Mahmood Almasoudi 🔬
Mahmood Almasoudi 🔬

@mss96a

18 تغريدة 20 قراءة Aug 16, 2022
🛑 اليوم موضوعنا عن :
⚡️Peripheral Blood Smear⚡️
والذي يعتبر من التحاليل المميزة والمهمة في قسم Haematology.✅
بتكلم عنه بشكل مختصر ومفيد مع بعض الصور من تحت المجهر 🔬
بسم لله نبدأ ..💡
بتكلم عن :
📍استخدامه.
📍أنواعه وكيفية تحضيره.
📍العوامل الممكن تأثر جودة السمير.
📍وقراة الخلايا تحت المجهر.
⬛️ استخدامه:
هذا الفحص مهم في الكشف عن:
♦️أمراض الدم من خلال معرفة أشكال و أحجام خلايا الدم.
♦️وجود بعض الطفيليات في الدم.
⬛️ متى نستخدمه؟
🔸نشوف زياده او نقص في عدد خلايا الدم (نتائج CBC)
🔸نحتاج نحدد نوع الانيميا
🔸نعرف اذا لوكيميا acute or chronic
⬛️ انواع السمير:
معنا نوعين لعمل لسمير :
📌لسمير رقيقة او خفيفة (Thin blood smear)
تستخدم لمعرفة حجم وأشكال الخلايا (RBCs, WBCs, Platelets)
📌 لسمير غليظة او سميكه (Thick blood smear)
تستخدم للكشف عن بعض الطفيليات في الدم مثل الملاريا.
⬛️ طيب كيف أحضر فلم الدم خفيفة⁉️
🔹نحتاج قطرة دم من أنبوب EDTA
🔹و شريحه من نوع (Frosted) ونسجل معلومات المريض
🔹و شريحة أخرى (spreader slide) لفرد قطرة الدم
ونضع قطرة دم على شريحة زجاجية نظيفة وننشر القطرة بسرعه معتدله باستخدام شريحة زجاجية أخرى بزاوية بين ٣٠-٤٥ لتكوين (tongue shape) مثل ما موضح فصوره
وبعد ذالك يتم صبغهااا بواسطة Leishman Stain وبعد ما تنشف الشريحه، نشوفها تحت المجهر.
🔴 ولكن هناك عوامل تؤثر في جودة فلم الدم:
▪️حجم قطرة الدم.
اذا كانت كبيرة بيكون لسمير الدم غليظ (thick) وطويل أو اذا كانت صغيرة بيكون لسمير الدم رقيق(thin) وقصير.
▪️زاوية الشريحة الثانية لفرد الدم.
إذا كانت فوق ٤٥ بيكون لسمير قصير أو إذا كانت اقل عن ٣٠ بيكون لسمير طويل.
▪️سرعة حركة الشريحة الثانية
إذا كانت سرعه كبيرة بيكون شكلها مثل شريط عمودي.
⬛️ أما تحضير فلم الدم سميكة:
نضع قطرة دم على شريحة زجاجية آخرى وننشرها بشكل دائري باستخدام زاوية sperader slide
وبعد ذالك نصبغهااا بواسطة Giemsa Stain وبعد ما تنشف الشريحه، نشوفها تحت المجهر.
تنبيه 🔴
بإمكانا نحضر Thick و Thin في نفس الشريحة ونغمس thin سمير في methanol (fixative)
ومن ثم نصبغهاااا كامل.
كيف اشوف لسلايد تحت المجهر ⁉️
🔑 افضل مكان لتعرف على الاشكال والاحجام للخلايا هو ما بين body و tail ونمشي على لسلايده مثل ثعبان 🐍 snaked-like direction
1️⃣
نعدد أنواع WBC الى المئة ونعد معها nRBC و blast اذا كانت موجودة.
2️⃣
نشوف بعض انواع WBC الغير طبيعية :
ونقيمهااا +١، +٢ ….. +٤ مثل:
١- reactive lymphocyte
٢- toxic neutrophils
٣- hypersegmented neutrophils
وغيرها ….
3️⃣
نشوف أحجام RBCs
🎈حجم طبيعي (7.2um) ⬅️ Normocytic
🎈 او نقص في الحجم ⬅️ Microcytic
🎈 أو زيادة في الحجم ⬅️ Macrocytic
4️⃣
نشوف تركيز Hb في RBC
تركيز طبيعي ⬅️ Normochromic
تركيز منخفض ⬅️ Hypochromic
تركيز مرتفع ⬅️ Polychromsia
5️⃣
نشوف أحجام و أشكال RBC
اذا وجد اختلاف في اشكال RBC
◀️ Poikilocytosis
اذا وجد اختلاف في أحجام RBC
◀️ Anisocytosis
واذا إختلاف أحجام وأشكال RBC
◀️ Anisopoikilocytosis
نشوف تغير اشكال RBCs موضح فالجدول 👇
6️⃣
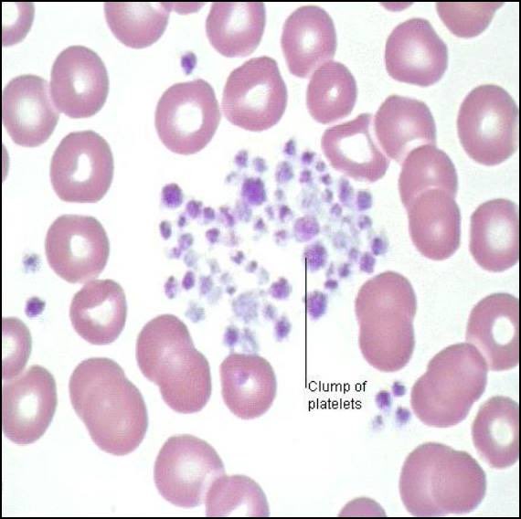
نشوف platelets
▪️عددها:
زيادة ⬅️ Thrombocytosis
انخفاض ⬅️ Thrombocytopenia
▪️حجمها:
اذا زاد ⬅️ تسمى Giant Platelets وتكون مساوية تقريبا إلى حجم RBC الطبيعي.
وكذلك نشوف اذا كانت متجمعه (clump of platelets)
7️⃣نشوف بعض الطفيليات 👇

جاري تحميل الاقتراحات...