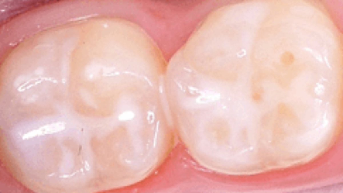
ماهي الطبقة الوقائية للأسنان ؟
هي عبارة عن طبقة رقيقة توضع على الأسطح الطاحنة للأسنان السليمة وذلك لسد التشققات الطبيعية الموجودة على الأسطح الطاحنة للأسنان الخلفية السليمة (بلا تسوس), ومن ثم التقليل من نسبة إصابتها بالتسوس.
#طب_اسنان_الاطفال
هي عبارة عن طبقة رقيقة توضع على الأسطح الطاحنة للأسنان السليمة وذلك لسد التشققات الطبيعية الموجودة على الأسطح الطاحنة للأسنان الخلفية السليمة (بلا تسوس), ومن ثم التقليل من نسبة إصابتها بالتسوس.
#طب_اسنان_الاطفال
هل هناك عمر محدد لاستخدامها ؟
ليس هناك عمر محدد لإستخدامها ولكن ينصح باستخدامها لـلأطفال والبالغين المعرضين للإصابة بالتسوس.
هل يكفي وضع الطبقة الوقائية مرة واحدة بالعمر دون ازالتها ؟
ينصح زيارة طبيب الأسنان بشكل دوري للتأكد من سلامة الطبقة و استبدالها إذا دعت الحاجة.
ليس هناك عمر محدد لإستخدامها ولكن ينصح باستخدامها لـلأطفال والبالغين المعرضين للإصابة بالتسوس.
هل يكفي وضع الطبقة الوقائية مرة واحدة بالعمر دون ازالتها ؟
ينصح زيارة طبيب الأسنان بشكل دوري للتأكد من سلامة الطبقة و استبدالها إذا دعت الحاجة.
هل للطبقة الوقائية فائدة كبيرة ؟
وهل تغني عن تفريش الأسنان وتنظيفها؟
بالرغم من أن الطبقة الوقائية هي الطريقة الأكثر فعالية للتقليل من نسبة تسوس الأسطح الطاحنة إلا انها لا تغني عن التنظيف بالفرشاة والمعجون وتنظيف مابين الأسنان بالخيط السني
المصدر-مدونه طب الاسنان الالكترونيه
وهل تغني عن تفريش الأسنان وتنظيفها؟
بالرغم من أن الطبقة الوقائية هي الطريقة الأكثر فعالية للتقليل من نسبة تسوس الأسطح الطاحنة إلا انها لا تغني عن التنظيف بالفرشاة والمعجون وتنظيف مابين الأسنان بالخيط السني
المصدر-مدونه طب الاسنان الالكترونيه
جاري تحميل الاقتراحات...