🦴 #تقوس "ميلان" السيقان:
هل تعلم بأن التقوس إلى الداخل يحدث بشكل طبيعي عند الرضيع و حتى ١٨ شهر، ومن ثم تبدأ الأرجل في الاستقامة عند سن الثانية.
يبدأ الميلان الى الخارج عند عمر ٣-٤ سنوات "تلاصق الركبتين" حتى تصل إلى الشكل الطبيعي عند سن السابعة كما هو موضح بالصورة المرفقة👇🏼.
هل تعلم بأن التقوس إلى الداخل يحدث بشكل طبيعي عند الرضيع و حتى ١٨ شهر، ومن ثم تبدأ الأرجل في الاستقامة عند سن الثانية.
يبدأ الميلان الى الخارج عند عمر ٣-٤ سنوات "تلاصق الركبتين" حتى تصل إلى الشكل الطبيعي عند سن السابعة كما هو موضح بالصورة المرفقة👇🏼.
💡أسباب الميلان المرضية:
• مرض #بلاونت:
و فيه تتطور ساق الطفل بشكل غير طبيعي، وتنحني أسفل الركبتين، و عندما يبدأ طفلك في المشي، يصبح انحناء الساقين أسوأ.
قد تكون هذه الحالة واضحة في وقت مبكر، ولكن في بعض الحالات قد لا تكون الأعراض ملحوظة حتى يبلغ الطفل سن المراهقة.
• مرض #بلاونت:
و فيه تتطور ساق الطفل بشكل غير طبيعي، وتنحني أسفل الركبتين، و عندما يبدأ طفلك في المشي، يصبح انحناء الساقين أسوأ.
قد تكون هذه الحالة واضحة في وقت مبكر، ولكن في بعض الحالات قد لا تكون الأعراض ملحوظة حتى يبلغ الطفل سن المراهقة.
🔎 التشخيص:
من السهل ملاحظة الميلان، ولكن يمكن لطبيبك أن يخبرك بمدى خطورة الحالة أو ما إذا كان ناتجًا عن مرض كامن و ذلك بطلب:
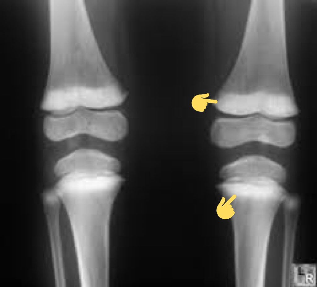
-⚠️ الأشعة السينية أو غيرها لعرض أي تشوهات عظمية في ساقيك وركبتيك.
-🩸فحوصات الدم للمساعدة في تحديد ما إذا كان الميلان ناتج عن حالة أخرى، مثل الكساح.
من السهل ملاحظة الميلان، ولكن يمكن لطبيبك أن يخبرك بمدى خطورة الحالة أو ما إذا كان ناتجًا عن مرض كامن و ذلك بطلب:
-⚠️ الأشعة السينية أو غيرها لعرض أي تشوهات عظمية في ساقيك وركبتيك.
-🩸فحوصات الدم للمساعدة في تحديد ما إذا كان الميلان ناتج عن حالة أخرى، مثل الكساح.
💡العلاج:
لا يُنصح بالعلاج عادة للرضع ما لم يتم تحديد حالة كامنة.
قد يوصى بالعلاج إذا كان تقوس الساقين شديد أو يزداد سوءًا، أو إذا تم تشخيص حالة مصاحبة وتشمل طرق العلاج:
- أحذية خاصة.
- مثبتات تقويمية.
- الجبس.
- جراحة تصحيحية.
- علاج الأمراض أو الحالات المسببة
@Rattibha
لا يُنصح بالعلاج عادة للرضع ما لم يتم تحديد حالة كامنة.
قد يوصى بالعلاج إذا كان تقوس الساقين شديد أو يزداد سوءًا، أو إذا تم تشخيص حالة مصاحبة وتشمل طرق العلاج:
- أحذية خاصة.
- مثبتات تقويمية.
- الجبس.
- جراحة تصحيحية.
- علاج الأمراض أو الحالات المسببة
@Rattibha
جاري تحميل الاقتراحات...