د.هاني العبدلي
د.هاني العبدلي

@DRHANI_ALABDALY

13 تغريدة 177 قراءة Jun 26, 2020
هناك الكثير من الأمراض التي تؤدي إلى حدوث خللٍ في وظيفة الدماغ،من أحدها ضمور المخ/المخيخ،فكيف يحدث هذا المرض،وما هي الأمراض المرتبطة به ؟
والسؤال المتكرر الآخر:دكتور هاني ماهو الفرق الجوهري بين مرض الزهايمر والخرف ؟
سأتحدث الليلة -ان شاء الله- عن كل مايدور في "خلجاتكم😂" عن ذلك👍
1️⃣مع تقدمك في العمر تفقد طبيعياً بعض خلايا المخ بشكلٍ بطيء،لكن قد يحدث فقدان سريع لتلك الخلايا بسبب اصابةالشخص بضمور المخ،فما هو هذا المرض،وماهي الأمراض المرتبطة به؟
ضمور المخ هو فقدان خلايا الدماغ التي تسمى العصبونات،فيؤدي إلى حدوث خلل في الاتصالات التي تساعد الخلايا على التواصل
2️⃣كما ويسبب ضمور المخ حدوث العديد من الأمراض المختلفة التي تضر الدماغ،بما في ذلك السكتةالدماغية ومرض الزهايمر.
ويختلف متوسط عمر المصابين بضمور الدماغ بحسب سبب الضمور، فمرضى الزهايمر مثلاً يعيشون من3-8سنوات،أما مرضى التصلب المتعدد فيعيشون غالباً بالعمر الطبيعي إذا تعالجوا بشكل جيد
3️⃣ماهي الأمراض المرتبطةبضمور المخ ؟
قديكون يحدث ضمور المخ بسبب التقدم في العمر أو بدون أسبابٍ واضحةٍ،ولكن هناك عدةأمراض يمكن أن تسبب الضمور الدماغي وهي:
* السكتةالدماغية:تؤدي إلى إصابة الدماغ
* مرض الزهايمر:الخرف الأمامي الصدغي أيضاً
* الشلل الدماغي:يتأثر التنسيق الحركي في المخ
4️⃣ *مرض هنتنغتون: والأمراض الوراثية الأخرى المرتبطة بالطفرات الوراثية.
*اعتلالات دماغية:قدتنتقل وراثياً وغالباً تؤدي إلى الوفاة.
*التصلب المتعدد: الذي يسبب الإلتهاب، و تلف المايلين، والافات في الأنسجة الدماغية.
* الأمراض المعدية: مثل التهاب الدماغ، والزهري العصبي، والإيدز، وغيرها
5️⃣ ما هي أعراضه؟
تختلف أعراض ضمور الدماغ حسب المنطقة التي تتأثر، ومنها:
*الخرف:هو فقدان الذاكرة والتعلم والتفكير والوظائف التنفيذية مثل التخطيط والتنظيم.
*النوبات:هي زيادات في النشاط الكهربائي غير الطبيعي في الدماغ تسبب حركات متكررة فيه، وحدوث تشنجات، وأحياناً فقدان الوعي.
يتبع..
6️⃣يتبع
* الحبسة: وهي عبارةٌ عن مجموعةٍ من الاضطرابات التي تؤدي إلى خللٍ في التحدث وفهم اللغة،وهناك نوعين منها:
1.الحبسة الإنقباضية والتي تسبب ضعفاً في الفهم
2.الحبسة التعبيرية والتي تنعكس في الخيارات الفردية للكلمات، واستخدام العبارات الجزئية،والجمل غير المكتملة.
وهناك أعراض أخرى
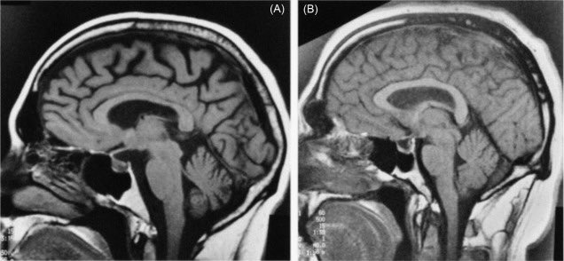
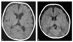
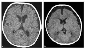
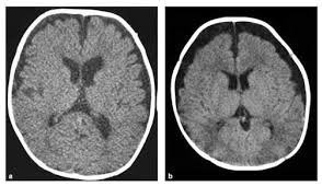
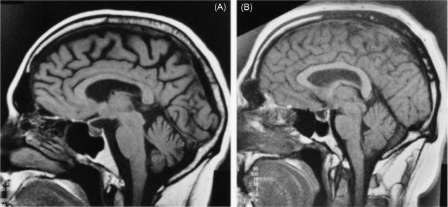
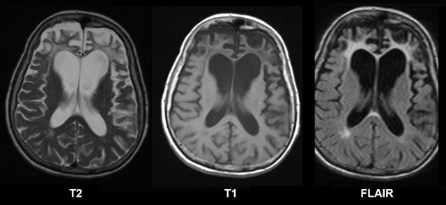
7️⃣تشخيص ضمور المخ
عادةً مايتضمن التشخيص اختباراً بدنياً يتبعه اختباراتٍ معينةٍ،ويظهر ضمور الدماغ في عمليات مسح تصوير الدماغ منها:
*الأشعةالمقطعية(CT)مثل صور الأشعةالسينية من زوايا مختلفةٍ لإنشاء صورٍ مفصلةٍ للدماغ
*الرنين المغناطيسي(MRI)الذي يخلق صوراً دماغيةً عالية الدقة للتشخيص
8️⃣كيف يمكن علاجه؟
إن كل حالةٍ تسبب ضمور الدماغ تعالج بطريقةٍ مختلفةٍ عن الأخرى مثل:
*تعالج السكتة الدماغية بأدوية مثل البلازمينوجين المناعي (TPA)، الذي يذيب الجلطة لاستعادة تدفق الدم إلى الدماغ، ويمكن علاجها بالجراحة التي تزيل الجلطة أو تصلح الأوعية التالفة..
يتبع..
9️⃣وتساعد الأدوية المضادة للتخثر وعلاجات خفض ضغط الدم في منع حدوث سكتةٍ دماغيةٍ أخرى.
* تعالج إصابات الدماغ الرضحية بجراحةٍ تمنع حدوث تلف إضافي لخلايا الدماغ.
*غالباً مايتم علاج مرض التصلب العصبي المتعدد بالأدوية التي تساعد على منع هجمات نظام المناعة التي تتلف الخلايا العصبية.
🔟 *يتم علاج الإيدز وبعض أشكال التهاب الدماغ بالأدوية المضادة للفيروسات،وكذلك الكورتيزون والأدوية.
*يعالج مرض الزهري بالمضادات الحيوية التي تساعد في منع تلف الخلايا العصبية والمضاعفات الأخرى الناجمة عن المرض.
*لايوجد علاج حقيقي لضمور الدماغ الناتج عن مرض الزهايمر،أو مرض هنتنغتون
1️⃣1️⃣ماهو الفرق الجوهري بين مرض الزهايمر والخرف؟
-يعرف الخرف بأنه تدهور تدريجي متطور للقدرات العقليةللإنسان.يتم التعبير عن ذلك بحدوث اضطرابات ذاكرة،تغيرات شخصية، الارتباك، الاضطراب الوظيفي وغيرها.
الخرف هو عرض أكثر من انه مرض، يمكن للعديد من الأمراض أن تؤدي إلى الخرف منها الزهايمر
1️⃣2️⃣عندحدوث مشاكل في الذاكرة/نسيان/عدم تركيز/اضطرابات في الحفظ والفهم وخصوصاً بعدحدوث اصابات-التهابات-مشاكل في الدماغ،فالخط التشخيصي والعلاجي الأول هو أن تتوجه الى استشاري المخ والأعصاب👌لتقصي الأسباب ومعرفتها والوصول الى التشخيص الصحيح والخطة العلاجية المناسبة لك👍
دمتم بـ ود🌹

جاري تحميل الاقتراحات...