د. أحمد شاهر القحطاني
د. أحمد شاهر القحطاني

@dr_ahmed444

7 تغريدة 663 قراءة Jul 17, 2020
الجروح/التصبغات البيضاء في الفم
Oral white lesions/patches
تختلف أنواعها ومسبباتها وطرق علاجها. منها ماسببه:
جرح من سن او تقويم
التهابات وأمراض مناعية
تغيرات سرطانية
فطريات
ثريد مختصر عن أغلب هذي الجروح والتصبغات.
#oralmedicine
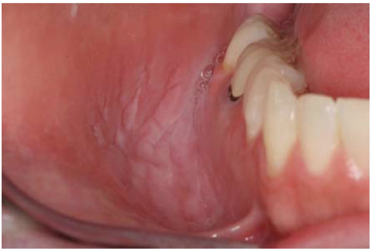
1️⃣
الجروح اللي تتكون بسبب وجود سن حاد/حشوة مكسور/تقويم الاسنان وتتكون غالباً على:
جانبي اللسان
الجزء الداخلي من الشفايف
جزء من الخد القريب من الأسنان
معالجة هالجروح يكون بتنعيم الجزء الحاد من السن/الحشوة ووضع شمع على التقويم. غالباً تختفي بعد اسبوعين من معالجة السبب
2️⃣
إلتهابات وأمراض مناعية تظهر بعض انواعها في الفم على شكل جروح بيضاء و حمراء مثل:
مرض الحزازة Lichen Planus
الذئبة الحمراء Systemic Lupus Erythematous
الحل: أخذ عينة من الجرح للمساعدة على التشخيص ووضع خطه علاجية للمريض
3️⃣
ليس كل طبقة بيضاء على اللسان فطريات
بعض الاشخاص عندهم قابلية لتكون هذي الطبقة ويتغير لونها بحسب الاكل والشراب.
** في حال عدم وجود أعراض للفطريات مثل حرقان في الفم او تغير في طعم الاكل فالحل هو فقط تنظيف اللسان باستخدام الفرشة الخاصة به وكذلك غسول للفم
4️⃣
بعض انواع الفطريات تظهر في الفم باللون الابيض
ممكن تكون بدون أعراض وممكن تسبب حرقان في الفم واللسان وتغير في حاسة الذوق (مثل طعم الحديد)
التغير في حاسة الذوق ممكن ايضا يكون بسبب مشاكل في حاسة الشم او الجيوب الانفية، مو شرط بسبب الفطريات.
الحل: استخدام مضاد الفطريات
5️⃣
جروح بيضاء تتكون بسبب:
الشمّه/التمباك: الطبقة البيضاء تتكون في المكان اللي توضع فيه غالباً
التدخين: الحنك غالباً يكون مائل للون الابيض
الحل: التوقف عن التدخين والشمّه ومراجعة الطبيب باستمرار لقابلية هذي الجروح للتحول الى سرطان الفم واخذ عينة من الجرح اذا لم تتحسن
6️⃣
تصبغات بيضاء تتكون في الفم بدون سبب معروف
مثل هالجروح ضروري أخذ عينة لااستبعاد وجود اي تغيرات ماقبل سرطان الفم dysplasia. بعد التشخيص الافضل تحويل المريض للجراح لإزالتها
ممكن ترجع بعد إزالتها لكن نسبة تحولها الى سرطان الفم تكون أقل. لذلك لازم تراجع طبيبك بشكل مستمر
انتهى
7️⃣

جاري تحميل الاقتراحات...