ريان | MD1TALK🌟
ريان | MD1TALK🌟

@md1talk

27 تغريدة 521 قراءة Aug 06, 2020
📍تخيّل أنك بالطوارئ وشفت أشعة مقطعية للرأس، كيف تقرأ وتستبعد الإحتمالات الخطيرة بطريقة منظّمة وسهله جداً
▫️هذا الثريد راح يكون مرجع كبير للأشعة المقطعية للرأس، مع صور أشعة شائعة ممكن تشوفها بالاختبارات أو حتى بالمستشفى 🏩
▫️قبل لا نبدأ، في أحد كتب الأشعة قريت هذه العبارة في مقدمة التشابتر الأول للكتاب
"أنت ترى فقط ماتبحث عنه، وأنت تبحث فقط عن ما تعرفه"
▫️وعن تجربة هذه العبارة واقعية ١٠٠٪، يوجد خفايا وأوصاف لكل صورة أشعة وعند معرفتها يسهل التشخيص لأي صورة مشابهه✅
▫️نبدأ بأشعة مقطعية طبيعية للرأس
Normal Head CT scan
▫️صور تشريحية جدا رائعة 🧠🌟
▫️أول ماتشوف أشعة مقطعية للرأس دايم تذكر هذه الجملة:
Blood🩸Can Be Very Bad
▫️وكل حرف يعني شيء راح نستبعده بالأشعة
أول حرف وكلمة وأهمّهمْ ⬅️ Blood 🩸
▫️تأكد دائماً دائماً من عدم وجود دم بالأشعة
✳️أنواع نزيف الرأس والأشعة لكل نوع 🌟👇🏻
▫️هذه الكلمات تعتبر دلالات قوية ممكن تكون متواجدة بالأسألة أو حتى شكوى المريض،ولقيتها في معظم بنوك الأسالة
▫️لخصتها بالصورة المرفقة 🌟👇🏻
▫️الحرف الثاني هو ال “C”
⬅️ويقصد فيه⬅️ Cisterns
✳️تمثل مساحات مليئة بالسائل الدماغي الشوكي "CSF” وكونها متصلة يعتبر شيء أساسي لل CSF circulation
✳️Related pathology✳️
Mass effect and ⬆️ ICP ➡️ effacing one or more of the cisterns
Subarachnoid hemorrhage
arachnoid cyst
▫️الحرف الثالث هو ال “B”
⏺ويقصد فيه ⬅️ Brain 🧠
🛑لازم نتأكد من عدم وجود الآتي:
✳️ Midline shift➕herniation
✳️فقدان Grey-white matter differentiation ⬅️ لأن فقدانها يدل على واحدة من العلامات المبكرة للجلطة
✳️ضمور “Atrophy”
✳️مناطق منخفضة أو عالية الكثافة "Hypo/Hyper-density
📍معلومة جدا مهمه 🌟👇🏻
▫️الأتي راح يكون عالي الكثافة "Hyperdense” في الأشعة المقطعية:
1️⃣Blood(Especially if it was recent)
2️⃣Calcification
3️⃣IV Contrast
▫️الأتي راح يكون منخفض الكثافة "Hypodense” في الأشعة المقطعية:
1️⃣Air/gas
2️⃣fat
3️⃣tumors
4️⃣CNS tissue after infract
▫️الحرف الرابع "V”
⏺ويقصد فيه ال Ventricle
✳️لازم نستبعد وجود دم في الحجرات زي اللي يحدث في حالات ⬅️ Interventricular hemorrhage
أو وجود أستسقاء مثل Hydrocephalus
✳️ ولازم نركز على حجم حجرات الدماغ ونتأكد أنها متساوية
▫️الحرف الأخير "B”
⏺ويقصد فيه ال Bone 🦴
✳️لازم نستبعد وجود كسور في عظم الجمجمة أو وجود هواء داخل الرأس ⬅️ pneumocephalus
▫️خلصنا الجزء الصعب ووصلنا للجزء السهل والممتع🤩💥
▫️في التغريدات القادمة راح أضع أشيع وأشهر الصور المقطعية مع وصف لكل صورة
✳️لايك للثريد عشان ترجع وتشوف هذي الصور بعد مدة وتتعود عليها
▫️Acute ischemic stroke 🌟🧠
✳️Axial CT of the brain demonstrate that the right MCA is hyperdense and there is loss of normal grey-white matter differentiation in the MCA territory
▫️ Acute ischemic stroke🌟🧠
3 days after the initial CT shows extensive bilateral MCA territory infarction and hypo attenuation
⏺Remember in the CT, The earliest finding of MCA occlusion is:
✳️hyperdense MCA sign ➡️
seen immediately and represents direct visualization of thrombus
✳️loss of grey-white matter differentiation ➕ hypoattenuation of deep nuclei
✳️cortical hypodensity ➕parenchymal swelling
▫️Extra edge ➡️ DWI 🌟🧠
✳️Diffusion restriction involving the entire right caudate nucleus and right lentiform nucleus, cortex of the anterior right temporal lobe and right parietal lobe
🛑DWI can detect stroke as early as 45 min after the onset of the occlusion
▫️Epidural hematoma🩸🧠
✳️Biconvex (Lens shape) that don’t cross suture lines
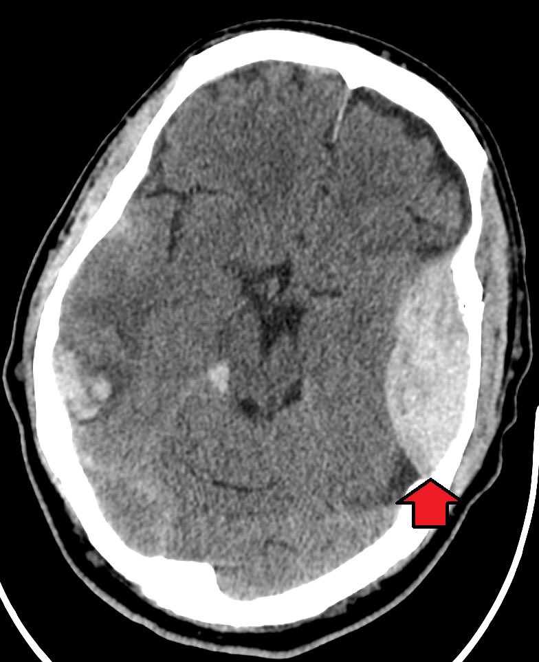
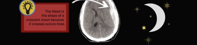
▫️Subdural hematoma🩸🧠
✳️Cresent shape that cross suture lines
✳️Have 3 main types 🌟👇🏻
🛑notice that, the acute commenly have medline shift
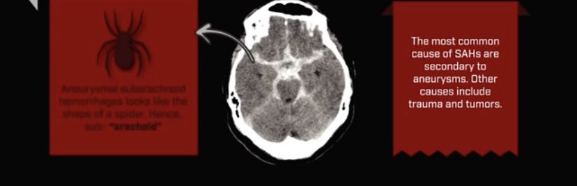
▫️Subarachinoid hemorrhage🩸🧠
✳️Blood in cisterns and fissures that resemble spider 🕷 shape
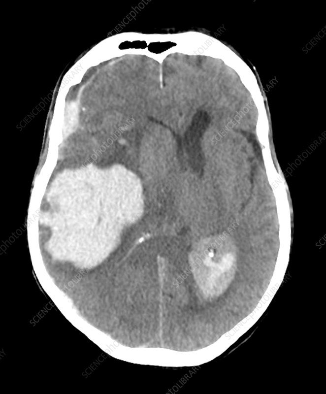
▫️intracerebral hemorrhage🩸🧠
✳️Blood in the parenchyma that is well defined
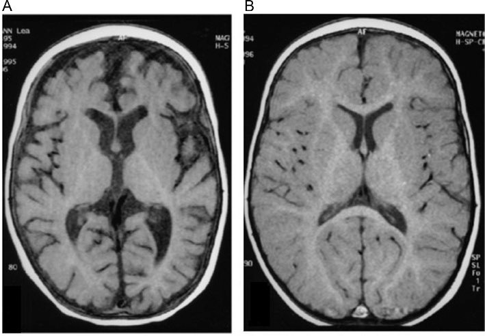
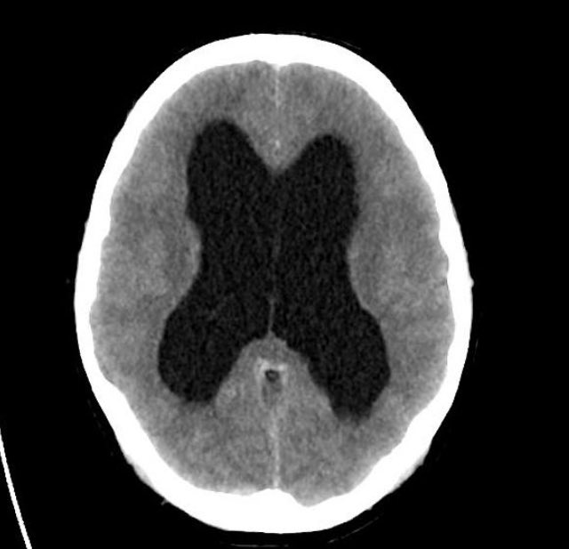
▫️Non-communicating Hydrocephalus
✳️ dilated lateral and third ventricle, but normal fourth ventricle.
▫️Herniation of the brain 🧠🌟
▫️Pneumocephalus 🧠🌟
✳️Defined as intracranial Air 💨
✳️Causes ➡️ Baroutrauma ➕ Valsava ➕Adjacent air sinus infection
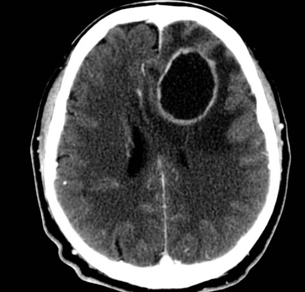
▫️Brain abscess 🧠🌟
✳️CT with contrast obtained 5 weeks later when the patient represented with headaches demonstrates a ring-enhancing lesion consistent with an abscess.
▫️أخيرا أتمنى يكون ثريد مفيد لكم، دعمكم للثريد والمجهود يعني الكثير ❤️
▫️إنشاء الله راح يتم إضافة أشعة وتحديث للثريد بإستمرار 🔁

جاري تحميل الاقتراحات...