د.عبدالله الفريج
د.عبدالله الفريج

@Abdullahk88

11 تغريدة 12 قراءة Mar 17, 2022
متأكد مافيك تسوسات؟ فكر شوي ترا التسوسات مو شرط تألم، لكن أذا وصلت للعصب راح تحس فيها وممكن ماتتعالج الا بعد إزالة العصب، كيف نتجنبها ؟ تابع معي👇🏼#ثريد
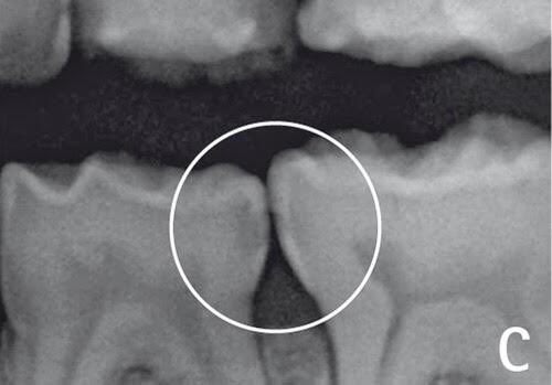
يحدث التسوس بين الأسنان بسبب تراكم بقايا الأكل في الفراغات الموجودة بين الأسنان ، وصعوبة وصول فرشة الأسنان للمكان، وفي الغالب يكون غير مرئي يعني سطح السن العلوي يكون سليم لكن التسوس من جانب السن.
طريقة تجنبها سهلة جداً، في المقام الأول: الزيارة الدورية للطبيب مهمه وهي اللي تكشف هذه التسوسات بعد أخذ صور الأشعة والكشف السريري ويتم معالجتها قبل ماتتعمق وتوصل لعصب السن.
طيب كيف طرق الوقاية منها:أولاً الفرشة والمعجون وهذا مايعرفه الأغلب، لكن يغفلون عن أهم نقطة لهذا التسوس بالذات الا وهي خيط الأسنان. أي نوع وكيف الطريقة بذكرها تحت 👇🏼
أولاً : نبدأ بالبسيط الا وهو خيط الأسنان العادي ،أستخدامه سهل ومايبيله شي ومن أفضل مزاياه تشيله معك بأي مكان ، لكن الأهم من ذلك أنتبه للأستخدام لازم تكون حذر عشان ماتؤذي اللثه وتتسبب بأنحسارها
بعد إزالة الخيط من الأسنان و حصلته متقطع ممكن يكون عندك تسوس أو يكون لديك حشوة تحتاج لتبديل، وأذا كان عندك دم شديد بعد الخيط معناه عندك إلتهاب لثة لازم ترجع لطبيبك بكل الحالتين..
ثانياً: الخيط المائي وأعتبره أختراع جبار يحل هذه المشكلة ومرضى التقويم يسهل عليهم التنظيف بشكل أسهل وأسرع ، هاذي طريقة أستخدامة بالفديو 👇🏼 youtu.be
بالنسبة للبراندات أستخدمت ٥ أنواع فيها الممتاز والسيء، لكن هذا أفضل براند أستخدمته للأمانة مشكلته سعره شوي غالي يأتي بكم نوع بطاريات أو كهرباء ، أختار اللي يناسبك مايفرق..
ومن مزايا الخيط المائي تقدر تضيف مع الموية غسول فم وتكون ضربت عصفورين بحجر 😁
وبكذا أختم لكم الفقرة ودمتم بألف خير يارب خالين من التسوسات وبصحة وعافية 😁 وزي ماقلت لكم ترا كل المشاكل هاذي مايكشفها إلا الدكتور في الزيارات الدورية كل ٦ أشهر ، وشكراً ❤️
نسيت أن أذكر ، حاول ماتستخدم عود الأسنان لأنه أكثر شي يؤذي اللثة ويسبب أنحسارات للثة بين الأسنان

جاري تحميل الاقتراحات...