د. خالد الشموسي
د. خالد الشموسي

@DAlshmwsy

5 تغريدة Dec 09, 2022
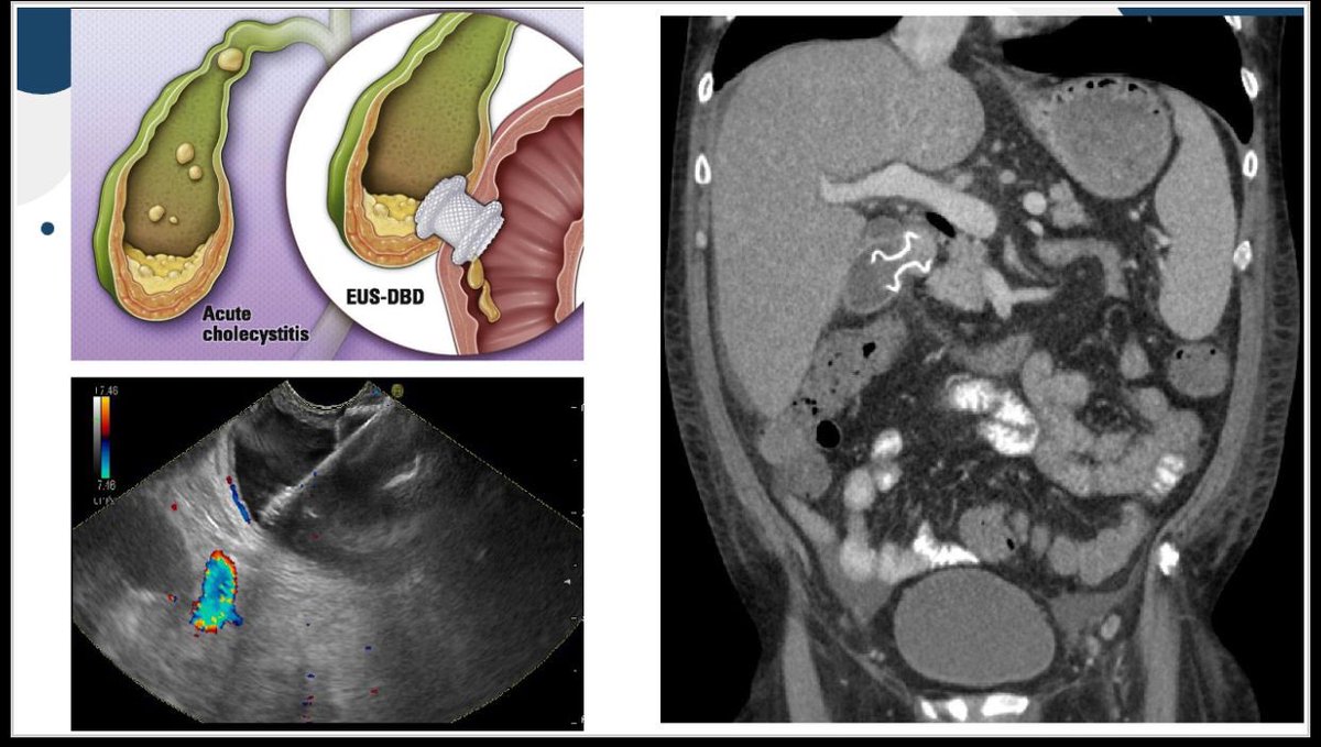
هذي الدعامة مهمة وضرورية في كل المستشفيات الرئيسية وسعرها اقل مقارنة بطول مدة العلاج وتكرار جلسات العلاج بالطرق التقليدية .. لو كان معي مصباح علاء الدين كنت طلبتها ثلاث مرات
طلبتها في كندا وجابوا لي ٣ دعامات خلال ٢٤ ساعة … اظن معهم المصباح السحري
تسخدم في علاج المرارة في حالة تعذر العمليات وكحل افضل بدل ثقب المرارة خارجيا
تسخدم في ازالة السوائل المتجمعة بسبب التهاب البنكرياس او الصديد في اعلى البطن بدل العملية
تستخدم في علاج انسداد اسفل المعدة نتيجة الاورام او الانسدادات الحميدة

جاري تحميل الاقتراحات...