د. هيفاء حمد الراشد🇸🇦
د. هيفاء حمد الراشد🇸🇦

@Dr_Hayfaa

6 تغريدة 134 قراءة May 09, 2021
التهاب العصب السني:
كالعادة الصور التوضيحية تسهل علي ّالشرح وتوصل الفكرة.
في هذه السلسلة سوف اتحدث عن التهاب العصب السني أو التهاب اللب و ماهي المشكلة وكيف تطورت وماهي الحلول الممكنة.
#صحة
#معلومات_عن_صحة_فمك
#علاج_أسنان
خلوكم قريبين أو فضلو التغريدة وشوفوها بعدين
التهاب العصب السني: (٢)
يبدأ التسوس (النخر) من المينا1️⃣
ويمتد للعاج2️⃣
وهنا يمكن أن يشعر الإنسان بألم (أكثر) تختلف حدته من شخص إلى آخر خاصة مع ملامسة السكريات للنخر (تشعر بألم عند تناول الشوكولاتة مثلا)وحين يمتد النخر3️⃣إلى منطقة أعمق وأقرب للعصب يزداد الألم.
#معلومات_عن_صحة_فمك
التهاب العصب السني: (٣)
يزداد الألم في الحدة والمدة.. ويصبح الألم مرتبطاً بتناول مواد ساخنة احياناً إلى أن يصل (غالباً) إلى أن يمنع الإنسان من النوم.
وهذا يحدث عند وصول البكتيريا و الالتهاب إلى لب الأسنان 4️⃣ وهذا يستعدي علاج الجذور ..
#علاج_الأسنان
#معلومات_عن_صحة_فمك
التهاب العصب السني: (٤)
وبالتالي يتوجب اخذ مسكنات وعمل تنظيف للقنوات وتعقيمها وحشوها بعد نزع العصب (علاج الجذور) إذا كان ذلك متاحاً.
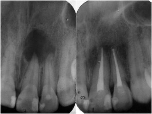
وفي حال لم يتم علاج الجذور وعمل حشوات نهائية للسن بعد تنظيف التسوس تماما سيؤدي ذلك إلى تكون خراج سني تحت ذروة الجذور 7️⃣ و داخل العظم 6️⃣
التهاب العصب السني: (٥)
هذه الخراجات 7️⃣ يمكن التخلص منها بإذن الله بعمل علاج للجذور وتعقيمها (بوجود العازل المطاطي✅) وعمل الحشوات النهائية ومتابعة تقلص الخراج من خلال الاشعة الدورية.
التهاب العصب السني:(٦)
لتجنب الوصول إلى هذه المرحلة المرهقة والمكلفة ماديا:
١- حافظ على نظافة أسنانك يوميا
٢-حافظ على زيارات الفحص الدوري وأشعة ما بين الأسنان
٣-راجع طبيبك عند الشعور بأي مشكلة
٤-لا تهمل التسوس مهما كان صغيرا

جاري تحميل الاقتراحات...