زول مشى يقدم يشتغل في مكان و شالوه
كجزء من الحاجات الروتينية انو الموظفين يتعمل ليهم كشف طبي
الزول دا ساقوه للكشف الطبي
و هو ما بيشكي من ايييي شي
معدل التنفس كان ١٤
نسبة تشبع الهيموجلوبين بالاوكسجين كانت ١٠٠%
الكشف الطبي كان بس حاجة شكلية لتكميل اجراءات التعيين
كجزء من الحاجات الروتينية انو الموظفين يتعمل ليهم كشف طبي
الزول دا ساقوه للكشف الطبي
و هو ما بيشكي من ايييي شي
معدل التنفس كان ١٤
نسبة تشبع الهيموجلوبين بالاوكسجين كانت ١٠٠%
الكشف الطبي كان بس حاجة شكلية لتكميل اجراءات التعيين
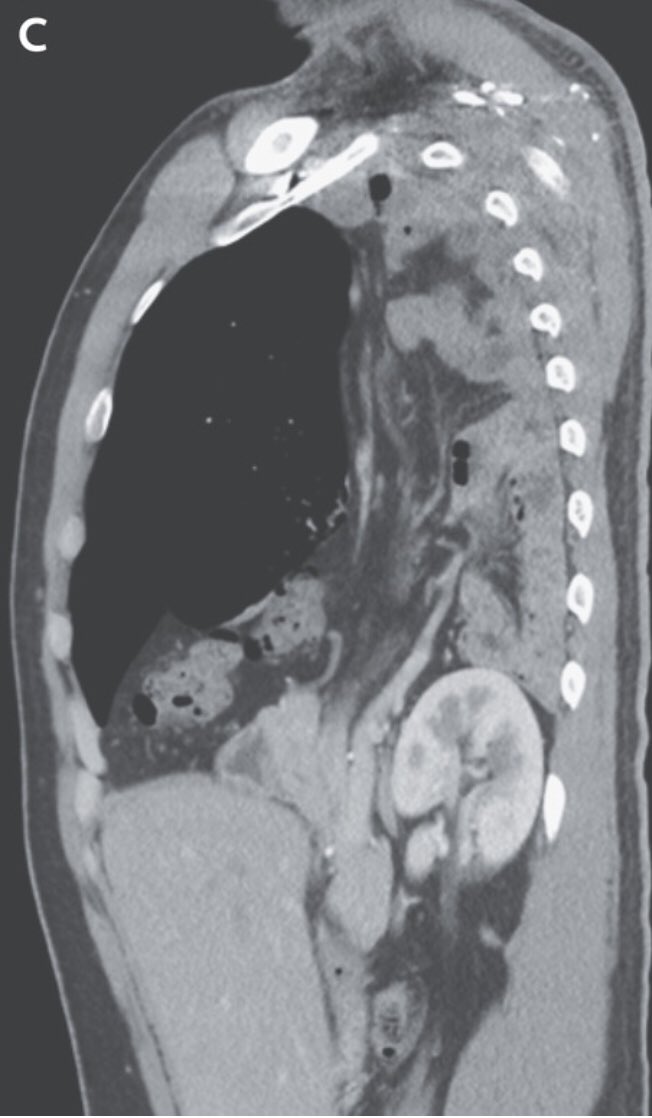
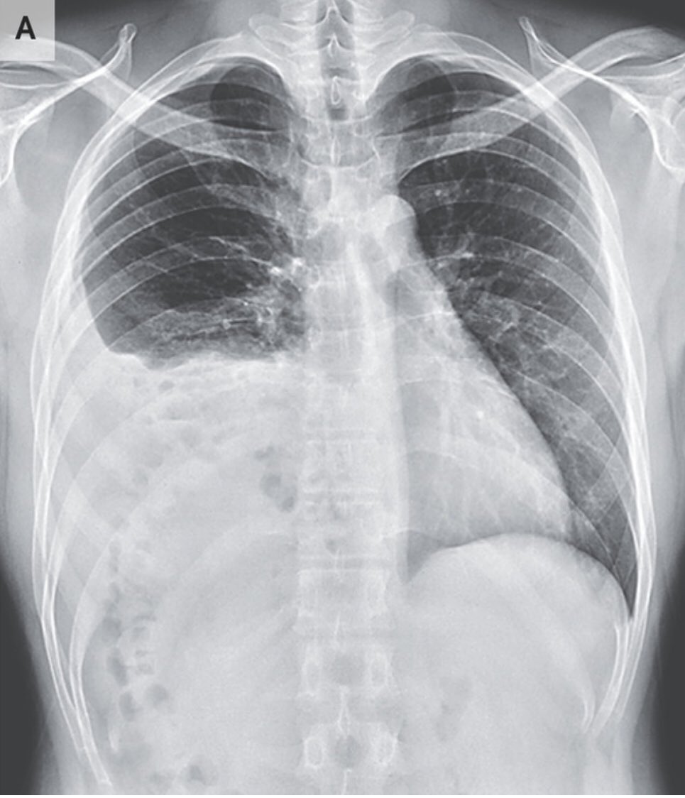
و النص اليمين من الحجاب الحاجز طالع لفوق شوية جهة الصدر (elevated right hemidiaphragm)
القولون كان قاعد في فوق في محل ما محلو (translocation of the colon into the right upper quadrant of the abdomen)
القولون كان قاعد في فوق في محل ما محلو (translocation of the colon into the right upper quadrant of the abdomen)
و السبب هو عيب خُلقي في الحجاب الحاجز
التشخيص الإتعمل للشاب دا هو انو عندو فتق بوكدالك، او فتق حجابي خلقي
congenital diaphragmatic hernia due to a posterolateral diaphragmatic defect-Bochdalek hernia
التشخيص الإتعمل للشاب دا هو انو عندو فتق بوكدالك، او فتق حجابي خلقي
congenital diaphragmatic hernia due to a posterolateral diaphragmatic defect-Bochdalek hernia
في العادة العيانيين بيتعرفو و بيتشخصو صغار عشان الاعراض البيعملها الفتاق
في حالات نادرة ممكن تكون من غير اعراض و المريض يكبر بيها و عندها العرض الممكن يجي بيه العيان هو انسداد معوي
في حالات نادرة ممكن تكون من غير اعراض و المريض يكبر بيها و عندها العرض الممكن يجي بيه العيان هو انسداد معوي
الحالة منشورة في The New England Journal of Medicine, الرابط:
nejm.org
nejm.org
جاري تحميل الاقتراحات...