سعود بن سلمان
سعود بن سلمان

@Sauds_qh

12 تغريدة 53 قراءة Sep 10, 2021
تتخيل أن أكثر من 80% يعانون من مشاكل في صفة الأسنان و إطباق الأسنان بشكل مثالي ؟
تفضيلك للثريد يساعد بنشر المحتوى النافع و يساعدني على تقديم الأفضل ☺️❤️
بالبداية الحساب هذا شخصي راح يكون فيه محتوى علمي خاص بالأسنان و محتوى شخصي و أتمنى يفيدكم
- أول حاجة لازم نفهم وش المشاكل اللي يعالجها التقويم؟
هذي ممكن معلومة جديدة عليكم، يتم تصنيف حالة سوء إطباق الأسنان ببعضها إلى ثلاث أنواع.
- النوع الأول: يكون إطباق أضراس الرحى الأولى ببعضها صحيح لكن توجد بعض المشاكل مثل " تزاحم الأسنان الأمامية، وجود فراغات بين الأسنان"
مثال
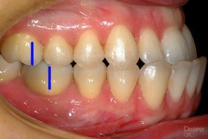
- النوع الثاني: هو تقدم الأضراس العلوية مقارنة بالسفلية، عشان كذا يصير عندنا شكل البروز للأسنان العلوية أو الفك العلوي. "الصورة الأولى"
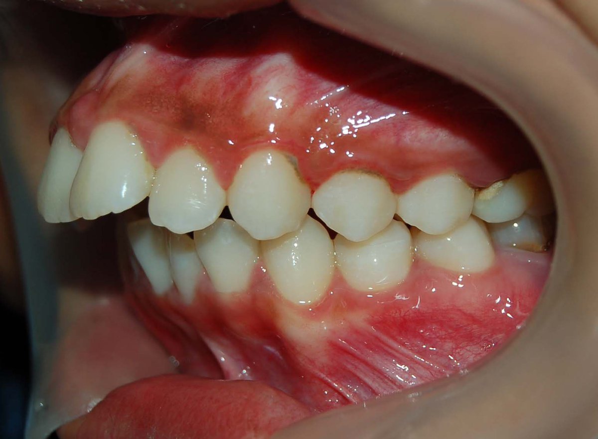
- النوع الثالث: هو تأخر الأضراس العلوية مقارنة بالسفلية، و يصير عندنا مظهر بروز الأسنان السفلية أو الفك السفلي.
"الصورة الثانية"
- كم نسبة اللي يحتاجون العلاج؟
أثبتت دراسة تم عملها في جدة على أكثر من 3000 مريض أن 88% من العينة كانوا يعانون من مشاكل في الإطباق.
يعني فقط 12% كان الإطباق عندهم مثالي بس
pubmed.ncbi.nlm.nih.gov
- ماهي أسباب سوء الإطباق ؟
- نقدر نقول فيه سبب رئيسي و غير قادرين على منعه و هو الوراثة.
- و فيه أسباب ثانوية و عوامل أخرى نقدر نتحكم بها راح أذكرها بالتغريدة القادمة.
"الصورة هنا توضح لنا العامل الوراثي و كيف الأم و الأب و البنت عندهم سوء إطباق من النوع الثالث"
- العوامل و الأسباب الثانوية
- فقد الأسنان و عدم الحفاظ على مساحتها أو تعويضها
- عادة مص الإصبع للأطفال
- استخدام الرضاعة لفترة طويلة
- الإصابات أو الكسور بالفك
- اختلال في شكل أو حجم الأسنان
- الشفة الأرنبية و الشق الحلقي
- السؤال اللي يتكرر علينا دايم و الأغلب فاهمين غلط، متى المفترض تكون الزيارة لطبيب التقويم؟
يجاوبنا هنا د. يوسف مشكور 🤍 @den_Joseph8
- طيب بعد زيارة الطبيب وش يكون العلاج؟
طبيب التقويم يقوم بتصنيف حالة المريض و احتياجه للعلاج، و يتم تصنيف الحالة كالتالي "حالة شديدة أو معقدة، حالة متوسطة، حالة بسيطة"
- بعد تصنيف حالتك و عمل جميع الكشوفات يتم تقرير الخطة العلاجية " الوقت المناسب للبدء، مدة العلاج، طريقة العلاج"
بعض الحالات الشديدة قد تحتاج إلى التقويم ثم التدخل الجراحي
- بعض الصور قبل و بعد للدكتور يوسف الغريب @den_Joseph8
- نصيحتي هي " احرصوا على الزيارة المبكرة خصوصًا لأطفالكم، الكثير من الحالات قد يكون التدخل المبكر أفضل بكثير و يعطي نتائج أفضل "

جاري تحميل الاقتراحات...