DR. BAHRI
DR. BAHRI

@DrBahriii

9 تغريدة Apr 26, 2022
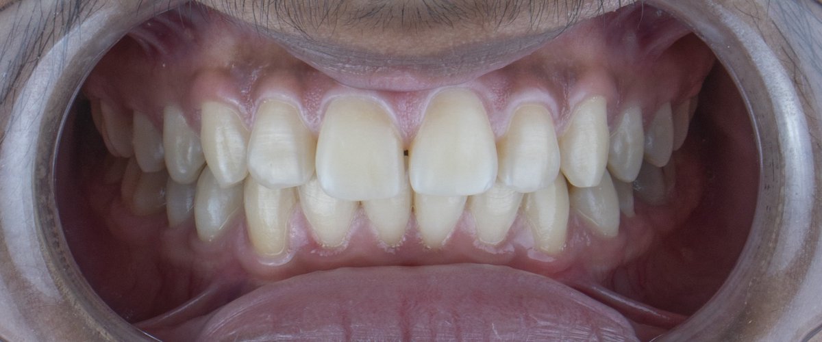
لو صورت حالتك في العيادة ورجعت تفرز الصور ولقيت نصها مظلمة زي كذا ايش حتسوي؟
حتنجيب المريض مرة ثانية وتطفشه بالتصوير؟
طيب لو قلت لك انه في معظم الأوقات تقدر تحل المشكلة اللي فوق في البيت وبدون ما تعيد التصوير ايش حيكون موقفك؟
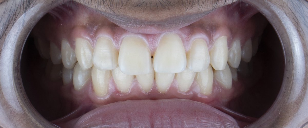
هذي الصورة هي نفسها الصورة اللي فوق بعد شوية تعديل😁
سحر صح ؟
طيب شايف الظلال اللي في الأطراف ؟
كثير منكم يلاقيها في الصور حقه بسبب ان الضوء ما دخل بشكل كافي للفم والأغلب بسبب الرتراكشن.
برضو تقدر تقلل منها وتتجنب اعادة التصوير 😌
التعديل على الصور فن وصار شيء ضروري يتعلمه طبيب الأسنان مع التصوير اذا كان يبغى يسوق لنفسه بشكل جيد
طبعاً أقصد بالتعديل الأخلاقي اللي ما يكون فيه تغيير في طبيعة العلاج اللي سويته في العيادة
مجهز لكم كورس كامل عن التعديل على الصور على برنامجي Lightroom و Photoshop
حيكون الكورس عن بعد وفيه تطبيق عملي وحمشي معكم خطوة بخطوة من وقت نقل الصور الى نشرها
حتتعلموا في الكورس مهارات تحسن من عرضكم لحالاتكم ونشرها على مواقع التواصل الاجتماعي والبرزنتيشنز
Dental Photography Postproduction
For registration
salla.sa
بخصوص ورشات عمل التصوير ان شاء الله بعد العيد حيكون فيه ورشة عمل متقدمة في جيزان، المدن الثانية اذا فيه أحد قادر ينسق لي فيها يتواصل معي خاص 🙏
كل اللي سجلوا حيوصلهم شرح كامل لطريقة تنزيل البرامج وتثبيتها وبعض الشروحات الأساسية قبل الورشة ان شاء الله حتى يقدروا يطلعوا بأكبر فائدة ممكنة 👌

جاري تحميل الاقتراحات...