Abdullah albaraki | عبدالله البركي
Abdullah albaraki | عبدالله البركي

@Abdull_434

14 تغريدة 54 قراءة Dec 07, 2020
ليش ابتسامة هوليوود أكبر خطأ ممكن تسويه في حياتك ؟ ❌❌❌❌
العنوان جذّاب بس هل هو صحيح ١٠٠٪ ؟
لا طبعا !
ابتسامة هوليوود خيار علاجي تجميلي ممتاز جدًا ولكن مين الشخص اللي تناسبه "الابتسامة" وليش في كثير من الأحيان تكون خيار سيء !
راح أوضح بالتفصيل في التغريدات القادمة منشأ ابتسامة هوليوود وليش عليها جدل كثير .
يُقال بأن أول ابتسامة هوليوود تم عملها عن طريق الاستعانة بـ طبيب الأسنان Dr Charles Pincus في عام 1928 حيث أن أحد المخرجين طلب منه تصميم أسنان صناعية لغرض تصوير أحد المشاهد التصويرية في ذلك الوقت
مع الوقت استطاع هذا الطبيب تطوير مهاراته في تجميل الأسنان .. ما دفع بالكثير من مشاهير "هوليوود" في ذلك الوقت للاستفادة من خدمات دكتور تشارلز .
برزت قصة الفنانة Shirley Temple وتصدرت أغلفة المجلات و الصحف نتيجة فقدان أسنانها في سن مبكر ما تسبب لها بالاحراج الشديد حيث اضطرت إلى اللجوء إلى الدكتور تشارلز والاستفادة من خدماته ولبضع سنوات كانت الطفلة شيرلي حديث الجمهور كونها تملك الابتسامة الأجمل على الاطلاق .
عبر السنين بقيت هذه التقنية على ما هي عليه .. حل مؤقت غير فعّال و قل الإقبال عليه ... ولكن في الثمانينيات سَطع نجم تجميل الأسنان مرة أخرى، و لكن بتقنيات حديثة و بشكل اعتمادي أكثر حيث ساهمت التقنيات الحديثة في زيادة قوة الصاق التركيبات بالأسنان و دوامها لفترة أطول !
في مطلع الألفية .. أدّعت الكثير من الشركات و المصانع أن قوة الصاق العدسات قد تدوم لفترات طويلة تتجاوز الـ ٣٠ عام وبدأ مفهوم طب الأسنان التجميلي في الانتشار و أصبحت جملة "ابتسامة هوليوود" الهدف الأول لكثير من مراجعي عيادات الأسنان
طيب هل ابتسامة هوليوود شيء سيء بالكلية ؟ و متى احتاجها ؟ وهل هي الحل السحري لكل المشاكل زي ما تسوّق لها العيادات ؟
لازم نتفق على نقطة مهمة :
- حسن اختيار طبيب الأسنان و عدم الركض وراء الاعلانات المضللة و السخيفة مثل ٢٠ سن + ٥ اسنان مجانا ولا "ابتتسامتك علينا " القشر التجميلية - الفينيرز - ابتسامة هوليوود كلها مسميات لنفس الشيء .. نحت الاسنان اجراء مافيه رجعة أبدا اذا ما تم بشكل صحيح مصيبة !
ولله الحمد في السعودية الكثير من الأطبّاء الأكفاء والقادرين على اعطاء خطط علاجية مختلفة وتناسب كل شخص .. صدقني ابتسامة هوليوود ليست حل سحري و يوجد بدائل كثيرة الطبيب المتمكن ممكن يعرضها عليك وتؤدي الغرض .
ما خاب من استشار !
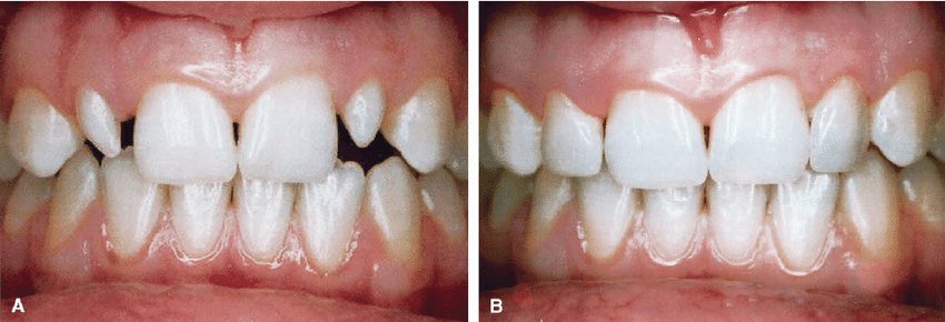
ابتسامة هوليوود حل جميل لحالات التصبغ الشديد الغير قابل للعلاج بالاساليب المعتادة من التنظيف و التبييض مثلا !
عندك مشكلة في سن واحد .. الطبيب المتمكن ما يحتاج يسوي لك كل اسنانك و يعطيك عرض الـ ٢٠ سن ! ممكن قشرة تجميلية وحدة تغير ابتسامة ب اكملها
"ابتسامة هوليوود" .. خيار علاج رائع اذا تم باشراف طبيب مختص ومتمكن .. لا تكن عرضة لجشع التجار في القطاع الخاص أو الخدمات العلاجية السيئة في الخارج
أسنانك أمانة عندك !
الأسئلة الشائعة عن ابتسامة هوليوود :
- هل ابتسامة هوليوود تحتاج نحت للاسنان ؟ نعم
- هل تسبب روائح ؟ اذا تم عملها بطريقة صحيحة عن طريق مختص لا تسبب روائح أبدا مع الاهتمام الجيد و المتابعة
- هل توجد بدائل ؟ نعم توجد بدائل كثيرة ويجب زيارة المختص للتشخيص المناسب

جاري تحميل الاقتراحات...