Emad Aljahdaly M.D|🇸🇦د عماد سليمان الجحدلي
Emad Aljahdaly M.D|🇸🇦د عماد سليمان الجحدلي

@ealjahdli

13 تغريدة 13 قراءة Jan 15, 2022
السلام عليكم. احببت ان اسلط الضوء اليوم على احدى حالات فرط الحساسية و اعني بذلك مهاجمة الجهاز المناعي لدي الاشخاص المصابين لاحد اعضاء الجسم مما ينتج عنه ضرر العضو او تلفه. موضوعنا اليوم هو التهاب المريء المناعي #Eosinophilic_esophagitis او اختصارا نشير اليه ب #EoE
يعتبر المريء احد اهم اجراء الجهاز الهضمي و التي تلعب دورا مهما في المساعدة على نقل الطعام بعد مضغه و بلعه الى المعدة بمساعدة التناسق العضلي داخل جداره. كما يعمل على الحد من اثار ارتجاع العصارة المعدية بفضل الحركة الدودية و صمامي المريء العلوي و السفلي.
المريء السليم يحتوي على انواع عدة من خلايا الجهاز المناعي بصفة طبيعية مشكلة خط دفاع قوي و حائط صد فعال يساعد على حماية الجسم من الاجسام الدخيلة و الجراثيم كالڤيروسات و البكتيريا و الفطريات. تتفاوت نسب و اعداد الخلايا داخل جدار المريء بحسب حالة المريض الصحية.
يهمنا من خلايا الجهاز المناعي نوع معين و المعروف ب #Eosinophils و المحتوية على حويصلات ذات تركيز عالي من elastase, peroxide, و غيرها لديها القدرة على زيادة نسبة الالتهاب في المنطقة المصابة و احداث تأثير مدمر على الجراثيم و الانسجة المحيطة بها على حد سواء.
تعتبر هذه الخلايا مهمة في مكافحة الطفيليات و الديدان التي تصيب الجسم. لكنها في حالة فقدان السيطرة عليها بسبب خلل في الجهاز المناعي ناتج عن الاستثارة لانواع معينة من الطعام، الغبار، المواد المصنعة و غيرها من المؤثرات الخارجية فالنتيجة تكون حساسية مفرطة تؤدي الى نشأة التهاب مزمن.
لا نعرف حتى الان الاسباب تحديدا للاصابة بهذا المرض لكن نعتقد الان وجود احد هذه الخصائص او المؤثرات يساهم في زيادة الاصابة:
1️⃣ الاجواء الباردة و الجافة
2️⃣ التعرض لرحيق الازهار (الخريف)
3️⃣ الذكور اكثر عرضة للاصابة
4️⃣ تاريخ عائلي لامراض الحساسية
5️⃣ وجود الربو او امراض حساسية اخرى
من الاعراض الشائعة: صعوبة البلع، توقف الطعام في منطقة الصدرة (المريء) مع الحاجة احيانا الى الاستفراغ، الام و حرقان في الصدر و التي عادة لا تستجيب لادوية خفض الحموضة، و ارتجاع لطعام غير مهضوم نسبيا.
الاطفال يصابون ايضا بنفس الاعراض اضافة الى تأخر النمو.
في حال تأخر التشخيص او المرض المزمن دون علاج، قد تنشأ لدى المرضى مضاعفات تتمثل في ضيق المريء و الانسداد التام اثناء الاكل مما يستدعي زيارة اقسام الطواريء بشكل متكرر.
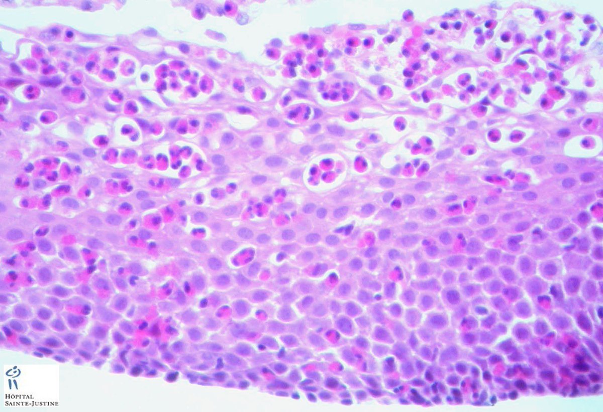
يتم تشخيص الحالة بواسطة منظار المريء الذي عادة ما يظهر تغير في جداره متمثل في وجود حلقات و شقوق في الطبقة السطحية مع ضيق في قطره كما هو موضح في الصورة. تأخذ عينات من جدار المريء و التي عادة ما تظهر زيادة ملحوظة في عدد خلايا #eosinophils
بمجرد تشخيص المرض يبدأ العلاج اما باستخدام ادوية خفض الحموضة (كبداية) ثم/او بإستخدام احد مستحضرات مادة الكورتيزون الموضعي (عن طريق البلع) لتعريض سطح المريء و بالتالي خفض معدلات الالتهاب من خلال تقليل عدد خلايا المناعة (موضعيا). بعض الحالات قد تحتاج الى توسعة لمناطق الضيق بالمنظار
قد يلجأ الاطباء الى نصح المرضى لتجنب بعض الاغذية المشهورة بتحفيزها للحساسية مثل مشتقات الحليب، البيض، القمح، مشتقات الصويا، الفول السوداني، الجوز، المؤكولات البحرية.
ختاما نسأل الله لنا و لكم دوام الصحة و العافية و ان ينفعنا بما علمنا و يعلمنا ما جهلنا.
@rattibha فضلا

جاري تحميل الاقتراحات...