د.صالح ال مخلص
د.صالح ال مخلص

@dralmukhlis

5 تغريدة 122 قراءة May 29, 2020
١
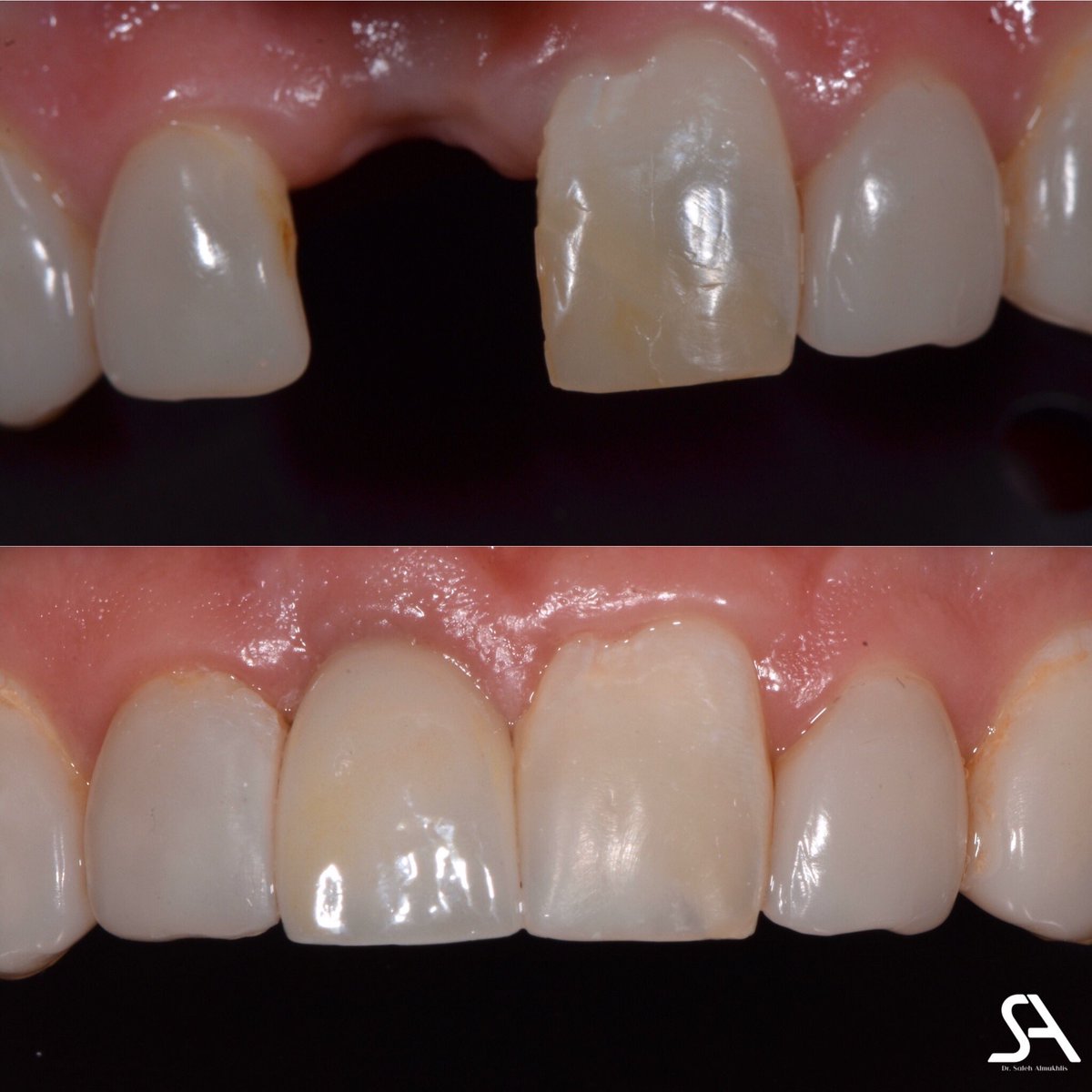
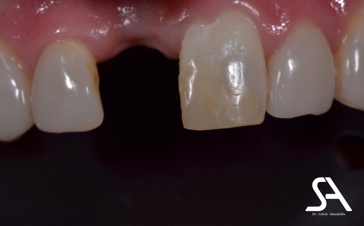
هذا المريض عاش معاناة مع فقدان احد اسنانه الأمامية لمدة طويلة. سبب خسارة احد اسنانه هي تحطمها خلال لعبه بأحد الألعاب الرياضية. صراحتا هذا المريض ابتسامته ماتفارق وجه وبشوش رغم ان لديه فراغ كبير.
في البدايه التشخيص الكامل للحاله وبعدها رسم الخطة العلاجية
٢
تم رسم الخطه العلاجية،وإعطاء المريض كذا خطه علاجيه مع شرح كامل لها وقد تمت الموافقة على خطه معينه. طبعًا يوجد عنده غياب احد الأسنان الاماميه وحشوة قديمه في السن الأمامي مع تغير ملحوظ في لونها.
الخطة العلاجيه كالاتي: تعويض الجزء المفقود بوضع زرعه أسنان، استبدال الحشوة القديمة
٣
في البداية مع انتهاء مدة الجزء الجراحي وأخذ الموافقة من طبيب الجراحة لعمل الجزء التاجي لها.
تم عمل تركيبة زراعية مؤقته لها وهي خطوة مهمة ليس لسد الفراغ وحسب ولكن لرسم شكل لثة الجزء المفقود وتكون ملائمه شكليًا ووظيفيًا لاستقبال التركيبة الدائمة
٤
هنا تم تغيير الحشوة القديمة وبعد ذلك اخذ الطبعة النهائية وإرساله للمعمل لعمل التركيبة النهائية لزرعة الأسنان.
بعض من خطوات تغيير الحشوة القديمه
٥
النتيجة النهائية للحالة بعد عمل تركيبه زراعية وتغيير الحشوة القديمة بأحد الاسنان الأمامية

جاري تحميل الاقتراحات...