21 تغريدة 25 قراءة Jul 18, 2022
شوية نصايح لل dental photography لحد ما ربنا يكرم وأصور فيديو عن الموضوع ... تابع ال thread
*مبدأياً كدا كل دا تصوير بالموبايل مش هتكلم عن تصوير الكاميرا*
١- الإضاءة ثم الإضاءة دى أهم حاجة تساعدك تطلع صورة واضحة مهما كانت جودة كاميرا تليفونك، ممكن تستغل ان ال dental unit جنب الشباك او تستخدم light ال unit نفسه، ممكن تستخدم فلاش الموبايل بس يكون فى وضع ثبات.. يعنى ايه؟ 1
يعنى فلاش الموبايل ميشتغلش وقت تصوير الصورة خطف وخلاص لا يكون شغال من قبل ما تلقط الصورة ولو معرفتش تعمل دا ممكن حد ينور لك بفلاش موبايله المهم بلاش الفلاش ال بيضرب مرة واحدة دا بيطلع صور سيئة جداً، لو تقدر تشترى رينج لايت صغير هيحققلك نتيجة ممتازة برضو 2
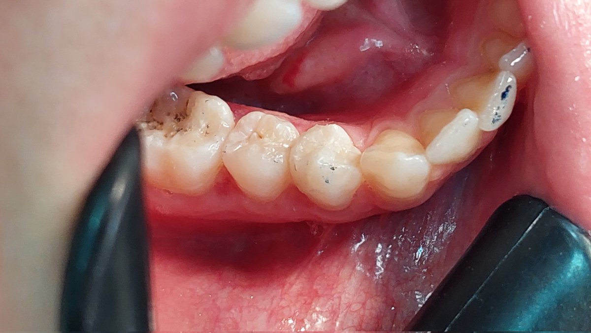
٢- ال dry field
قبل ما تصور أى حاجة تمسك ال air syringe بتاعتك وتنشف ال field كويس اوى، ولو شغال ب Rubber dam بقطنة وشيل اى debris او blood دا من ناحية هيحسن شكل الصورة ومن ناحية تانية هيبين تفاصيل شغلك ودا المطلوب (3)
الصبح نكمل بقا عشان عايز انام 😴(4)
صباح الخير .. نكمل (5)
3- ال retraction مهم جداً جداً فوق ما تتصور
شخصياً بفضل أستخدم ال retractors المنفصلة وأخلى ال patient يمسكها بنفسه أحسن من ال retractor ال بيشد الناحيتين مرة واحدة لأنه مش مريح لل patient وأجسن من انى استخدم mirror أو ايدى عشان أعرف أصور مرتاح وأسيب المهمة دى ع ال patient
ال retractors يستحسن يكون لونها أسود عشان لو ظهرت فالصورة بتدى شكل أحسن وبتوضح السنة ال بتصورها
4- لو عايز تشيل background وتخلى الصورة شكلها more profeasional .. يعنى عندك الصورة دى مثلا عشان تطلع بالشكل دا هتصورها على ازاز مكتب مثلا لونه اسود وهتحتاج اضاءة soft .. دا مش موجود فعيادة الكلية ف خد الحاجة صورها عند الشباك (الاضاءة من الشمس ممتازة) و ... (7)
وبعد ما تصورها ادخل على أبلكيشن اسمه photoroom وحدد ال object بتاعك وخلى باقى الصورة باللون اللى تحبه ... شخصياً بفضل اللون الأسود أو الأبيض أى لون تانى هيبقا شكله fake ومش مناسب (8)
5- لما تيجى تصور متصورش مرة واحدة وبس، ايدك ممكن تكون مهزوزة خاصة لو بعد شغل مرهق، صور اكتر من صورة وبكذا زاوية واعمل زووم ولو عندك ماكرو كاميرا ف موبايلك استخدمها .. ولما تصور الصورة اعملها crop لو باين فيها حاجة extra oral
*بص الفرق لما عملت crop و rotation بس* (9)
انا عايز اقول حااااجة حاااجة حاااجة
امسحوا الكاميرا كويس قبل التصوير بتفرق كتييييير اوى
حاسس التويت لها صدى ولسا عندى كلام أقوله ... نكمل؟ نكمل.
كل اللى فات دا وانت ماسك الموبايل وال settings كلها Auto .. كل اللى عليك تعمله لو مش مستعد تصور غير ب auto انك تقلل ال brightness شوية فالموبايل دا هيوضح معاك تفاصيل الصورة (10)
طيب انت بقا مش عاجبك ال auto وحابب ت simulate الكاميرا وإن كان دا عايز تدريب شوية عشان تبقا سريع ومتاخدش من وقت العيادة بتصور صور مش واضحة .. يبقا هتشتغل على ال pro mode وله اسامى مختلفة من موبايل للتانى .. تعالى نشرح ببساطة عبارة عن ايه(11)
ال pro mood بيديلك options اكتر من فكرة تعديل ال brightness عشان تطلع بأعلى كواليتى للصورة وتجيب اخر كاميرا الموبايل وهو دا ال هتتعمله فأى كورس له علاقة بال mobile dental photography
بس خلينا متفقين إن لو معكش light source محترم ارجع لل auto mode
(12)
من غير ما أدخلك فتفاصيل هقولك تأثير كل حاجة على الصورة ايه
ال iso اول حاجة، دا لو زاد اضاءة الصورة هتزيد ولو قل اضاءة الصورة هتقل بس تبقا عارف انها مش شطارة تعليه وتوضح الصورة اوى لأنه كل ما بيعلى كل ما ال noise هتعلى وجودة الصورة تقل (13)
تانى حاجة ال shutter speed دا اعتبره عكس ال iso كل ما يعلى كل ما اضاءة الصورة هتقل وعشان كدا قولتلك لازم مصدر اضاءة خارجى، وكل ما هيقل طبعا الاضاءة هتزيد بس دا فتصوير الاسنان مينفعش نقلله بزيادة عشان دا بالبلدى كدا سرعة لقط الصورة يعنى انت بتصور patient وارد جدا يتحرك ولو هزة (14
فلو انت مقلل ال shutter speed دا وقت اطول فان الكاميرا تلقط الصورة فالنتيجة هتطلع اضاءة محترمة بس صورة مهزوزة ف احنا عايزين نخطف الصورة بسرعة مسافة ما ندوس فبنعلى ال shutter speed قدر الإمكان (15)
تالت حاجة ال white balance دا ببساطة بيحرك الوان الصورة بتاعتك من درجات الاصفر لدرجات الازرق بتحاول وانت بتصور تقربه بحيث ان shade الاسنان فالصورة اقرب ما يمكن لل shade ال قدامك clinically ود. العنكيلى كان قال قبل كدا اظبطه على 5800k بس هى مش قاعدة يعنى (16)
تقريبا دا كل الى عندى ..ولو حاسس انك استفادت بحاجة retweet لغيرك🔄

جاري تحميل الاقتراحات...