محمد أبوحسنة
محمد أبوحسنة

@Mohedabuhassna

4 تغريدة 52 قراءة Apr 24, 2022
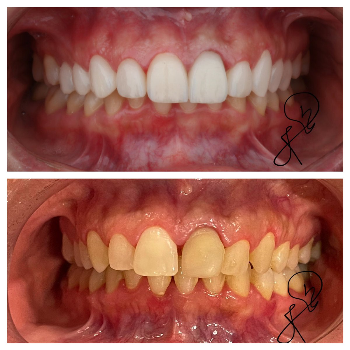
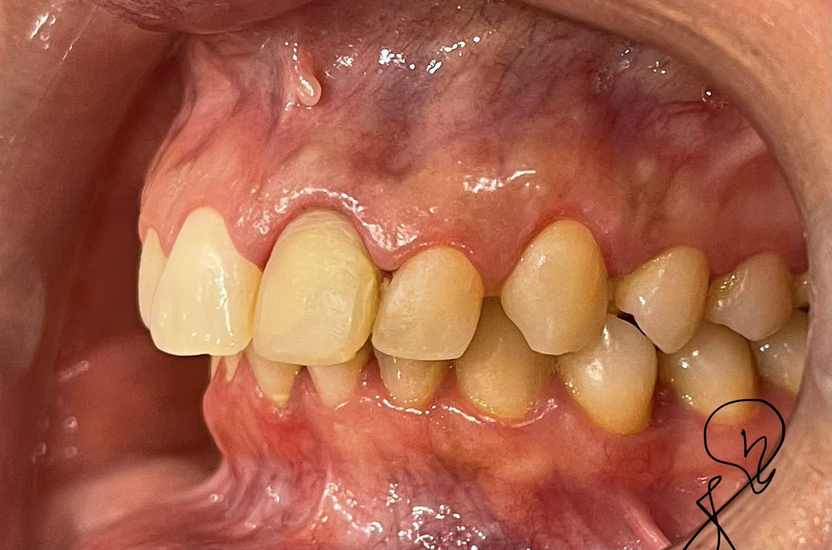
حالة جميلة تم فيها عمل فينير للاسنان العلوية وتركيبة لسن واحد
صورنا فيها الخطوات أول بأول والهدف ايصال المعلومة السابقة وهي عمل تحضير الفينير على الموك أب لتقليل كمية البرد
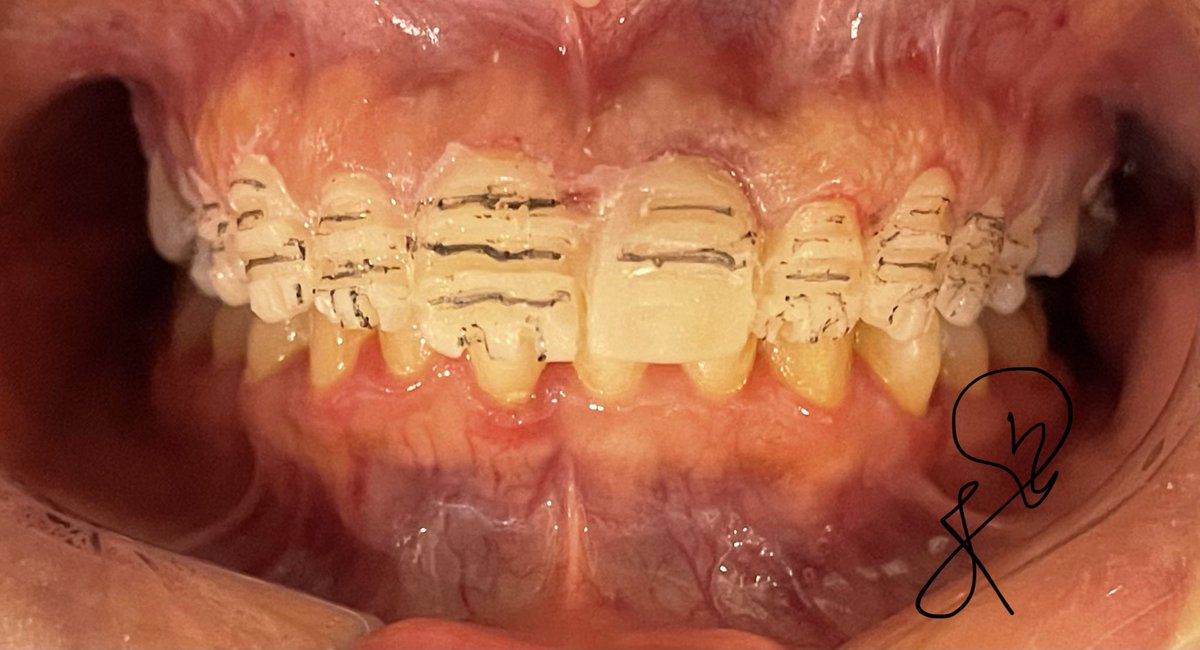
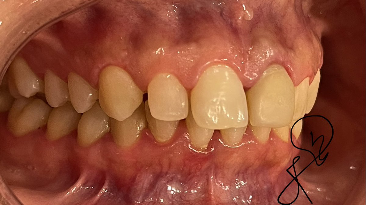
❇️ الحالة فيها سن معالج عصبه وتغير لونه وتم عمل تبييض داخلي على مدار الخمس سنوات الماضية
❇️ هنا تم عمل البروفا وبعدها وافقت عليها المراجعة وبناء عليه تم عمل التحضير على البروفا ( الموك اب )
❇️ نلاحظ ان اماكن كثيرة لا نحتاج لعمل برد لها
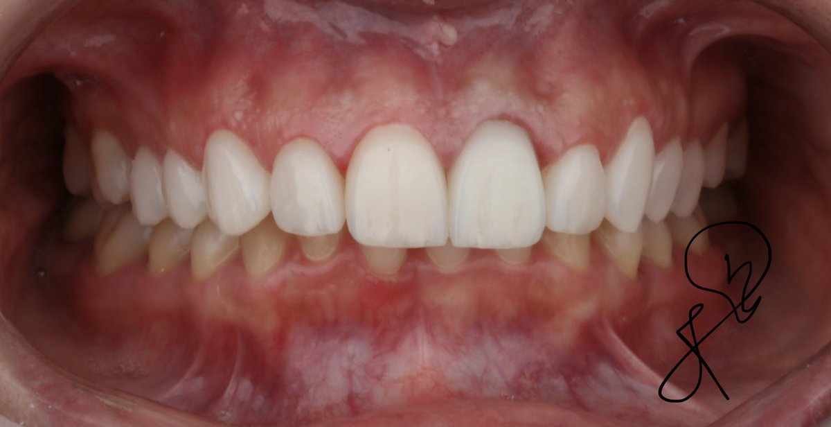
ونهاية تم تثبيت العدسات مع تلبيسة امامية وجميعها من مادة السيراميك لاشك
ليه لاشك !؟
لأنه مافي شي اسمه فينير من الزيركونيا
وبالمناسبة مافي شي اسمه 3D فينير
وبالمناااسبة مافي شي اسمه ضمان مدى الحياة
وشكرا 😉
ولا ننس الحبيب @tawfig_ahmed ماحرمنا من لمساته الجميلة في تطويل الاسنان 🌹💙

جاري تحميل الاقتراحات...