Emad Aljahdaly M.D|🇸🇦د عماد سليمان الجحدلي
Emad Aljahdaly M.D|🇸🇦د عماد سليمان الجحدلي

@ealjahdli

17 تغريدة 79 قراءة May 27, 2020
السلام عليكم و رحمة الله. بحول الله اسرد لكم في هذا الثريد ما يجيب على معظم الاسئلة المتعلقة ب #جرثومة_المعدة اسبابها، اعراضها، طرق فحصها و علاجها. احفظ التغريدة و شاركها لتعم الفائدة باذن الله
بسم الله. #helicobacter_pylori او اختصارا H. pylori و المعروفة في مجتمعاتنا العربية بجرثومة المعدة هي نوع من البكتيريا التي تعيش في الجهاز الهضمي و بالاخص في بيئات صعبة ذات تركيز عالي من الاحماض كالمعدة الصفة التي تميزها عما سواها من الميكروبات
يتكون جسمها من عدة اجزاء تمكنها من العيش و التأقلم داخل المعدة. Flagella: تساعدتها على الحركة. Urease: انزيم تفرزه البكتيريا لمقاومة الاحماض القوية التي تفرزها المعدة لهضم الطعام و القضاء على البكتيريا التي يبتلعها الانسان. الاجزاء الاخرى تمكنها من الالتصاق بالجدار و عدم الانجراف
يعتقد ان ما يقارب نصف سكان الكرة الارضية مصابين بهذه البكتيريا و غالبيتهم العظمى لا يعلم انه مصاب لعدم وجود اي اعراض تذكر. رغم ذلك تعتبر جرثومة المعدة السبب الاول لقرحة المعدة و الاثنى عشر. يصاب معظم البشر بها اثناء الطفولة الصورة تبين نسب الاصابة في دول العالم
اما عن كيفية الاصابة، فهي غير معروفة تحديدا. لكن اغلب الفرضيات ترجح انتقالها من شخص لاخر عن طريق الاغذية الملوثة بفضلات اشخاص مصابين. يساعد على ذلك عدم غسل الأيدي بعد مغادرة دورات المياة و الاطعمة كالخضار و الفواكة بانتظام قبل الاكل. كما يعتقد انتقالها عبر مياة الشرب الملوثة.
الجرثومة لها القدرة على احداث سلسلة من الالتهابات في جدار المعدة جراء اختراقها للطبقات السطحية و ابطالها مفعول طبقة المخاط التي تفرزها المعدة لحماية جدارها من التآكل بسبب الحمض. تساعد بعض العوامل الاخرى كالتدخين، تناول الكافيين (القهوة)، و تناول مسكنات الالم في تسريع هذه العملية
قد تستغرق هذه العملية من سنين لاشهر حتى تبدأ الاعراض بالظهور بحسب حدة الالتهاب و درجة التلف في جدار المعدة او الاثنى عشر و بحسب وجود عوامل اخرى كما ذكرنا تساعد في تسريع ظهور الاعراض بكل اسرع. غالبية الاشخاص المصابين لا يعانون من اي اعراض و ذلك لان الالتهاب بسيط او غير موجود.
غالبا ما تنتج الاعراض بسبب حدوث التهاب حاد او تلف في جدار المعدة. من الاعراض الشائعة: غثيان، تقيء، فقدان الشهية (قد يصاحبه نزول في الوزن)، الشعور بالتخمة او الانتفاخ بعد الاكل، نزيف بسبب قرحة المعدة او الاثنى عشر. تنبيه: الاعراض بسبب الالتهاب الناتج عن الجرثومة و ليس وجودها فقط.
لفحص الاصابة بجرثومة المعدة، يمكننا اجراء اربعة انواع من الفحوصات: عن طريق اخذ عينة مباشرة بالمنظار، فحص التنفس، البراز، او الدم. فحص الدم يبين فقط اذا ما اصبت بالجرثومة او لا دون المساعدة على حالة الاصابة (نشطة او تم علاجها) و عادة لا يستخدم بشكل واسع. الفحوصات الاخرى اكثر دقة
الفحص الاول: فحص النفس. يطلب من الشخص شرب محلول يحتوي على يوريا ذات ذرات كربون يمكن كشفها عن طريق النفس اذا ما وصلت للرئة. لا يمكن فصل ذرات الكربون من سائل اليوريا الا بواسطة جرثومة المعدة لدى شخص مصاب. اذا ما تم فصلها بواسطة البكتيريا تمتص في الدم ثم تطلق في النفس و يمكن رصدها.
الفحص الثاني: فحص عينة البراز. يعتمد هذا النوع من الفحوصات على كشف اجزاء من جسم الجرثومة في البراز عن طريق اجسام مضادة مصنعة خصيصا لهذا الغرض. توضع العينة في سائل الفحص ثم تظهر النتيجة خلال ١٠ دقائق.
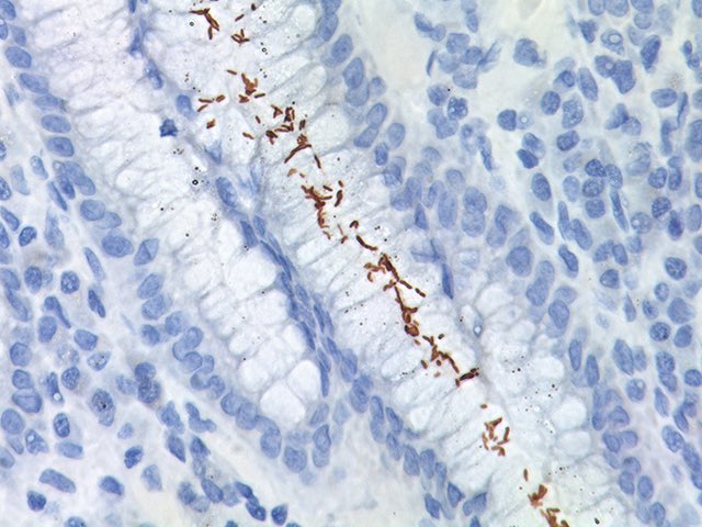
الفحص الثالث: عن طريق اخذ عينة من جدار المعدة بالمنظار. يمكن الكشف عن الجرثومة بطريقتين في هذا الفحص. الاولى بواسطة CLO test و يعتمد على كشف نشاط انزيم الجرثومة (urease) و الذي يحول مادة الاختبار من اللون الاصفر الى الاحمر. الطريقة الاخرى رؤية الجرثومة بالمجهر.
الفحص الرابع و الاخير: هو فحص الدم و الذي يعتبر غير دقيق. يتم من خلال هذا الفحص الكشف عن الاجسام المضادة التي تكونت بواسطة الجهاز المناعي بسبب دخول البكتيريا الى الجسم. تكمن عدم دقة هذا الفحص في استمرار وجود الاجسام المضادة حتى بعد علاج الجرثومة و الشفاء منها.
متى ينبغي فحص الجرثومة؟
عند الحاجة لمعرفة اسباب و علاج التهاب المعدة، عند وجود قرحة المعدة و الاثنى عشر، تشخيص اورام المعدة السرطانية، وجود اعراض الغثيان، القيء، فقدان الشهية لمن هم دون سن ٦٠ عاما. كما لا ينبغي فحصها للاشخاص المصابين بالارتجاع دون وجود اعراض التهاب المعدة.
في حال فحصها و اكتشاف الاصابة، ينبغي علاجها حتى ان لم توجد اعراض و التاكد من الشفاء. السبب في ذلك هو ثبوت علاقتها ببعض انواع الاورام التي تصيب المعدة (مع ان النسب ضئيلة لكن معظم الانظمة الصحية تنصح بذلك). لذلك ان لم يستدعي الامر لا تفحص.
If it's not broken, don't fix it
هناك عدة خطوات للعلاج لكن يعتمد معظمها على وجود نوعين من المضادات الحيوية و ذلك لصعوبة علاج الجرثومة و مقاومتها المتزايدة للاساليب القديمة. تكمن الخطورة في عدم اكمال العلاج او استخدامه كما ينبغي من قبل المرضى مما يزيد فرص مقاومة الجرثومة للعلاج مستقبلا.
هذا و صلى الله على الهادي الامين. 🙏.

جاري تحميل الاقتراحات...