عبدالرحمن الفريح
عبدالرحمن الفريح

@AMAlfuraih

10 تغريدة 49 قراءة Jul 16, 2021
معلومة مفاجئة قد يرفضها الأخصائيين قبل المرضى.
🔴 توصي إرشادات الحماية من الإشعاع الحديثة ((بعدم)) استخدام واقي الرصاص لتغطية الأعضاء التناسلية الحساسة في فحوصات الأشعة السينية.
سلسلة التغريدات بالأسفل تشرح المبررات
👇🏼اقرأها وشاركني رأيك
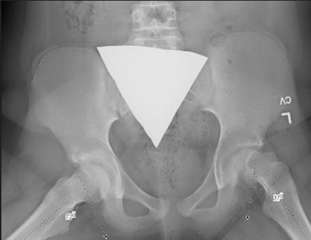
1️⃣بالرغم من كفاءة فنيي وأخصائيي الأشعة إلا أن الواقي قد يوضع في مكان خاطئ ويغطي منطقة مهمة في التشخيص.
وفي هذه الحالة قد يحتاج الأخصائي لإعادة الفحص من جديد 🙃
الصورة مثال لأحد هذه الحالات
2️⃣حتى في حالة وضع الواقي في مكانه الصحيح فإن التشريح الطبيعي للأعضاء يختلف من مريض لآخر.
فهذا مثال للأماكن الطبيعية للمبايض.
فوضع الواقي في مكان صحيح لا يعني بالضرورة تغطية العضو الحساس.
3️⃣استخدام الواقي قد يلخبط قراءات الautomatic exposure control (AEC) المسؤول عن توزيع الجرعة الاشعاعية.
فمع حجب الواقي للمستشعر، قد يضطر AEC لتعويض الجرعة المفقودة عن طريق رفع وقت تعريض الأشعة.
لذلك لا ينصح سابقا بتفعيل AEC عند استخدام الواقي.
4️⃣المصدر الرئيسي لتعرض المبايض للأشعة هو عن طريق الـscattered radiation وليس primary radiation.
فاستخدام الواقي قد لا يقلل بالضرورة الجرعة الممتصة من scattered radiation المنعكسة من مناطق مجاورة.
5️⃣التطور التقني الهائل اليوم في أجهزة الأشعة قلل الجرعات الممتصة للأعضاء في منطقة الحوض بأكثر من 95% مقارنة بالخمسينيات من القرن الماضي.
ولذلك فإن العديد من الجمعيات توصلت إلى خلاصة أن واقي المناطق الحساسة يقدم حماية معدومة أو ضئيلة جدا غير معتبرة.
هذه النصائح تبنتها جمعيات عالمية معتبرة ونشر عليها أبحاث رصينة.
بالأسفل عدة مراجع حول هذا الموضوع
NCRP Recommendations
ncrponline.org
أخيرا، لا يجب تطبيق هذه الإرشادات إلا بعد دراستها واعتمادها من الجهات المحلية المختصة.
شاركني رأيك عنها..

جاري تحميل الاقتراحات...