◀السلسله رقم 3 من الشرح بهاشتاق #باثولوجي_بالعربي
◀وراح اتكلم اليوم عن موضوع لا يخلو اختبار بالباثو الا يمر عليك هذا العنوان وكتبو عنه مجلدات لكن ببسطه بشكل علمي للمبتدئين.
الموضوع هو /
Necrosis (موت الخلايا 💔)
هذا الثريد تحت رعاية @LoungeDrs
كود خصم 10%: Saad
يتبع 👇
◀وراح اتكلم اليوم عن موضوع لا يخلو اختبار بالباثو الا يمر عليك هذا العنوان وكتبو عنه مجلدات لكن ببسطه بشكل علمي للمبتدئين.
الموضوع هو /
Necrosis (موت الخلايا 💔)
هذا الثريد تحت رعاية @LoungeDrs
كود خصم 10%: Saad
يتبع 👇
طيب لما نستبدل الخلايا المصابة الNecrosis 👈بِ ال fibrous tissue هل راح تسوي نفس الوظيفة؟؟؟🤔
لالا طبعا
لان اذا اتليفت يصير ما عندها وظيفة والعضو راح يفقد وظيفته لان ال fibrous tissue
ما عندها 👇👇
Blood Supply ❌
Nerve Supply ❌
لالا طبعا
لان اذا اتليفت يصير ما عندها وظيفة والعضو راح يفقد وظيفته لان ال fibrous tissue
ما عندها 👇👇
Blood Supply ❌
Nerve Supply ❌
ثانيا:Causes of Necrosis:
اسبابه
1- Severe damage
In cell membrane
Or in nucleus
خلل بسبب اي مرض دمر غشاء او نواة الخلية الى ان ماتت
2- bacterial infection
بسبب عدوى بكتيرية
3- toxic & drugs
سموم او دواء اعراضة الجانبية قوية او اخذ فوق الحد المسموح
4- Ischemia
نقص التروية
اسبابه
1- Severe damage
In cell membrane
Or in nucleus
خلل بسبب اي مرض دمر غشاء او نواة الخلية الى ان ماتت
2- bacterial infection
بسبب عدوى بكتيرية
3- toxic & drugs
سموم او دواء اعراضة الجانبية قوية او اخذ فوق الحد المسموح
4- Ischemia
نقص التروية
طيب قلنا فوق اننا نستبدل ال
Necrotic tissue 👉 ب Fibrous tissue
الطريقه عشان نجيب fibrous tissue لازم نتخلص من ال Necrotic tissue
Body Remove Necrotic tissue by 2 things 😊✌️:
يتبع 👇
Necrotic tissue 👉 ب Fibrous tissue
الطريقه عشان نجيب fibrous tissue لازم نتخلص من ال Necrotic tissue
Body Remove Necrotic tissue by 2 things 😊✌️:
يتبع 👇
1- protein denaturing:
نستخدم ال protein enzymes عشان نحلل الخلايا وهذي عملية بطيئة
2- lysosomal enzymes :
نستخدم الانزيمات ذي عشان نحللها لين تصبح Fibrous tissue
وهذي انزيمات من WBCs
يعني الجهاز المناعي يرسل neutrophils و macrophageعشان تتخلص من الخلايا وهذا نسميه Inflammation
نستخدم ال protein enzymes عشان نحلل الخلايا وهذي عملية بطيئة
2- lysosomal enzymes :
نستخدم الانزيمات ذي عشان نحللها لين تصبح Fibrous tissue
وهذي انزيمات من WBCs
يعني الجهاز المناعي يرسل neutrophils و macrophageعشان تتخلص من الخلايا وهذا نسميه Inflammation
وال necrosis دايما رفيق دربه هو ال inflammation
________
فبالتالي بنقسم ال necrosis الى انواع على حسب الطريقة الي يتخلص الجسم من الخلايا المصابة 😊👇
انواع الnecrosis 😊👇👇👇👇
________
فبالتالي بنقسم ال necrosis الى انواع على حسب الطريقة الي يتخلص الجسم من الخلايا المصابة 😊👇
انواع الnecrosis 😊👇👇👇👇
Types of necrosis :-
1- Coagulative necrosis
2- Liquefactive Necrosis
3- Caseous necrosis
4- fat necrosis
5- Fibrinoid Necrosis
6- Gangrenous_Necrosis
هذي الانواع ال6 الي صنفوها العلماء جدا مهمه وراح اشرحهم بالتفصيل
يتبع 👇
1- Coagulative necrosis
2- Liquefactive Necrosis
3- Caseous necrosis
4- fat necrosis
5- Fibrinoid Necrosis
6- Gangrenous_Necrosis
هذي الانواع ال6 الي صنفوها العلماء جدا مهمه وراح اشرحهم بالتفصيل
يتبع 👇
هي الاعضاء الي نسميها ال solid organs 😢
مثل /
Heart
Spleen
Baldder
Liver
Kidney
Muscle
ماعدا ال Brain ما يحصل فيه coagulative necrosis 😊
مثل /
Heart
Spleen
Baldder
Liver
Kidney
Muscle
ماعدا ال Brain ما يحصل فيه coagulative necrosis 😊
والنوع ذا من ال necrosis غالبا في ال Brain والرئه
طيب الكلام ذا مهم جدا😳👇
مثلا اي necrosis يحصل في ال Brain معناها Liquefactive حتى لو سبب ال necrosis هو Ischemia (مع انه ال Ischemia تعمل coagulative بس مادام هي في المخ راح تكون Liquefactive)
وذي ممكن تكون خدعة اختبارات 👇
طيب الكلام ذا مهم جدا😳👇
مثلا اي necrosis يحصل في ال Brain معناها Liquefactive حتى لو سبب ال necrosis هو Ischemia (مع انه ال Ischemia تعمل coagulative بس مادام هي في المخ راح تكون Liquefactive)
وذي ممكن تكون خدعة اختبارات 👇
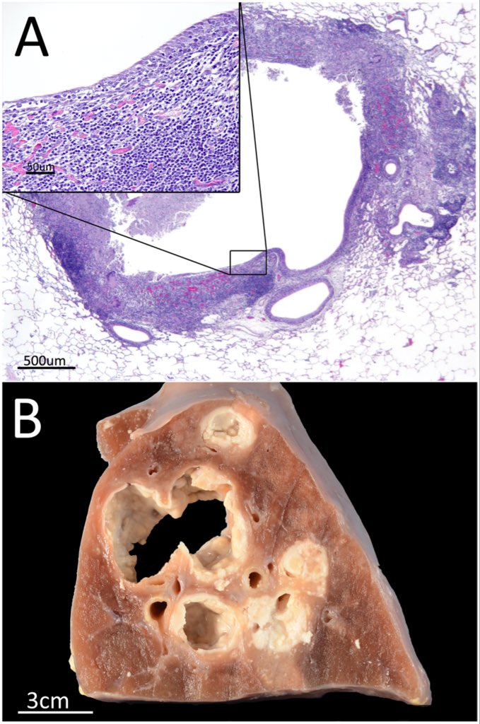
اما ال abscess 🤔🤔
عبارة عن pus محاطة ب connective tissue
يعني لو ال pus اضفنا عليها connective tissue راح تكون 👈 abscess
عبارة عن pus محاطة ب connective tissue
يعني لو ال pus اضفنا عليها connective tissue راح تكون 👈 abscess
👈 بعد ما يكسرهم يجمعهم في 👇
Peritoneum
و👇
Pancras نفسه 😢
وذا يأثر على ال peritoneum وراح تكون soft و صفراء 👇👇
وبتتحول الى ابيض و hard لانها راح تشيل الكالسيوم من الدم وذي يسمونها saponification
يتبع 👇
Peritoneum
و👇
Pancras نفسه 😢
وذا يأثر على ال peritoneum وراح تكون soft و صفراء 👇👇
وبتتحول الى ابيض و hard لانها راح تشيل الكالسيوم من الدم وذي يسمونها saponification
يتبع 👇
فا تشك انه cancer بس مو cancer لكن نفس مواصفات الcancer الخارجية وتكون على شكل اجسام صلبة بس ذا necrosis مو cancer
👇👇👇👇👇👇👇👇👇
وذا الكلام يحصل احياناً في ال breast وتشك انه cancer
👇👇👇👇👇👇👇👇👇
وذا الكلام يحصل احياناً في ال breast وتشك انه cancer
وفي نوع نسميه 👇👇
#wet_gangrene
( تعمق فيه في مرجع Robbins😍😍😍😍)
وله نوعين ✌️
#dry_gangrene
#gas_gangrene
ويبيلها القرقرينا شرح بثريد لكن اهم شي تعرف زبدتها كمبتدأ
#wet_gangrene
( تعمق فيه في مرجع Robbins😍😍😍😍)
وله نوعين ✌️
#dry_gangrene
#gas_gangrene
ويبيلها القرقرينا شرح بثريد لكن اهم شي تعرف زبدتها كمبتدأ
جاري تحميل الاقتراحات...