Saleh AlHomead🦷.
Saleh AlHomead🦷.

@SalMolars

40 تغريدة 26 قراءة Apr 15, 2021
*سلسلة تغريدات عن الأطفال تُهِم جميع طلاب الأسنان و كل اب و ام .*
فيها أكثر من ٤٠ سؤال حيمر عليك واحد منها بالعيادة لا محالة ، أو كوالد أو والدة بيخطر ببالكم واحد منها بيوم من الأيام.
*فضلها حتستفيد منها.*
كنت اتعب قبل وانا ابحث عن اجابة الاسئلة بالتفصيل الممل وتكون من مصدر موثوق!
لكن لقيت هالرفرنس أو المرجع الرائع الي يجيب عن اغلب الاسئلة المتوقعة و غير المتوقعة بطريقة جدا ممتعة و مبسطة!
*للي حاب يعرف أكثر ممكن يطلع عليه.
نرتب افكارنا بالمحاور الرئيسية:
١.النمو و التكوين.
٢.التغذية.
٣.النظافة و العناية بالفم.
٤.معجون الأسنان و الفلورايد.
٥.تسوس الأسنان.
٦.الزيارة الاولى لطبيب الأسنان.
٧.العادات المكتسبة.
٨.إصابات الأسنان.
٩.الزيارة الدورية.
*النمو و التكوين:
١. ممكن تأثر صحة الأم بالحمل على أسنان و فم الطفل؟
نعم، كيف! بالعادات السيئة مثل التدخين بالنوعين المباشر و السلبي وأكيد استخدام أدوية تكون توصل للجنين.
٢.متى يظهر السن اللبني الأول؟
بالعادة تظهر الأسنان السفلية الأمامية بين ٦-٧ أشهر ولكن ما يمنع لو بدأ التسنين من عمر ٤ أشهر وممكن تبدأ مرحلة التسنين بعمر ١٢ شهر.
كم عدد أسنان الأطفال اللبنية؟
٢٠ سن طبعاً، ولكن في حال ملاحظة زيادة آو نقص راجع طبيبك لتقييم الحالة.
٤.متى تبدأ تقلق بتأخر التسنين؟
التأخر وارد ولكن بعد عمر السنة لازم تزور طبيبك.
٥.ليه يسيل لعاب الأطفال بكثرة؟ هل سيلان اللعاب يدل على مشكلة؟
لا بالعكس طبيعي ، يبدأ بعد عمر شهرين إلى ٣ أشهر ويزيد بمرحلة التسنين.
*التغذية*
٦.هل في أطعمة تأثر على أسنان الطفل سلباً وعكسها؟
كالعادة أعداء الأسنان السكر و النشويات و أخوهم المتنكر حليب النكهات المحلى
٧. طيب شنو أفضل مشروبات أو أطعمة؟
أكيد الحليب الطبيعي و العصائر الطبيعية ولكن معلومة يمكن جديدة على البعض أكل الفواكة بصورتها الأساسية أفضل بكثير
٨.طيب عرفنا أنه السكر و النشويات تزيد التسوس في غيرهم والا بس هالاثنين؟
اي فيه، بنضيف عليهم الأطعمة الهلامية و اللزجة الي عندها نسبة عالية بالالتصاق بالأسنان.
٩.شسوي اذا قام طفلي بكى بالليل جيعان؟
تقدر ترضعه اذا له فترة من اخر مره ولكن اذا كان اخر مره قريب فحط له ماء بالرضاعة.
١٠.متى المفروض افطم طفلي عشان لا تتأثر أسنانه؟
ينقسم الجواب لجزئين:
*اذا كان يرضع طبيعي و بالرضاعة فيبدأ فطمه تدريجياً من الرضاعة الزجاجية بعمر ٦ الى ٨ أشهر.
*اذا كان معتمد على الرضاعة الزجاجية فالقيام يبدأ من عمر سنة تدريجياً.
طبعاً بهالفترة يتم تدريبة على كوب الأطفال.
*النظافة و العناية بالفم*
١١.متى المفروض ابدأ انظف فم طفلي؟
بعد الشهر الاول حيتقبل انو تنظف فمه.
١٢.طيب شنو استعمل لتنظيف فمه؟
ممكن قطعة قماش نظيفة وتكون ناعمة أو شاش معقم يفي بالغرض.
١٣.متى ابدأ انظف اسنان طفلي و اهتم فيها؟
بعد ظهور أول سن يبدأ مشوار تنظيف الأسنان المكثف وفي أثناء هالفترة تبدأ مرحلة التدريب على فرشاة الأسنان و تخليه يشوفك وانت تنظف اسنانك وتبين له انها حاجة ممتعة من باب الترغيب.
*الفرشة لازم وضروري تكون ناعمة ومخصصة للأطفال.
١٤.كم مرة أنظف أسنان الطفل؟
الأفضل بعد كل رضعة اذا باقي ما ظهرت الأسنان ، لكن في حال ظهرت الأسنان الافضل تعويده من الصغر انه بعد كل وجبة ينظف أسنانه ولو بأسلوب مرح.
١٥.هل في مدة محددة لغسيل الأسنان؟
المدة تحددها طريقة التنظيف اذا كانت الطريقة صحيحة بتكون المدة قصيرة بالذات اذا كانت الأسنان باقي ما اكتملت جميعها لكن في حال كانت مكتملة فدقيقتين بطريقة التنظيف الصحيحة كافية.
١٦.شنو الفرشاة المناسبة لطفلي؟ اذا استخدم طفلي نفس فرشتي عادي؟
انسب فرشاة للطفل الفرشاة الناعمة بصورة عامة ، وبصورة خاصة انت تقيم مقاس فرشة طفلك بحسب حجم اسنانه و الأفضل يكون مقبضها طويل عشان يعطيه راحة بالتحكم.
١٧.بعمر كم اقدر اخليه يعتمد على نفسه بتنظيف أسنانه؟
مافي عمر محدد ، من طفل لثاني يختلف مدى التمكن ولكن بالغالب يكون جاهز من عمر ٤ أو ٥ سنوات إلى البعض بعمر ٧ أو ٨ سنوات.
١٨.طيب ينفع انظف اسنان طفلي بالخيط؟
اكيد وببعض الحالات يكون ضروري اذا كان في اماكن ما توصل لها الفرشاة.
*في عود اسنان معه خيط اسنان حيكون اسهل استخدامه مقارنة بالطريقة التقليدية بخيط الاسنان العادي.
١٩.في حال المرض هل تتغير طريقة العناية بالفم؟
لا، لكن حتزيد نسبة الاهتمام للحد من انتشار العدوى وتجنب الاصابة بامراض مزامنة لان الجسم منظومة واحدة اذا اختل حاجه منه حيختل حاجات ثانية معاه.
*بعد الشفاء لازم تستبدل فرشاة الطفل بفرشاة جديدة.
٢٠.طفلي دايم يشتكي أو يصاب بالتهاب بالاذن وما اعرف السبب!
احد اسباب الاصابة بالتهاب الاذن ممكن يكون عدم الاهتمام الكافي بنظافة الفم لأنهم مرتبطين عن طريق قنوات فمن الممكن انتقال البكتيريا بواسطتها.
٢١. متى أهم وقت ممكن ينظف طفلي أسنانه فيه؟
قبل النوم،
قبل النوم،
قبل النوم،
عند الاستيقاظ وبعد الوجبات.
٢٢.احياناً تطلع ريحة كريهه من فم طفلي شنو مسبباتها؟
عدم تنظيف الأسنان بالشكل الصحيح
عدم استخدام الخيط
عدم تنظيف اللسان
اذا كنت تقوم بهالثلاثة اشياء واستمرت الريحة توجة لطبيبك لتقييم الحالة ،، ممكن يكون عنده تسوس غير ظاهر تتجمع فيه بقايا الطعام او اتهاب بالحلق او بالجهاز الهضمي.
*معجون الأسنان و الفلورايد*
أكثر سؤال يتكرر شنو الفلورايد؟؟؟
عنصر كيميائي موجود بالطبيعة مثل الماء و بعض الأطعمة و التربة ، يبني مقاومة عالية ضد التسوس ويساعد على تقوية مينا الأسنان.
٢٤.متى ممكن استخدم المعجون لطفلي؟
بعمر سنتين أو ثلاث سنوات.
٢٥.عادي استخدم لطفلي نفس معجوني؟
لا اكيد، لان نسبة الفلورايد بمعجون البالغين ضعف أو أكثر من النسبة الموجودة بمعاجين الأطفال و حيسبب له مشاكل بتكوين الاسنان الدائمة.
٢٦.شنو كمية المعجون المناسبة لطفلي على فرشاة الاسنان؟
مسحة بسيطة تكفي لعمر سنتين لخمس سنوات، ومن عمر ٦ سنوات بحجم البازلاء تكون كافية للأطفال.
٢٧.طفلي يبلع المعجون كيف امنع هالعادة؟
لازم تشرف عليه وقت تنظيفة لاسنانه عشان نتجنب هالعادة عشان لا يأثر عليه بتكوين اسنانه الدائمة.
*في حال بلع كميات كبيرة احرص على شربه للحليب بعدها ، في حال الشعور بالغثيان و دوخه انقله للمستشفى.
٢٨.الماء عندي نسبة الفلورايد عالية هل اغلي الماء أو أركب فلتر؟
هالسؤال مر علي من شخص موظف بالمياة..
غلي الماء ما راح ينفع ، بعض الفلاتر ممكن تعدل من المكونات المعدنية للمياة و الحل الاخير في حال عدم فائدة الفلتر هو تغيير مصدر المياة.
*تسوس الأسنان*
كلنا عارفين العوامل المسببه للتسوس لكن كيف يصير التسوس؟
بمعادلة بسيطة:
سكر + بكتيريا = حمض
حمض + مينا الأسنان = تسوس
٣٠.هل حليب الام يسبب التسوس؟
نعم، في حال ترك الحليب على الاسنان بصورة متكررة أو ارضاع الطفل أثناء النوم.
*حتى قبل ظهور الأسنان يجب المحافظة على نظافة فم الرضيع أو الطفل لتجنب الاصابة ببعض الامراض المتعلقة بنظافة الفم.
*الزيارة الاولى لعيادة الأسنان*
٣١.متى تكون أول زيارة لطبيب الأسنان؟
بعد ظهور أول سن أو بحلول ميلاد الطفل الأول.
٣٢.كم المدة المناسبة لموعد الأسنان؟
نص ساعة مناسبة.
٣٣. ليه يزور طبيب الأسنان و باقي ما اكتملت اسنانه؟ مو بدري يروح بعد أول سن يظهر؟
لا، مو بالضرورة يكون في مشكلة عشان يزور طبيب الأسنان! الافضل انه يزوره عشان يكون فكرة كويسة عن طبيب الأسنان انه مو مصدر خوف بالعكس ياخذ فكرة انه من مصلحته يزوره بصفة دورية.
*العادات*
٣٤.طفلي يمص اصبعه هل يأثر على اسنانه وفكه؟
يعتمد الأثير على تكرار العادة و مدتها و شدتها، لكن ممارسة العادة بعد عمر ٣ سنوات بيكون أكثر تأثير أو وضوح.
٣٥.كيف اقنع طفلي يبطل هالعادة؟
اولا المحاولة لما يكون جاهز عقلياً لأنه في حال غير ذلك حيكتسب صفة تجاهل التعليمات.
٣٦.في اي سن لازم يوقفها الطفل؟
بعمر ٣سنوات واذا توقف الطفل عنها قبل عمر ٤ سنوات بتختفي بعض مشاكل العض أو اطباق الفك وتصحح نفسها بالغالب
٣٧.طفلي عنده عادة قضم الاظافر هل تضر اسنانه وكيف يوقفها؟
مافي حقيقة تثبت انها مضره للأسنان لكنها عادة غير لائقة التحفيز و تذكيره ممكن يكون الحل
*العادات*
٣٨.شنو ممكن تتمثل فيه اصابات الاسنان و الفم؟
الامثلة كثير لكن ابرزها:
١.السقوط
٢.الاصتدامات
٣.الزوايا الحادة
٤.الدرج
٥.الادوات الحادة
٦.الاسلاك الكهربائية
٧.أو حتى الاصابات بالفرشاة اثناء تنظيف الأسنان
٣٩.طفلي طاح من الدرج وانكسر سنه اللبني كيف اتصرف؟
حيطلع الدائم مكانه ، لكن يحتاج يزور الطبيب لتقييم الحالة و التأكد من سلامة بقية الأسنان.
٤٠.شنو الاسعافات الاولية للفم و الاسنان؟
القاعدة الأساسية خلك هادي، نظف وجه الطفل في حال وجود دم، حاول ايقاف النزيف، توجه للمستشفى.
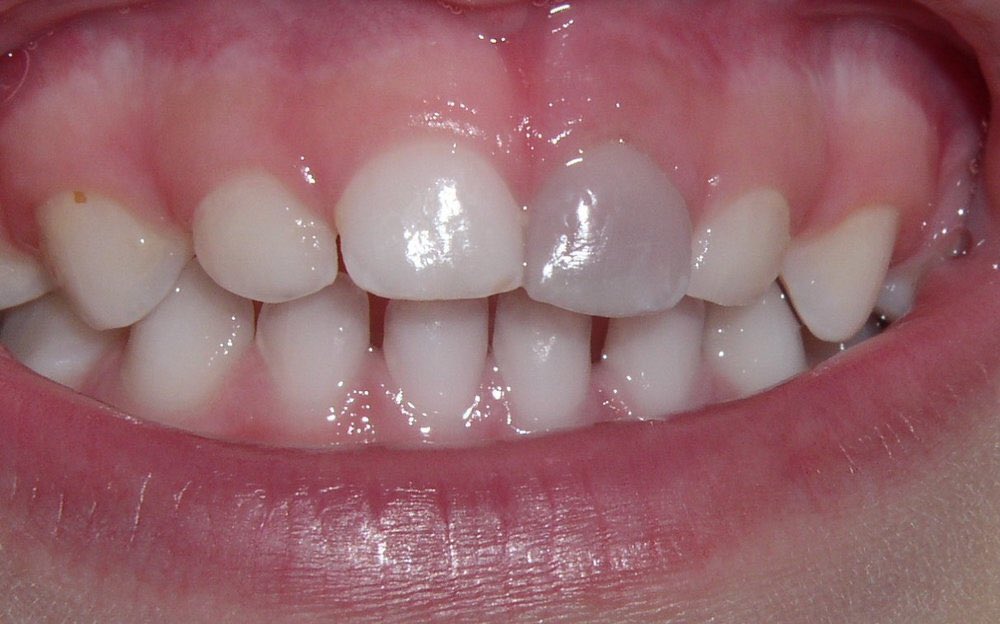
٤١.طفلي جاه اصابة على اسنانه وبعد فترة تغير لون السن شنو السبب؟
طبيعي بعد الاصابات المباشرة للأسنان ،بتسبب نزيف داخل السن حلولها كالتالي:
١.زيارة الطبيب لتقييم الحالة بعد الفحص.
٢.قد يكون العلاج مراقبة دورية ، علاج عصب ، ازالة السن المتضرر لتعويضه بالدائم بالوقت المناسب.
٤٢.كيف اخفف الم التسنين؟
بتدليك اللثة بالأصبع أو بقطعة قماش نظيفة ولتسهيل عملية التسنين استخدم العضاضة أو حلقة التسنين.
*الزيارة الدورية*
٤٣.كم مرة المفروض ازور طبيب الأسنان؟
كل ٦ أشهر حتى لو مافي مشكلة، ومباشرة في حال ظهور اي مشكلة.
شاركونا الاسئلة الي مرت عليكم تحت هالثريد 🤝.

جاري تحميل الاقتراحات...