Serial extraction
#Dental_by_Hadeel
#Dental_by_Hadeel
🔴Serial extraction🔴
correctly timed removal of certain deciduous and permanent teeth in mixed dentition cases with dentoalveolar disproportion in order to alleviate crowding of incisor teeth; allow unerupted teeth to guide themselves into improved positions.
correctly timed removal of certain deciduous and permanent teeth in mixed dentition cases with dentoalveolar disproportion in order to alleviate crowding of incisor teeth; allow unerupted teeth to guide themselves into improved positions.
🔴PRINCIPLES OF SERIAL EXTRACTION🔴
The treatment objective for a serial extraction is to intercept an arch length deficiency problem to reduce or eliminate the need for extensive appliance therapy.
The treatment objective for a serial extraction is to intercept an arch length deficiency problem to reduce or eliminate the need for extensive appliance therapy.
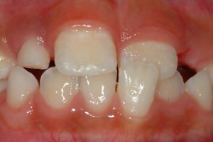
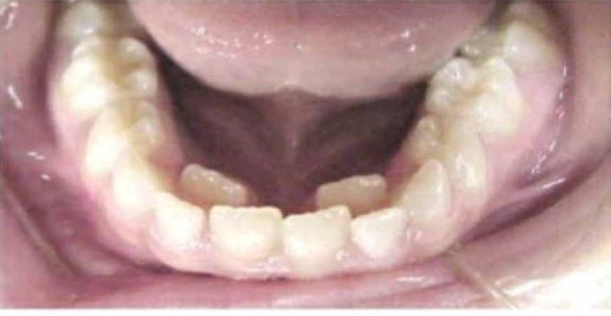
• Abnormal or asymmetric primary canine root resorption
• Crowded maxillary and mandibularincisors with extreme
labial proclination
• Deleterious oral habits
• Class I malocclusion showing harmony between skeletal
and muscular system.
• Crowded maxillary and mandibularincisors with extreme
labial proclination
• Deleterious oral habits
• Class I malocclusion showing harmony between skeletal
and muscular system.
🔴Contraindications🔴
1.Congenital absence of teeth providing space.
2.Mild to moderate crowding.
3.Deep or open bites.
4.Severe classII,III dental/skeletal origin.
5.Cleft lip and palate.
6.Spaced dentition.
7.Anodontia/Oligodontia.
8.Midline diastema.
9.Dilacerations.
1.Congenital absence of teeth providing space.
2.Mild to moderate crowding.
3.Deep or open bites.
4.Severe classII,III dental/skeletal origin.
5.Cleft lip and palate.
6.Spaced dentition.
7.Anodontia/Oligodontia.
8.Midline diastema.
9.Dilacerations.
🔴Advantages🔴
🔹 Psychological trauma can be avoided.
🔹 Reduces the duration of the multi banded treatment.
🔹 Physiological treatment because it involves the guidance of teeth into normal positions making use of physiological forces.
🔹 Better oral hygiene.
🔹 Psychological trauma can be avoided.
🔹 Reduces the duration of the multi banded treatment.
🔹 Physiological treatment because it involves the guidance of teeth into normal positions making use of physiological forces.
🔹 Better oral hygiene.
🔹 Reduces cost of treatment.
🔹 More stable results.
🔹 Lesser retention period is required.
🔹 More stable results.
🔹 Lesser retention period is required.
🔴 Disadvantages 🔴
🔹 Long term procedure that requires thorough knowledge of growth, development, eruption sequence and calcification of permanent teeth.
🔹 Prolonged treatment time with multiple visits (2 – 3years).
🔹 Patient cooperation is very important.
🔹 Long term procedure that requires thorough knowledge of growth, development, eruption sequence and calcification of permanent teeth.
🔹 Prolonged treatment time with multiple visits (2 – 3years).
🔹 Patient cooperation is very important.
🔹 Possibility of developing tongue thrust.
🔹 Tendency to increase over bite (deepening of the bite).
🔹 Residual spaces can remain between the canine and second premolar.
🔹 Subjecting the child to multiple progressive extraction visits.
🔹 Tendency to increase over bite (deepening of the bite).
🔹 Residual spaces can remain between the canine and second premolar.
🔹 Subjecting the child to multiple progressive extraction visits.
🔴Treatment plan and sequence of extraction🔴
• Tweed method of serial extraction D-C-4.
• Dewel method of serial extraction C-D-4.
• Nance method of serial extraction D-4-C.
• Moyer method of serial extraction B-C-D-4.
• Tweed method of serial extraction D-C-4.
• Dewel method of serial extraction C-D-4.
• Nance method of serial extraction D-4-C.
• Moyer method of serial extraction B-C-D-4.
🔴Reference🔴
1️⃣ Essentials of Pediatric Dentistry
2️⃣ Textbook of Pediatric Dentistry
1️⃣ Essentials of Pediatric Dentistry
2️⃣ Textbook of Pediatric Dentistry
جاري تحميل الاقتراحات...