مشاعل الاسمري
مشاعل الاسمري

@hope6mash

28 تغريدة 125 قراءة Feb 20, 2022
الكوكايين🧠💉
من فئة المنشطات و يعتبر من أكثر المواد المخدرة خطورة، يؤدّي استخدام الكوكايين وإدمانه إلى العديد من المشاكل الجسديّة والعقليّة.
الصيغة الكيميائية والاسم النظامي له⚛️
يتم استقلاب الكوكايين بسرعة إلى:
1️⃣ مستقلبات رئيسية، بنزويليكغونين (BE) وإيكونين ميثيل إستر (EME)
2️⃣ومستقلبات ثانوية، مثل نوركوكايين ايضًا هناك غيرها من المركبات الثانوية⬇️
لمحة تاريخية📜🔎
عرف الإنكا آثار مضغ أوراق الكوكا منذ مئات السنين. في عام 1551 ، حاول أساقفة بيرو إقناع الحكومة بحظر تعاطي الكوكا لأن مضغ هذه الأوراق يتعارض مع معتقداتهم الدينية. على الرغم من عدم حظر استخدام الكوكا ، فقد تم تقييد مساحة الأراضي المستخدمة لزراعة الكوكا.
فإن جهود هؤلاء الأساقفة لم تذهب سدى. من المثير للاهتمام أن نلاحظ أنه على غرار تاريخ مضغ الماريجوانا والتبغ ، يُظهر تاريخ مضغ الكوكا كيف يمكن تطوير مادة طبيعية إلى مادة ضارة ومضرة بالفرد والمجتمع.
في عام 1860 قام ألبرت نيمان بعزل الكوكايين من أوراق الكوكا. وقد ورد أنه "لاحظ أنه عندما وضع البلورات على لسانه جعل لسانه يشعر بالخدر".
لم يكن الكوكايين المادة الأولى التي تم اقتراحها كمخدر. تم التعرف على أكسيد النيتروز والأثير والكلوروفورم كمواد مخدرة منذ عام 1844 و1846 و1847.
قام الدكتور كارل كولر بالتحقيق في آثار التخدير للكوكايين على العين. تضمن عمل كولر استخدام الكوكايين في استخراج المياه البيضاء واستئصال القزحية قدم نتائجه في الجمعية الطبية في فيينا في 25 أكتوبر 1884 وكانت هذه خطوة مهمة تساهم في استخدام الكوكايين كمخدر💉✨.
الكوكاكولا كدواء🥤✨
وصف بيمبرتون مخترع مشروب الكوكا كولا بأن مشروبه "منشط للدماغ ومشروب فكري"🧠⚠️، وأعلن عنه على أنه "دواء حاصل على براءة اختراع". وزعم أنها عالجت الصداع واضطراب المعدة والإرهاق. هذا مجرد مثال على كيف يمكن للصناعات أن تستغل المعلومات✖️من مجال الطب إلى المجتمع.
كان الكوكايين يستخدم في الطب إلى حد كبير خلال نهاية القرن التاسع عشر ، لكن خاصية الإدمان على الكوكايين جعلته أقل أمانًا.
الكوكايين من أحدى الأدوية المدرجة في الجدول الثاني، مما يعني أنه يحتوي على احتمالية عالية للإساءة ولكن يمكن أن يستخدمه الطبيب للاستخدامات الطبية المشروعة.
طرق تعاطي الكوكايين☠️💉:
غير المضغ يتعاطى الناس شكلين كيميائيين من الكوكايين: ملح الهيدروكلوريد القابل للذوبان في الماء وقاعدة الكوكايين غير القابلة للذوبان في الماء (أو القاعدة الحرة). يقوم المستخدمون بحقن أو استنشاق ملح الهيدروكلوريد، وهو عبارة عن مسحوق.
يتم إنشاء الشكل الأساسي للكوكايين عن طريق معالجة☠️ بالأمونيا أو بيكربونات الصوديوم (صودا الخبز) والماء ، ثم تسخينه لإزالة الهيدروكلوريد لإنتاج مادة قابلة للتدخين(كراك).
اعراضه:
يؤدي تعاطيه الى العديد من المشاكل منها الأرق، اكتئاب شديد، تقرحات الأنف والتهاب الأغشية يوصل المدمن لمرحلة التهيئات ومحاولات الانتحار مثلًا يحاول القفز من مرتفعات.
الهلاوس اللمسية Tactile hallucinations☠️💉
المدمن يشعر بالهلوسة اللمسية Magnan's sign بعد تعاطي الكوكايين تخلق عنده الوهم بأن الحشرات تزحف تحت جلده وممكن يوصل المدمن لدرجة أنه يجرح نفسه بأي شيء🩸🔪.
هل ممكن يؤدي تعاطي الكوكايين الى سكتة دماغية🧠⁉️
كان أول تقرير عن السكتة الدماغية المتعلقة باستخدام الكوكايين نُشر في عام 1977
والكوكايين يعمل على إفراز الإندوثيلين، وهو مضيق قوي للأوعية الدموية مما يمنع أنسجة الدماغ من الحصول على الأكسجين والعناصر المغذية.
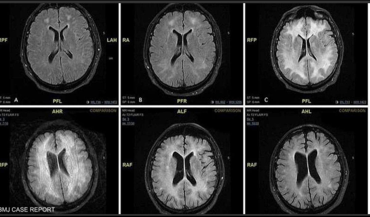
هنا حالة لمريض متعاطي للكوكايين تم تشخصيه بحالة "تلف المادة البيضاء المرتبط بالكوكايين" صورة من MRI🧠، يكشف تغيرات في أجزاء المادة البيضاء التي يبدو أنها "تآكلت". المادة البيضاء تلعب دور مهم في قدرات الادراكية.
يقوم التجّار بخلط الكوكايين مع موادّ غير فعّالة مثل بودرة تلك او بعض الأدوية وغيرها من المواد، وجد أن ثلاثة أرباع الكوكايين التي صادرتها إدارة مكافحة المخدرات الأمريكية تحتوي على الليفاميزول وهو دواء يستخدم في الطب البيطري لعلاج التهابات الدودة الطفيلية للماشيية.
من المعروف جدًا أنه دائمًا يتم خلط المخدرات مع مواد اخرى اما لزيادة الكمية أو الأثر وركزوا لما أقول زيادة أثر يعني زيادة تدمير للجهاز العصبي🧠🤯
احدى الأمثلة حالة لمدمنة هيروين مين يتوقع أنه يتم اضافة مادة سامة خطيرة خاصة بتلوين النباتات Rizzy
لاحظوا كيف حصل تنخر في الجلد.
ومتعاطيي الكوكايين يظهر عليهم بقع بلون الأسود على الأذنين أو الوجه أو حتى الأطراف. تسبب الحالة تندبًا وتتطلب أحيانًا جراحة ترميمية.
من إحدى القضايا التي كشف تحليل السموم وجود مواد تستخدم في غش الكوكايين وهي أدوية التخدير الموضعية مثل البروكايين أو ليدوكايين ☠️⚖️.
قد يتسبب تعاطي الكوكايين المزمن في أنواع متعددة من الأضرار التي تلحق بالأنسجة الرخوة والصلبة في الوجه. ممكن يتشوه الحنك والأنف بطريقة معقدة للغاية وقد تتعرض الأوعية الدموية للأنسجة المتبقية للخطر.
تشوه الظفر💅🏼🦜
تم وصف أظافر منقار الببغاء كجزء ثانوي مرتبط بتعاطي الكوكايين المزمن، تحدث تغيرات الظفر نتيجة نقص تروية تضيق الأوعية للأصابع المحيطية.
📖| المصدر:
link.springer.com
حالة ☠️💉
تم إحضار هذا الشخص إلى قسم الطوارئ كان في حالة صرع، تحليل السموم في البول كانت إيجابية للكوكايين✅ ارتفع لديه نسبة فوسفوكيناز الكرياتينين وكان بشكل ملحوظ.صورة لعينيه توضح نزيف الملتحمة التي حدثت أثناء نوباته.
ممكن بتحصل حالات الوفاة بسبب أنه متعاطي الكوكايين بيوصل لحالة اسمها excited delirium الهذيان متحمس بيعمل أشياء عنيفة أو غير متوقعة بيتهيأ له أنه شخص خارق🦸🏻‍♂️.
نواتج الأيض توضح الكثير 🧐💡
مثلاً لو وجد في ايض الشخص مركب cocaethylene
فهذا معناته أن الشخص تعاطى الكوكايين مع الكحول.
وأما وجود Methylecgonidine (MED) or anhydroecgonine methyl ester (AEME)
يثبت أن الشخص كان يدخن الكراك🚬☠️
📖| المصدر:
sciencedirect.com
التفاعلات الدوائية 💊☠️
يتسبب الكوكايين في زيادة النشاط المشبكي للسيروتونين مما يؤدي إلى تطور متلازمة هرمون السيروتونين عند استخدامه مع الأدوية التي تؤثر على مسار السيروتونين.
ممكن العوامل الوراثية (مثل نقص الجلوتاثيون بيروكسيديز -1) والعوامل اللاجينية متورطة في التفاعلات الدوائية بين مستخدمي الكوكايين.
دواء سيتالوبرام💊: تفاعل دوائي مشتبه به مع الكوكايين لذلك يجب على الواصفين الاستفسار عن تعاطي المخدرات غير المشروعة.
هنا حالة وفاة بسبب نزيف تحت العنكبوتية لرجل مدمن كوكايين ومستخدم للدواء.
📖| المصدر:
gov.uk

جاري تحميل الاقتراحات...