عوض العُمري
عوض العُمري

@awadoooof

14 تغريدة 132 قراءة Jun 27, 2020
ثريد عن #الديكساميثازون وعلاقته بكوفيد ١٩...هل العلاقة قديمة ام جديدة بين #الالتهابات_التنفسية و #الديكساميثازون ؟ ماهي #متلازمة_الضائقة_التنفسية_الحادة وعلاقتها ب #الكوفيد_١٩
١- #الديكساميثازون هو احد انواع ادوية #الكورتيزون الشهيرة وهو موجود تقريباً بالاستخدام الطبي من عام ١٩٥٨ ...يستخدم لعلاج امراض مناعية كثيرة لخاصيته في تثبيط المناعة ويستخدم كمساعد علاجي لعلاج بعض انواع الاورام والالتهابات الحادة
٢-ويجب معرفة ان الالتهاب الناتج عن كثير من الفيروسات والباكتيريا التنفسية قد يتسبب للمريض بمشاكل واخطرها متلازمة تسمى #متلازمة_الضائقة_التنفسية_الحادة ARDS وهي (تصلب )شديد بأنسجة الرئة
٣-#متلازمة_الضائقة_التنفسية_الحادة تودي الى تليف الرئة بشكل كبير ومن ثم الوفاة ( وهذا المرض عبارة عن رد فعل كارثي للمواجهة بين الجرثومة او الفيروس وبين الجهاز المناعي للجسم ) وبذلك تكون قد تكون ردة فعل الجهاز المناعي مضرة بالجسم
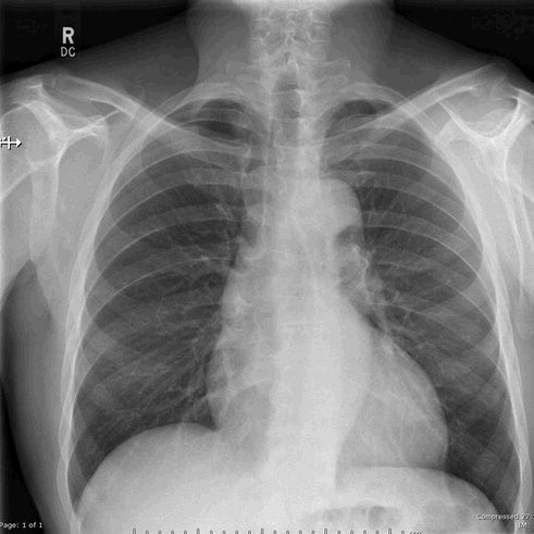
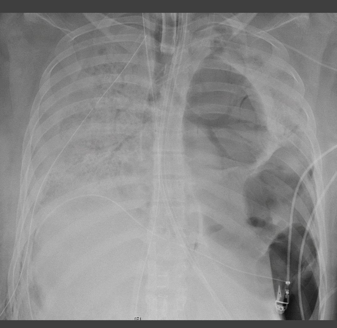
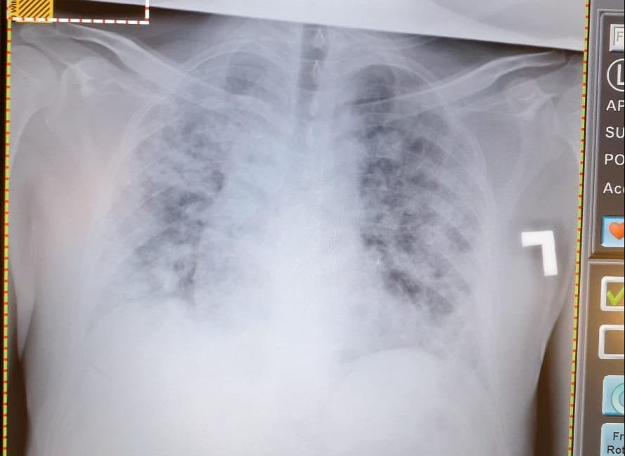
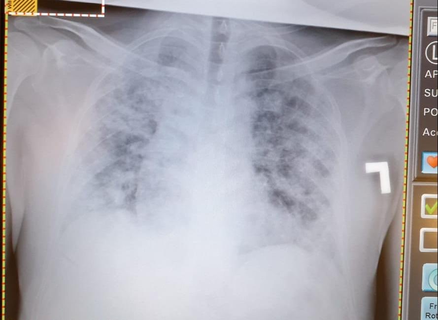
٤-هذه صورة للرئة الطبيعية قبل الالتهاب وصورة بعد دخول الرئة في متلازمة الضائقة التنفسية الحادة ARDS (هذا البياض الشديد عبارة عن التهاب حاد) ويصعب تبادل الغازات التنفسية وتصبح متصلبة ولاتستطيع العمل ومن ثم يتم وضع المريض علىً جهاز تنفسي ..
٥-في خلال هذه المرحلة يكون العلاج نوعان ..علاج للمرض الاساسي المسبب للالتهاب الرئوي بمضادات حيوية او غيرها...وعلاج للمتلازمة اللتي هي اخطر مضاعفات الالتهاب الرئوي وهنا يأتي دور الديكساميثازون او الكورتيزونات بصفة عامة
٦-لقد تم تجربة انواع كثيرة من الكورتيزون ومنها الديكساميثازون منذ سنوات طويلة في علاج متلازمة الضائقة التنفسية الحادة ARDS واثمرت الابحاث عن نتائج متضاربة خلال ال ٢٠ سنة المنصرمة كان من اهمها دراسة الدكتور ميدوري اللتي اجريت عام ١٩٩٨ اللتي كانت تشجع على استخدام الديكساميثازون
٧-طريقة عمل الديكساميثازون هي لتثبيط عمل الجهاز المناعي مؤقتاً ووقف الالتهاب الشديد بالرئة الناتج عن صراع مضادات الالتهاب اللتي يفرزها الجسم مع الفيروس او الباكتيريا المسببة للالتهاب وينتج عنه تأثر الانسجة الموجودة بالرئة من هذا الصراع
٨-بعد دراسة الدكتور ميدوري المؤيدة لاستخدام الديكساميثازون نزلت العشرات من الدراسات المؤيدة والرافضة لهذه النظرية في كثير من المجلات العالمية المختصة بعلم العناية الحرجة
٩-وكان دائما المعارضون لهذه الادوية مثل الديكساميثازون هو ارتباطها بمضاعفات كبيرة مثل ضعف المناعة وزيادة نسبة الالتهابات وضعف العضلات وعدم انتظام نسبة السكر لدى مرضى العناية الحرجة مع عدم وضوح فائدتها بشكل قاطع وأنها سلاح ذو حدين ...
١٠-بعد ٢٢ عاما من الجدل تأتي الدراسة الشهيرة ب Recovery (ولازالت النتائج مبدئية وليست نهائية )لتثبت ان هناك فائدة لاستخدام الديكساميثازون لمرضى متلازمة الضائقة التنفسية الحادة ARDS بالعناية الحرجة كمضاعفات للكوفيد ١٩ بل وحتى لمن هم في بداية المرض ويستخدمون الاوكسجين ...
١١-وفي نفس الوقت اثبتت نفس الدراسة ان استخدام الديكساميثازون غير مفيد وقد يكون مضر للمرضى المصابين بالكوفيد ١٩ ولايستخدمون الاوكسجين (اي لم تظهر عليهم علامات الالتهاب الشديدة )
١٢ختاماً...وتشير الابحاث ان الديكساميثازون قد يكون علاجاً جيداً لمضاعفات كوفيد ١٩ (ان وجدت) اذا استخدم بالوقت المناسب (كان المريض على أكسجين) ولكن قد لانستغرب ان اتت ابحاث جديدة تخالف هذا الرأي وأعتقد ان درس (الهايدروكسي كلوروكوين ) لايجب ان يمر مرور الكرام ونتعلم الكثير منه
١٣-على المراجع العلمية عدم (الطيران) بالعجة وتتبع أخبار القنوات الفضائية دون التدقيق والتمحيص ونتذكر دائماً ان (اذا أفلس التاجر رجع لدفاتره القديمه) والادوية المتوفرة حالياً هي ادوية تخفف من المضاعفات وتساعد جزئياً على النجاة من هذا المرض بعد لطف العلي القدير

جاري تحميل الاقتراحات...