ثريد||متعب
ثريد||متعب

@Th_MT3B

26 تغريدة 12 قراءة May 19, 2022
🛑 تغطية عاجلة…
دق ناقوس الخطر في مرض نادر يصيب الإنسان وهو جدري القردة التي اكتشف في بريطانيا منذ بداية مايو انتشار في دول العالم الذي يفهم من سرعة انتشاره الوباء الجديد بعد كورونا
تابعوا معي هذي التغطية وتحديثات العاجلة عن المرض…
في بداية الشهر الحالي رصدت بريطانيا الحالة الأولى لمرض جدري القرود كانت لشخص سافر في الآونة الأخيرة إلى نيجيريا حيث يُعتقد أنه أصيب بالعدوى، قبل العودة إلى بريطانيا 🇬🇧
وتعرف منظمة الصحة العالمية المرض على أنه "مرض نادر يحدث أساسا في المناطق النائية من وسط أفريقيا وغربها.
نبذة تاريخية عن المرض النادر:
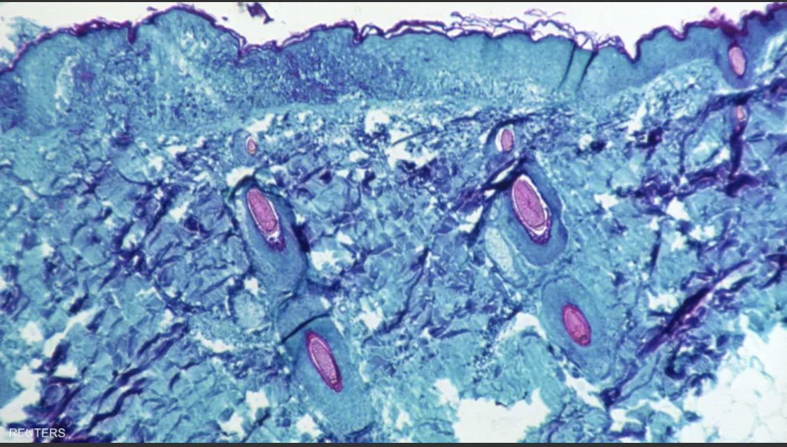
جدري القردة هو مرض فيروسي نادر تم اكتشافه لأول مرة بين البشر عام 1970 بجمهورية الكونغو، وكانت لدى طفل عمره 9 ثم توالى في التفشي في مناطق مختلفة وفقًا لمنظمة الصحة العالمية، وهو حيواني المنشأ، وينتقل من القرود إلى البشر وبعد 10 سنوات تم القضاء عليه.
سبب التسمية:
ينتمي فيروس جدري القرود إلى جنس الفيروسات القشرية. تم اكتشافه لأول مرة في عام 1958 عندما حدثت فاشيتان لمرض يشبه الجدري في قرود المختبر المحفوظة للبحث، ومن هنا جاء الاسم.
سبب العدوى لايقتصر على القرود بل يكون من السناجب الحبلية، وسناجب الأشجار والجرذان الغامبية.
سبب الإصابة بالفيروس:
-لدغة أو خدش حيوان مصاب
- تناول لحوم الأدغال
-الاتصال المباشر بإنسان مصاب
-لمس الفراش أو الملابس الملوثة
يدخل الفيروس الجسم عن طريق الآفات الجلدية أو الجهاز التنفسي أو الأغشية المخاطية (العين أو الأنف أو الفم).
أي أن المرض معدي.
أعراض المرض:
- الصداع
-الانتفاخ
-آلام الظهر والعضلات والخمول
- عند ارتفاع درجة الحرارة يظهر طفح جلدي بداية من الوجه ثم ينتقل إلى أجزاء أخرى من الجسم، لكنه يكون في أغلب الأحيان في راحة اليدين وباطن القدمين
تختفي العدوى دون تدخل طبي بعد أن تستمر الأعراض لحوالي 14 إلى 21يوماً.
لا يوجد علاج لجدري القرود لكن يمكن الحد من الانتشار من خلال بعض القيود التي تحول دون انتقال العدوى لكن هناك لقاح مضاد لجدري الماء ثبتت فاعليته بنسبة 85 في المئة في الحيلولة دون الإصابة بالمرض ولا يزال يستخدم أحيانا
إذا انتشر أكثر يجب العثور على لقاح جديد لتفادي المرض.
بعد معرفتنا عن المرض بدأت رصد الحالات في بريطانيا وأقرب فترة عام 2018، لكن العام الحالي ارتفعت بشكل ملحوظ في بريطانيا خلال أقل من أسبوعين سجلت أكثر من 4 إصابات وهو في العادة يرصد عادة في أفريقيا ولكن زيادة الحالات في أوروبا تحول الوضع لخطر عندهم وممكن انتقاله لقارة الكبرى آسيا.
🛑 الحالات التي سجلت اليوم:
-أبلغت كندا عن 13 حالة جديدة مشتبه بإصابتها بجدرى القرود🇨🇦
-مسؤولو ولاية ماساتشوستس الامريكية يؤكدون عن تسجيل أول حالة إصابة بشرية بجدرى القردة🇺🇸
-إسبانيا تبلغ عن 7 حالات جديدة 🇪🇸
-تبلغ البرتغال عن 9 حالات جديدة لمرض جدري القرود🇵🇹
وتبين الحالات أولى العلامات على تفشي مرض نادر عالميًا حيث سجلت كل من البرتغال والمملكة المتحدة وإسبانيا
يخشى الخبراء أن ينتشر المرض في المجتمعات لأول مرة دون أن يتم اكتشافه وهناك يراقب مسؤولو الصحة الأمريكيون ستة أمريكيين كانوا على اتصال بالحالة
والآن حالات الاشتباه كثيرة
يلاحظ أن الإصابات معظمهم من فئة الشباب وجميعهم تقريبا من المجتمع المثلية
قد طلبت الدكتورة سوزان هوبكنز كبيرة المستشارين الطبيين في بريطانيا بالحث بشكل خاص الرجال المثليين ومزدوجي الميل الجنسي على أن يكونوا على دراية بأي طفح جلدي أو آفات غير عادية والاتصال بخدمة الصحة الجنسية.
🛑معلومات منظمة الصحة العالمية عن المرض وتفاديه وتقييم الوضع الراهن:
-تثقيف الناس بشأن التدابير التي يمكنهم اتخاذها من أجل الحد من معدل التعرّض له
مثل طهي كل المنتجات الحيوانية بشكل جيد
-الأعراض يمكن أن تكون خفيفة أو شديدة
-عند العودة من منطقة موبوءة ويجب إبلاغ أخصائي الصحة
المرض ليس جديدًا وقد رصدت عدة حالات في السنوات الماضية، أما تسجيل وفيات بسببها نسبة عالية يقتصر على صغار السن
يصرح الخبراء أن جدري القرود لا ينتشر بسهولة بين البشر والمخاطر العامة على الناس متدنية للغاية
(تقرير من قناة العربية عن المرض وبشكل مختصر)
الثريد متجدد⏳……..
في لقاء سابق مع بيل غيتس حذر من هجمات الإرهاب البيولوجي ومنها الجدري والتي قد تصبح أسوأ من كورونا الذي حذر من وقوعها قبل 6 سنوات
وقال:
"يجب أن توفر لنا الوسائل التي تجعلنا نواجه بشكل أفضل هناك أوبئة ناجمة عن الطبيعة هناك أوبئة قد تنجم عن إرهاب بيولوجي"
🛑 الآن:
أكدت السلطات الصحية في السويد (ستوكهولم) وإيطاليا (قادم من إسبانيا عند جزر الكناري) عن تسجيل أول إصابة بمرض جدري القرود
صرحت منظمة الصحة العالمية أن بعض الحالات في المملكة المتحدة ودول أوروبا والعالن يبدو أنها تم نقلها داخل مجتمع الشواذ.
🛑 الحالات المسجلة حاليًا بجدري القرود:
-تم تسجيل 14 إصابة إسبانيا 🇪🇸
-فرنسا تم تسجيل أول إصابة🇫🇷
-ألمانيا أعلنت عن تسجيل أول إصابة🇩🇪
-بريطانيا سجلت عن 11 حالة جديدة ليرتفع العدد الإجمالي إلى 20 مصاب🇬🇧
حالات بدأت تزداد ووتيرة الخطر ارتفعت قليلًا
صورة لمجموع الإصابات بالعالم
🛑 بشكل عاجل:
🇺🇳تعقد منظمة الصحة العالمية اجتماعًا طارئًا بشأن تفشي مرض جدري القرود بعد الإبلاغ عن الحالات في دول العالم ومنها:
- أمريكا🇺🇸
-بريطانيا 🇬🇧
-فرنسا 🇫🇷
-ألمانيا 🇩🇪
-كندا🇨🇦
-السويد 🇺🇳
-البرتغال 🇵🇹
-إسبانيا🇪🇸
-بلجيكا🇧🇪
#جدري_القرود
🛑 آخر المستجدات:
فيروس جدري القرود بدأ يغزو العالم بعد تسجيل حالات في بعض الدول لأول مرة وقفزت الحالات المسجلة لدى الدول الأوائل
حيث:
- سجل الكيان الصهيوني إسرائيل حالة اشتباه بالإصابة بالجدري القرود
- سويسرا تسجل أول إصابة
تجدون بالصورة آخر الحالات المسجلة عالميًا.
#جدري_القرود
أطلقت هيئة الصحة العامة وقاية إرشادات لتجنب الإصابة بقدر الإمكان من جدري القرود:
-على المسافرين الابتعاد عن الأماكن المزدحمة قدر الإمكان
-الالتزام بلبس الكمامة وتعقيم الأيدي بشكل متواصل
-مراجعة الطبيب على الفور عند ظهور الأعراض وهو طفح جلدي بعد ارتفاع الحرارة.
🛑عاجل:
ذكرت صحيفة ديلي ميل أن مهرجان غران كناريان الخاص بالتجمع الشواذ الذي أقيم بجزر الكناري حضر فيه 80 ألف شخص يعد بؤرة انتشار فيروس جدري القرود أي أنه انتقل بين الأشخاص الذين كانوا على مقربة من بعضهم والذي يدعم وبقوة هذا الاحتمال أن انتشاره أكثر بين هذه الفئة.
أجريت دراسة بقيادة باحثين من سنغافورة والبرازيل وألمانيا تواصلوا أنه مع استمرار ارتفاع درجات الحرارة بسبب الاحتباس الحراري،ستتكاثر عوامل ظهور الأمراض للبشر والنباتات والحيوانات
أي أن درجات الحرارة الجو كلما ارتفعت سيزداد خطر ظهور الكائنات الدقيقة وارتفاع خطر الإصابة بالأمراض.
#جدري_القرود
بعد انتشار السريع لفيروس جدري القرود في معظم العالم مثل الآن دول أوروبية جديدة اشتبهت بوصول جدري القرود إليها ومنها النرويج بالعاصمة أوسلو
هذا يعطي مؤشراً لمنظمة الصحة العالمية أن تصبح هي الجائحة التالية السؤال:
هل يعود العالم بسرعة لدوامة الجائحة مرة أخرى؟
🛑 الآن:
- زعمت صحيفة "ديلي ميرور" البريطانية إلى أن روسيا نظرت في إمكانية استخدام فيروس جدري القرود كسلاح بيولوجي.
-الرئيس الأميركي يصف جدري القردة بأنه "مصدر قلق للجميع"
-بلجيكا أول دولة تفرض الحجر الإجباري على مصابين جدري القرود لمدة21 يوماً
-وصل عدد الحالات المؤكدة 108.
🛑 الآن:
- أعلنت وزارة الصحة المغربية عن تسجيل 3 حالات مشتبه في إصابتها #جدري_القرود
-جدري القرود بدأ وبقوة في إجتياح أوروبا
وهناك توقعات من قبل منظمة الصحة العالمية في زيادة الإصابات حول العالم
(صورة آخر الحالات المسجلة حول العالم وصل العدد الإصابات المؤكدة 174 إصابة)
من باب الاطمئنان:
-أعلنت منظمة الصحة عن وجود لقاح جدري القرود ولقد حصل على الموافقات اللازمة ولكن يحتاج إلى اختبارات لضمان فعاليته وصرحوا أن جدري القرود لن يتحول لوباء مثل كورونا
-مسؤول كبير في منظمة الصحة العالمية:
لانرى ضرورة للتطعيم العام على نطاق واسع لمكافحة انتشار المرض
🛑 عاجل:
أعلنت السلطات الصحية في الكونغو الأفريقية أن 9 أشخاص لقوا حتفهم متأثرين بإصابتهم بجدري القرود، بينما سجلت نيجيريا أول حالة وفاة بسبب المرض هذا العام
مع استمرار 20 دولة على الأقل في مواجهة حالات تفش مفاجئة لم تشهدها منذ سنوات ويعد هذا تطور خطير للمرض.
#جدري_القرود

جاري تحميل الاقتراحات...