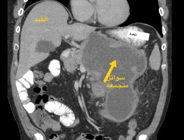
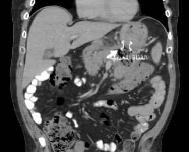
#مرض_من_العيادة (سلسلة توعوية اسبوعية)    مريض في ال ٥٠ من العمر يعاني من الم وانتفاخ في اعلى البطن. يشرب الخمور. سبق علاجه من التهابات البنكرياس النا 
    #مرض_من_العيادة (سلسلة توعوية اسبوعية)    مريض في ال ٥٠ من العمر يعاني من الم وانتفاخ في اعلى البطن. يشرب الخمور. سبق علاجه من التهابات البنكرياس النا