#فصل_كبد_متبرع_متوفي_دماغياً
#حلول_لشُح_الأعضاء
بحمد الله تم نشر هذه الورقة العلمية عن #زراعة_الكبد بعد تقسيمها الى فصين من متوفية دماغياً لكي يستفيد منها مريضين على قائمةالإنتظار
clinmedjournals.org
@SaudiMOH
@scot_ksa
@KFSHDammam
@EitharSA
@kabidak
@E1_Cluster
@moh_eastern
#حلول_لشُح_الأعضاء
بحمد الله تم نشر هذه الورقة العلمية عن #زراعة_الكبد بعد تقسيمها الى فصين من متوفية دماغياً لكي يستفيد منها مريضين على قائمةالإنتظار
clinmedjournals.org
@SaudiMOH
@scot_ksa
@KFSHDammam
@EitharSA
@kabidak
@E1_Cluster
@moh_eastern
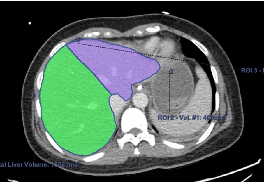
ما يميز هذا البحث اللذي تم نشره في احدى المجلات العلمية أن هذه العملية الجراحية اللتي تمت في مستشفى الملك فهد التخصصي بالدمام تعتبر الأولى من نوعها في المملكة للأسباب التالية:
👈تم فصل الكبد الى فصين داخل المتبرع تزامناً مع نبض القلب وارتفاع في ضغط الوريد المركزي
👈تم فصل الكبد الى فصين داخل المتبرع تزامناً مع نبض القلب وارتفاع في ضغط الوريد المركزي
👈تم زراعة كل فص ( الأيمن والأيسر ) في مريضين بالغين وليس كما جرت العادة في مريض بالغ والثاني طفل
في السنوات العشر الماضية ، مكّنت هذه التقنية الأطباء من تقليل وفيات قائمة انتظار الأطفال وكانت احدى الطرق لزيادة عدد الأعضاء المُتبرّع بها وتقليل نسبة الوفيات على قائمة الانتظار.
في السنوات العشر الماضية ، مكّنت هذه التقنية الأطباء من تقليل وفيات قائمة انتظار الأطفال وكانت احدى الطرق لزيادة عدد الأعضاء المُتبرّع بها وتقليل نسبة الوفيات على قائمة الانتظار.
الشروط الواجب توافرها لفصل الكبد:
✅أن يكون عمر المتبرع أصغر من ٥٠سنة.
✅إجراء العملية خلال فترة أقصاها ٧ أيام من تشخيص الوفاة الدماغية
✅ارتفاع أنزيمات الكبد لا يزيد عن ثلاثة أضعاف الطبيعي
✅عدم ارتفاع الصوديوم بنسب عالية
✅نسبة دهون الكبد لا تزيد عن ١٠٪
✅أن يكون عمر المتبرع أصغر من ٥٠سنة.
✅إجراء العملية خلال فترة أقصاها ٧ أيام من تشخيص الوفاة الدماغية
✅ارتفاع أنزيمات الكبد لا يزيد عن ثلاثة أضعاف الطبيعي
✅عدم ارتفاع الصوديوم بنسب عالية
✅نسبة دهون الكبد لا تزيد عن ١٠٪
جرت العادة تطبيق مفهومين رئيسيين في تقسيم الكبد:
👈الأول وهو الأكثر شيوعا : تقسيم الكبد من متوفي دماغيا الي جزء من الفص الأيسر وفص الجانب الأيمن الممتد ليتم زرعهما في طفل واحد وشخص بالغ
👈الأول وهو الأكثر شيوعا : تقسيم الكبد من متوفي دماغيا الي جزء من الفص الأيسر وفص الجانب الأيمن الممتد ليتم زرعهما في طفل واحد وشخص بالغ
نتائج هذه التقنية الجراحية ناجحة مقارنة مع زراعة الكبد الكامل لكل من الأطفال والمتلقي البالغ.
👈 المبدأ الثاني (وهو ما اتبعناه نحن) هو تقسيم الكبد من متوفي دماغيا الي نصفين كاملة تقريبا وكان الجانب الأيسر(الوريد الكبدي الأيسر+الوريد الكبدي الأوسط) لمريض بالغ صغير الحجم والجانب الايمن لمريض بالغ متوسط الحجم.
يُعد هذا النوع من عمليات زراعة الكبد مُعقّد جراحيا ويتطلب مستوى عالٍ من المهارة الفنية ومعرفة شاملة بالتغيرات التشريحية المحتملة.
جاري تحميل الاقتراحات...