#السعودية
متلازمة مرض القلب المكسور
Takotsubo Cardiomyopathy
هو نادر ولكن يحدث وخاصة عند النساء في حالة الانهيار العاطفي الشديد بعد حدث إجتماعي جلل ...
من سماته توسع في النصف السفلي من البطين الأيسر ويؤدي إلى عجز مؤقت في وظائف القلب واحتقان الرئتين
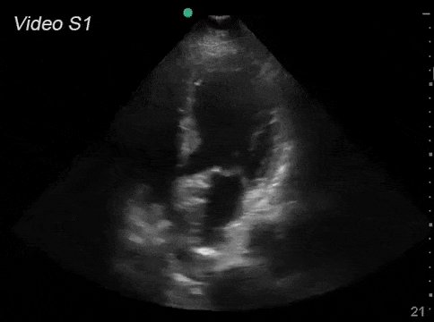
متلازمة مرض القلب المكسور
Takotsubo Cardiomyopathy
هو نادر ولكن يحدث وخاصة عند النساء في حالة الانهيار العاطفي الشديد بعد حدث إجتماعي جلل ...
من سماته توسع في النصف السفلي من البطين الأيسر ويؤدي إلى عجز مؤقت في وظائف القلب واحتقان الرئتين
سبب تسميته تاكوتسوبو أن في اليابان شبكة صيد الأخطبوط تسمى تاكوتسوبو وشبه المرض بها لان البطين الأيسر يتوسع في أسفله ويبقى أعلاه ضيق نسبيآ فيشبه شكل هذه الشبكه .....
النظريه السائده أن متلازمة Takotsubo أو متلازمة القلب المكسور ناتجه عن إفراز هرمون الأدرينالين من الجهاز العصبي بكميات تسوناميه تؤدي إلى عطل في عضلة البطين الأيسر وأحيانآ صدمه في الدوره الدمويه
جاري تحميل الاقتراحات...