د. حمد بن سيف الهنائي
د. حمد بن سيف الهنائي

@HamedAlHinai4

4 تغريدة 1,200 قراءة Aug 01, 2022
- ما الفرق بين الأشعه السينيه (X-Ray ) والأشعة المقطعيه (CT-Scan) والرنين المغناطيسي (MRI ) ؟
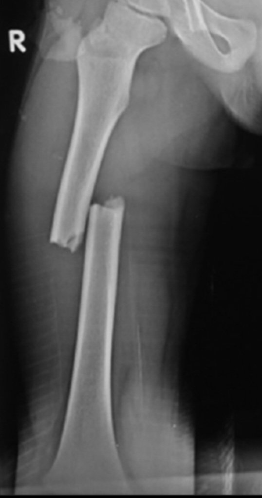
1- الأشعة السينية X-Ray:
- تستخدم للفحوصات الروتينية.
- سريعة وغير مكلفه ماديا.
- الأكثر شيوعًا ومتاح على نطاق واسع.
- تأخذ صورة ثنائية الأبعاد(2D).
- تستخدم في الإصابات لكشف الكسور.
- تستخدم ايضا لكشف الالتهاب الرئوي في الصدر وبعض الاورام السرطانية.
- نسبة الإشعاع بسيطة.
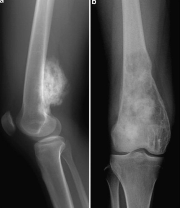
2- الأشعة المقطعية (CT-Scan):
- اكثر دقة من الأشعة السينية.
- تأخذ صورة ثلاثية الأبعاد (3D).
- تستخدم في تشخيص الحالات المرضية في
الأعضاء والأنسجة والعظام.
- تلتقط الصور بزاوية 360 درجة.
- أكثر شمولية من الأشعة السينية.
- الإشعاع أعلى من الاشعه السينية بأضعاف.
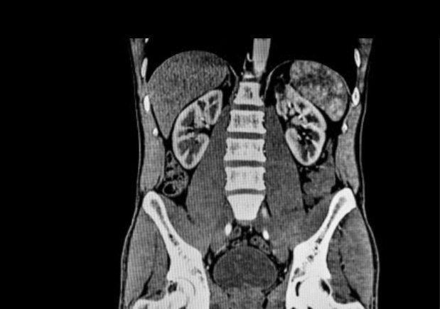
3- الرنين المغناطيسي( MRI):
-الأكثر دقة بين الاشعات في بعض الحالات.
-يأخذ صورة ثلاثية الأبعاد(3D).
-يستخدم في الحالات المرضية لى العمود الفقري والدماغ والعضلات والبطن.
-يستخدم مغناطيسًا قويًا وموجات الراديو في التصوير.
-لا يوجد إشعاع.
-مكلفة ماديا.
- تأخذ وقت أثناء التصوير.

جاري تحميل الاقتراحات...