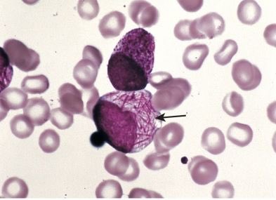
🩸عيدان (Rods) تكون متواجدة في الـMyeloid Blast Cells. وتكون غالباً متواجدةً في أحد الأمراض السرطانية. 📌 الاسئلة هي : ١- ما اسم هذه العيدان؟ ٢- هل
🩸عيدان (Rods) تكون متواجدة في الـMyeloid Blast Cells. وتكون غالباً متواجدةً في أحد الأمراض السرطانية. 📌 الاسئلة هي : ١- ما اسم هذه العيدان؟ ٢- هل