د. نبيل إسماعيل
د. نبيل إسماعيل

@Nabeelosis

4 تغريدة 189 قراءة Dec 02, 2020
10:40 pm
وصل مريض خمسيني للطوارئ بألم في الصدر لعدةساعات
لم يظهر تخطيط القلب👇🏻وقتها أي تغيرات خطيرة
🛑لكن بسبب وصف الألم ووجود التدخين كعامل خطورة، قرر طبيب الطوارئ الإبقاء عليه تحت الملاحظة لإعادة التخطيط وأنزيمات القلب

11:35 pm
توقف قلب المريض فجأة، وبدأ الإنعاش القلبي فورا
استمر الإنعاش القلبي لمدة ~15 دقيقة، كانت سبباً لاستعادة المريض لنبضه، لكنه ظل غائباً عن الوعي، ولذلك تم وضعه على جهاز التنفس الصناعي
وعند إعادة التخطيط👇🏻 تبين تطور الحالة إلى جلطة قلبية حادة

ولهذا السبب، تم استدعاء فريق القسطرة القلبية بشكل عاجل
12:45 am
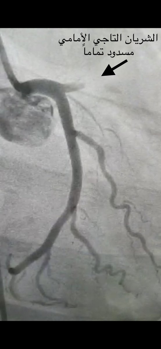
بينت القسطرة انسداد كامل بالشريان التاجي الأمامي
وتم علاجها بنجاح

خلال الـ12 ساعة التالية، استقرت العلامات الحيوية بالتدريج ولم يعد بحاجة لأجهزة دعم الضغط والتنفس

في اليوم التالي، خرج المريض من العناية المركزة بحالة مستقرة وفي كامل وعيه ويستطيع المشي ولله الحمد
دروس مستفادة
1️⃣آلام الصدر وخصوصاً التي تزيد مع المجهود او مصاحبة بغثيان أو تعرق، تحتاج تقييم طبي سريع
2️⃣التدخين سبب رئيسي لأمراض تصلب الشرايين، وكذلك السكر، ارتفاع الضغط والكوليسترول
3️⃣تخطيط القلب الطبيعي، لا يعني عدم وجود مشكلة بالقلب، ويجب أخذ ذلك في الاعتبار عند تقييم الحالة

جاري تحميل الاقتراحات...