د. عبدالمجيد الفاخري (دكتور شبكية)
د. عبدالمجيد الفاخري (دكتور شبكية)

@AlFakhriA

8 تغريدة 2 قراءة Feb 09, 2023
#الذباب_الطائر ٢/٢
تكملة الثريد
- ماهي خطورته؟
- وش علاجه؟
- وهل راح تستمر الذبابة طول العمر؟
تكلمنا في الثريد السابق عن اسبابه وكيفية المرض وبعض التفاصيل بشكل مبسط في الثريد هنا
واليوم بنكمل الجزء الاخير
ماهي خطورته؟
اكبر خطورة هي في حال وجود مسبب للذباب الطائر خطر (مثل ثقوب الشبكية) فالتأخر في علاجها قد يسبب انفصال الشبكية وبالتالي فقدان النظر بشكل شبه كامل لاسمح الله ويتطلب عملية مستعجلة في غالب الحالات
وش علاجه؟
العلاج حسب السبب:
١. ثقوب الشبكية (ليزر)
٢. انفصال الشبكية (جراحة في الغالب)
٣. نزيف السائل الزجاجي (يختلف بحسب مسبب النزيف)
(يتبع)
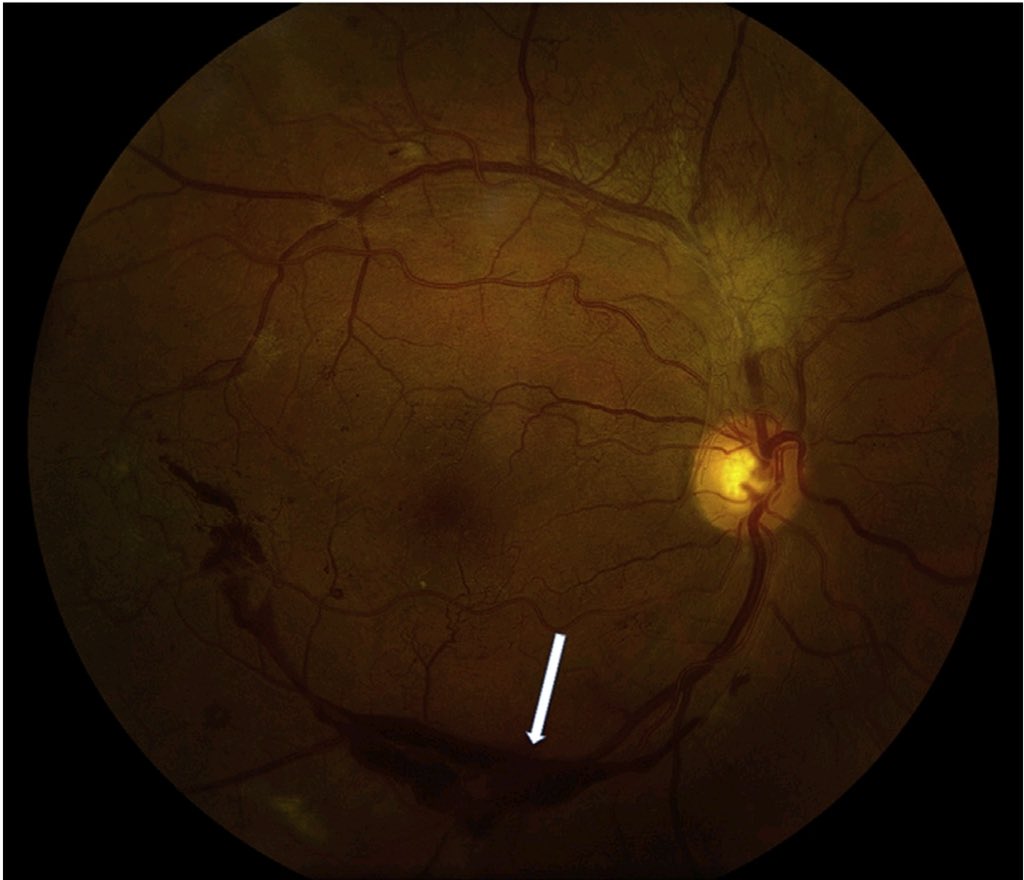
اذا استبعدنا هذي المسببات كلها وكان السبب تغيرات طبيعية في العين (انفصال السائل الزجاجي (مثل الصورة) ، او تجمّع بروتينات في السائل الزجاجي) في هذي الحالة نطمّن المراجع ان اموره طبيعية والمطلوب اهمال هذه الذبابة (يتبع)
- هل راح تستمر الذبابة الطائرة؟
في غالب الحالات الذباب الطائر يقلّ وضوحه قد يختفي بعد عدة اشهر او العقل يتعوّد عليه ويتجاهله تلقائياً
نسبة بسيطة من الناس قد يعاني اعراض شديدة بشكل مستمر تؤثر على حياته اليومية وعلى جودة الحياة
النصيحة الطبية: في حال سلامة الشبكية حاول تجنب / اهمال الذباب الطائر،
ولكن اذا كان شديد ومستمر لاكثر من ٦ اشهر ومؤثر على عملك / جودة الحياة قد تحتاج لزيارة طبيب شبكية لتقييم الشبكية ومناقشة الخيارات العلاجية (عملية جراحية او غيرها)
وبكذا نكون انتهينا من الموضوع، اتمنى اني غطيته بشكل كامل واي استفسارات او أسئلة حاضرين بالاجابة عنها هنا او عالخاص
(ما اجاوب على حالات شخصية، او تشخيص او علاج فقط الاستفسارات العامة شاكرين تفهمكم💐)

جاري تحميل الاقتراحات...