ريان | MD1TALK🌟
ريان | MD1TALK🌟

@md1talk

18 تغريدة 67 قراءة Oct 24, 2020
📍تحت هذا الثريد الضخمْ راح نشوف أهم وأميز الأشعة المتعلقة بأمراض الجهاز الهضمي بصور رهيبة مع نوتات إكلينيكية لكل صورة 🌟🤩❤️
✳️الثريد يحتوي على إجابة السؤال السابق
⚪️لاتنسون تفضلون الثريد قبل لا تبدأون راح تحتاجونه قدام ❤️
📍قبل لا نبدأ، لازم نتعرف على شكل الأشعة الطبيعية للبطن 👇🏻🌟
Abdominal XR
الأشعة المقطعية للبطن 🌟👇🏻
Abdominal CT
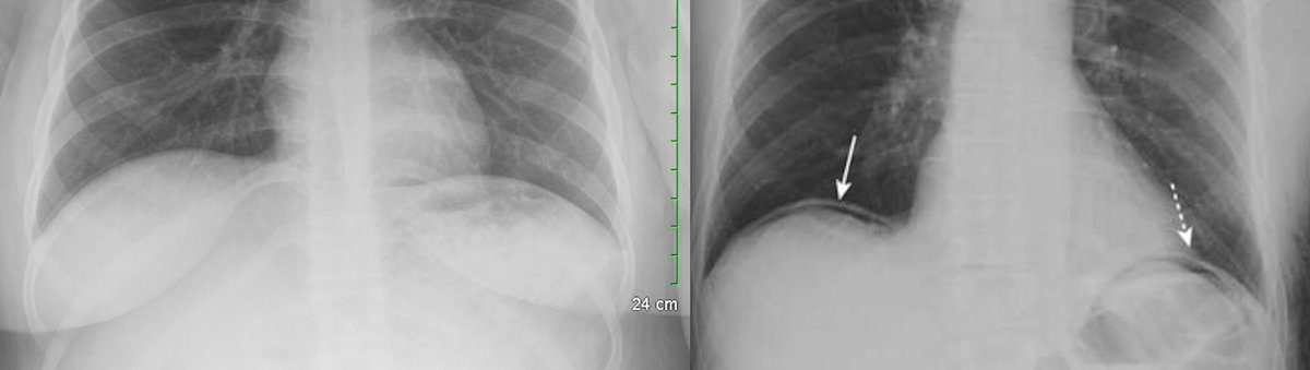
⚪️Football 🏈 Sign ➡️ indicates pnemoperitonium 🚨
✳️Think of perforated Viscus ‼️
⚪️Caterpillar Sign ➡️ indicates hypertrophic pyloric Stenosis
✳️Rule out malignancy first if RED FLAGS 🚩 are present
⚪️Mushroom 🍄 Sign ➡️ indicates pyloric Stenosis
✳️Seen in the barium meal 🥘
⚪️Rigler Triad ➡️ indicates cholecystoenteric Fistula with Big stone that obstruct small bowel (Gall stone ilues)
✳️Triad of:
1️⃣Pneumobilia (Air in the biliary tree 🌲)
2️⃣Small bowel obstruction Features
3️⃣Radio-Opaque Stone in the bowel (usually near the Terminal ilium)
⚪️Bird peak Sign or somtimes the rat 🐀 tail ➡️ indicates Achalasia
✳️long History of dysphagia + Wight loss + Bad breath
⚪️CrokScrew Sign ➡️ indicates Diffuse Esophageal Spasm (DES)
✳️should be considered as Dxx of chest pain and it can mimics ACS
⚪️Whirlpool Sign ➡️ indicates midgut Volvulus
✳️Acute LBO features should rise the suspicions‼️
⚪️Claw Sign ➡️ indicates intussusception
✳️Less than 15% of patients with intussusception present with the classic triad of abdominal pain, a palpable sausage-shaped abdominal mass, and blood per rectum‼️
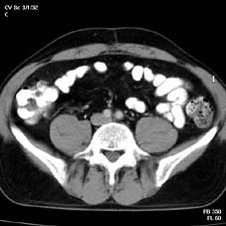
⚪️Targets Sign ➡️ indicates intussusception (seen in CT and US)
✳️Less than 15% of patients with intussusception present with the classic triad of abdominal pain, a palpable sausage-shaped abdominal mass, and blood per rectum‼️
⚪️Apple 🍎 Core Sign➡️ indicates Colon CA
✳️Know that‼️:
Right side Colon CA usually present with anemia and left present with Bowel obstruction
⚪️Coffe bean Sign➡️ indicates Sigmoid Volvulos
✳️Consider this in Acute LBO features
⚪️Air Under the diaphragm (somtimes the crescent 🌙 Sign) ➡️ indicates pneumoperitonium
✳️Think of perforated Viscus
⚪️LBO vs SBO very easy review 🤩❤️
✳️Miscellaneous collections 👇🏻🌟
✳️إذا أعجبكم الثريد لا تنسون تفضلونه وإن شاء الله راح أحدثه بإستمرار قدام ♻️ ❤️🌟

جاري تحميل الاقتراحات...