sheet tearing is
higher when using winged clamps since
they are bigger and require a wider hole
stretching compared to wingless clamps.
⚠️CLINICAL CONSIDERATIONS⚠️
This technique is very comfortable
because once the clamp stability test is
done and the right clamp has been
chosen, the practitioner can leave it on
the tooth and proceed with rubber
sheet placement.
This technique is very comfortable
because once the clamp stability test is
done and the right clamp has been
chosen, the practitioner can leave it on
the tooth and proceed with rubber
sheet placement.
✅ADVANTAGES✅
A two-handed procedure
so it doesn’t need any assistance.
Moreover it is safe because, should the clamp
unfasten from the plier during placement, still it
would be engaged on the rubber sheet hole
without risks of being swallowed and/or inhaled
by the pt.
A two-handed procedure
so it doesn’t need any assistance.
Moreover it is safe because, should the clamp
unfasten from the plier during placement, still it
would be engaged on the rubber sheet hole
without risks of being swallowed and/or inhaled
by the pt.
Dam placement is very quick and
the patient does not feel the oral cavity invaded
by practitioner’s hands.
the patient does not feel the oral cavity invaded
by practitioner’s hands.
❌DISADVANTAGES❌
Using winged clamps is a necessary condition of
this technique. The main issue lies in limited
tooth visibility during clamping.
The practitioner can only see the tooth through
the hole the clamp is engaged to.
Using winged clamps is a necessary condition of
this technique. The main issue lies in limited
tooth visibility during clamping.
The practitioner can only see the tooth through
the hole the clamp is engaged to.
If the tooth is not well recognizable, an
inexperienced practitioner could clamp the
adjacent tooth by mistake.
inexperienced practitioner could clamp the
adjacent tooth by mistake.
⚠️CLINICAL CONSIDERATIONS⚠️
Wing procedure is very quick and minimally
invasive. For this reason it should be considered
the most suitable technique for patients with a
strong emetic reflex or who seem baffled by
dam usage.
Wing procedure is very quick and minimally
invasive. For this reason it should be considered
the most suitable technique for patients with a
strong emetic reflex or who seem baffled by
dam usage.
Limited visibility inherent to this
technique can cause the clamping of the wrong
tooth especially if the target tooth does not
have any distinguishing features.
technique can cause the clamping of the wrong
tooth especially if the target tooth does not
have any distinguishing features.
A tipo solve this
issue is“marking” the tooth by creating with the
turbine a slight cavity to be subsequently
completed after dam placement.
issue is“marking” the tooth by creating with the
turbine a slight cavity to be subsequently
completed after dam placement.
One operator, generally the assistant,
stretches the hole with his/her fingers
and places the dam directly into the oral
cavity by fitting the tooth through the
open gap. Now the dentist can clench
the tooth with the previously “armed”
clamp from the dedicated plier.
stretches the hole with his/her fingers
and places the dam directly into the oral
cavity by fitting the tooth through the
open gap. Now the dentist can clench
the tooth with the previously “armed”
clamp from the dedicated plier.
✅ADVANTAGES✅
The “rubber-first” technique is quick and
safe: if the clamp gets somehow
disengaged from the plier it falls on the
rubber sheet without being swallowed
and/or inhaled by the patient.
The “rubber-first” technique is quick and
safe: if the clamp gets somehow
disengaged from the plier it falls on the
rubber sheet without being swallowed
and/or inhaled by the patient.
Besides being suitable for every type of
clamp, this is the top procedure when
using double-bracket wingless clamps such as the 212 or 90N.
On top of that this is the ultimate technique also with latex-free dams.
clamp, this is the top procedure when
using double-bracket wingless clamps such as the 212 or 90N.
On top of that this is the ultimate technique also with latex-free dams.
❌DISADVANTAGES❌
The first issue is limited visibility of the
target tooth during placement, patient
discomfort due to the invasive action of
the assistant’s hands, who should
maintain the sheet low around the tooth
neck whilst waiting for the dentist to
place the clamp.
The first issue is limited visibility of the
target tooth during placement, patient
discomfort due to the invasive action of
the assistant’s hands, who should
maintain the sheet low around the tooth
neck whilst waiting for the dentist to
place the clamp.
✅ADVANTAGES✅
A two-handed procedure so it
doesn’t need assistance. Moreover it
is a safe technique because,should the
clamp get disengaged from the plier
during placement,still it remains engaged
on the rubber sheet hole without the risk
of being swallowed/inhaled by pt.
A two-handed procedure so it
doesn’t need assistance. Moreover it
is a safe technique because,should the
clamp get disengaged from the plier
during placement,still it remains engaged
on the rubber sheet hole without the risk
of being swallowed/inhaled by pt.
❌DISADVANTAGES❌
Wingless clamps are recommended.
Winged clamps - same design but bigger
– would force to apply a
strong tension on the sheet to make it slide under the wings,therefore
placement would be not so easy and the
risk of tearing the sheet would be higher.
Wingless clamps are recommended.
Winged clamps - same design but bigger
– would force to apply a
strong tension on the sheet to make it slide under the wings,therefore
placement would be not so easy and the
risk of tearing the sheet would be higher.
This procedure can't be implemented
with double-bracket anterior teeth
clamp. We do
not recommend to use this procedure
with latex-free dams because the
excessive twisting of the sheet while
sliding under the branches causes the
sheet structure to collapse.
with double-bracket anterior teeth
clamp. We do
not recommend to use this procedure
with latex-free dams because the
excessive twisting of the sheet while
sliding under the branches causes the
sheet structure to collapse.
⚠️CLINICAL CONSIDERATIONS⚠️
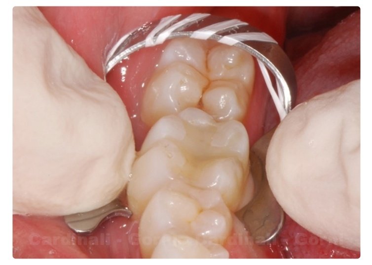
This technique allows the placement of
the sheet and clamp together under
optimal viewing conditions.
This technique allows the placement of
the sheet and clamp together under
optimal viewing conditions.
The bracket technique is also a desired
technique when the clamp must be placed
on the 2ed or 3ed lower molars and
the bracket is clearly pressing the
mucosae covering the mandibular ramus
during clamp testing, or when the clamp
must be placed on the 2ed upper
molars and
technique when the clamp must be placed
on the 2ed or 3ed lower molars and
the bracket is clearly pressing the
mucosae covering the mandibular ramus
during clamp testing, or when the clamp
must be placed on the 2ed upper
molars and
the bracket is clearly pressing
the mucosae covering the zygomatic
process of the upper jaw bone during
clamp testing
the mucosae covering the zygomatic
process of the upper jaw bone during
clamp testing
جاري تحميل الاقتراحات...