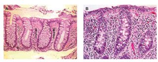
🔆 انواع المرض
1️⃣ التهاب القولون الكولاجيني Collagenous
2️⃣ التهاب القولون الليمفاوي
lymphocytic
✳️ يتم تحديد النوع من خلال العينة
✳️ ويوجد تشابه بين النوعين في الاعراض وطرق التشخيص والعلاج
1️⃣ التهاب القولون الكولاجيني Collagenous
2️⃣ التهاب القولون الليمفاوي
lymphocytic
✳️ يتم تحديد النوع من خلال العينة
✳️ ويوجد تشابه بين النوعين في الاعراض وطرق التشخيص والعلاج
🔆 أعراض المرض
📍الإسهال المزمن بدون دم / مائي
📍الاستيقاظ من النوم ليلا للاخراج
📍الالام وتقلصات بالبطن
📍انتفاخات البطن
📍نقص الوزن والجفاف
📍عدم التحكم (سلس) البراز
📍قد يصاحبها اعراض خمول والالام بالمفاصل والتهابات العين لدى بعض المرضى
📍الإسهال المزمن بدون دم / مائي
📍الاستيقاظ من النوم ليلا للاخراج
📍الالام وتقلصات بالبطن
📍انتفاخات البطن
📍نقص الوزن والجفاف
📍عدم التحكم (سلس) البراز
📍قد يصاحبها اعراض خمول والالام بالمفاصل والتهابات العين لدى بعض المرضى
🔆 عوامل الاصابة
📍التقدم بالعمر / اعمل بين ٥٠-٧٠ عام
📍النساء اكثر عرضة بالاصابة
📍التدخين
📍أسباب وراثية
📍استخدام بعض الادوية مثل :
💊 مسكنات الالم كالبروفين والاسبرين واشباهها
💊بعض ادوية الحموضة
💊بعض ادوية الكوليسترول
💊بعض الادوية المستخدمة في الطب النفسي
وغيرها
📍التقدم بالعمر / اعمل بين ٥٠-٧٠ عام
📍النساء اكثر عرضة بالاصابة
📍التدخين
📍أسباب وراثية
📍استخدام بعض الادوية مثل :
💊 مسكنات الالم كالبروفين والاسبرين واشباهها
💊بعض ادوية الحموضة
💊بعض ادوية الكوليسترول
💊بعض الادوية المستخدمة في الطب النفسي
وغيرها
🔆 طرق العلاج
📍ايقاف اي دواء مشتبه بدوره بالاصابة
📍ايقاف التدخين
📍استخدام ادوية للتحكم في الاسهال اذا كانت الاعراض خفيفة
📍مشتقات الكورتيزون ومن اهمها budesonide
📍ادوية مثبطات المناعة في الحالات التي لا تستجيب للخطة العلاجية المبدئية
📍الجراحة حل اخير اذا فشلت جميع الادوية
📍ايقاف اي دواء مشتبه بدوره بالاصابة
📍ايقاف التدخين
📍استخدام ادوية للتحكم في الاسهال اذا كانت الاعراض خفيفة
📍مشتقات الكورتيزون ومن اهمها budesonide
📍ادوية مثبطات المناعة في الحالات التي لا تستجيب للخطة العلاجية المبدئية
📍الجراحة حل اخير اذا فشلت جميع الادوية
جاري تحميل الاقتراحات...